Skip to main content

FAM124B Antibody - BSA Free

Novus Biologicals, part of Bio-Techne | Catalog # NBP3-46523

Novus Biologicals, part of Bio-Techne
Catalog #
Availability
Size / Price
Qty
Loading...
NBP3-46523

Key Product Details

Species Reactivity

Human, Mouse, Rat

Applications

ELISA, Immunocytochemistry/ Immunofluorescence, Immunohistochemistry, Western Blot

Label

Unconjugated

Antibody Source

Polyclonal Rabbit IgG

Format

BSA Free

Concentration

Please see the vial label for concentration. If unlisted please contact technical services.

Product Specifications

Immunogen

family with sequence similarity 124B. (Uniprot# Q9H5Z6)

Clonality

Polyclonal

Host

Rabbit

Isotype

IgG

Theoretical MW

51 kDa.
Disclaimer note: The observed molecular weight of the protein may vary from the listed predicted molecular weight due to post translational modifications, post translation cleavages, relative charges, and other experimental factors.

Description

Novus Biologicals Rabbit FAM124B Antibody - BSA Free (NBP3-46523) is a polyclonal antibody validated for use in IHC, WB, ELISA and ICC/IF. All Novus Biologicals antibodies are covered by our 100% guarantee.

Scientific Data Images for FAM124B Antibody - BSA Free

FAM124B Antibody - BSA Free

Western Blot: FAM124B Antibody - BSA Free [NBP3-46523] -

Western Blot: FAM124B Antibody - BSA Free [NBP3-46523] - K-562 cells were subjected to SDS PAGE followed by western blot with (FAM124B antibody) at dilution of 1:600
FAM124B Antibody - BSA Free

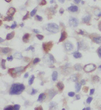
Immunohistochemistry: FAM124B Antibody - BSA Free [NBP3-46523] -

Immunohistochemistry: FAM124B Antibody - BSA Free [NBP3-46523] - Immunohistochemistry of paraffin-embedded human lung cancer using (FAM124B antibody) at dilution of 1:50 Heat mediated antigen retrieved with Citric acid buffer, pH6.0.

Applications for FAM124B Antibody - BSA Free

Application
Recommended Usage

Immunocytochemistry/ Immunofluorescence

1:20-1:200

Immunohistochemistry

1:20-1:200

Western Blot

1:500-1:2000

Formulation, Preparation, and Storage

Purification

Immunogen affinity purified

Formulation

PBS, 50% Glycerol, pH (7.3)

Format

BSA Free

Preservative

0.02% Sodium Azide

Concentration

Please see the vial label for concentration. If unlisted please contact technical services.

Shipping

The product is shipped with polar packs. Upon receipt, store it immediately at the temperature recommended below.

Stability & Storage

Store at -20C. Avoid freeze-thaw cycles.

Background: FAM124B

Alternate Names

family with sequence similarity 124B, FLJ22746, hypothetical protein LOC79843

Gene Symbol

FAM124B

Additional FAM124B Products

Product Documents for FAM124B Antibody - BSA Free

Certificate of Analysis

To download a Certificate of Analysis, please enter a lot number in the search box below.

Product Specific Notices for FAM124B Antibody - BSA Free

This product is for research use only and is not approved for use in humans or in clinical diagnosis. Primary Antibodies are guaranteed for 1 year from date of receipt.

Loading...
Loading...
Loading...
Loading...