Skip to main content

FAM108A1 Antibody - BSA Free

Novus Biologicals, part of Bio-Techne | Catalog # NBP2-31029

Novus Biologicals, part of Bio-Techne
Catalog #
Availability
Size / Price
Qty
Loading...
NBP2-31029

Key Product Details

Species Reactivity

Human

Applications

Immunohistochemistry, Immunohistochemistry-Paraffin, Western Blot, Immunocytochemistry/ Immunofluorescence

Label

Unconjugated

Antibody Source

Polyclonal Rabbit IgG

Format

BSA Free

Concentration

Concentrations vary lot to lot. See vial label for concentration. If unlisted please contact technical services.

Product Specifications

Immunogen

This antibody was developed against a recombinant protein corresponding to amino acids: ARQGHQAQGGHPQLAWVGRLGDSNNPAPGGCLLGESWGTGAALACGYIHLLARYT

Clonality

Polyclonal

Host

Rabbit

Isotype

IgG

Description

Novus Biologicals Rabbit FAM108A1 Antibody - BSA Free (NBP2-31029) is a polyclonal antibody validated for use in IHC, WB and ICC/IF. All Novus Biologicals antibodies are covered by our 100% guarantee.

Scientific Data Images for FAM108A1 Antibody - BSA Free

Western Blot: FAM108A1 Antibody [NBP2-31029]

Western Blot: FAM108A1 Antibody [NBP2-31029]

Western Blot: FAM108A1 Antibody [NBP2-31029] - Analysis in control (vector only transfected HEK293T lysate) and ABHD17A over-expression lysate (Co-expressed with a C-terminal myc-DDK tag (3.1 kDa) in mammalian HEK293T cells).
Immunocytochemistry/ Immunofluorescence: FAM108A1 Antibody [NBP2-31029]

Immunocytochemistry/ Immunofluorescence: FAM108A1 Antibody [NBP2-31029]

Immunocytochemistry/Immunofluorescence: FAM108A1 Antibody [NBP2-31029] - Immunofluorescent staining of human cell line U-2 OS shows localization to vesicles.
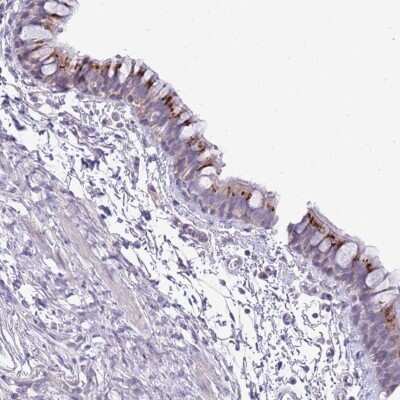
Immunohistochemistry-Paraffin: FAM108A1 Antibody [NBP2-31029]

Immunohistochemistry-Paraffin: FAM108A1 Antibody [NBP2-31029]

Immunohistochemistry-Paraffin: FAM108A1 Antibody [NBP2-31029] - Staining of human bronchus shows strong cytoplasmic positivity in respiratory epithelial cells.

Applications for FAM108A1 Antibody - BSA Free

Application
Recommended Usage

Immunocytochemistry/ Immunofluorescence

0.25-2 ug/ml

Immunohistochemistry

1:20 - 1:50

Immunohistochemistry-Paraffin

1:20 - 1:50

Western Blot

0.04-0.4 ug/ml
Application Notes
For IHC-Paraffin, HIER pH 6 retrieval is recommended. ICC/IF, Fixation Permeabilization: Use PFA/Triton X-100.

Formulation, Preparation, and Storage

Purification

Affinity purified

Formulation

PBS (pH 7.2) and 40% Glycerol

Format

BSA Free

Preservative

0.02% Sodium Azide

Concentration

Concentrations vary lot to lot. See vial label for concentration. If unlisted please contact technical services.

Shipping

The product is shipped with polar packs. Upon receipt, store it immediately at the temperature recommended below.

Stability & Storage

Store at 4C short term. Aliquot and store at -20C long term. Avoid freeze-thaw cycles.

Background: FAM108A1

Alternate Names

abhydrolase domain-containing protein FAM108A1, C19orf27, chromosome 19 open reading frame 27, EC 3.-, family with sequence similarity 108, member A1, MGC5244

Gene Symbol

ABHD17A

UniProt

Additional FAM108A1 Products

Product Documents for FAM108A1 Antibody - BSA Free

Certificate of Analysis

To download a Certificate of Analysis, please enter a lot number in the search box below.

Product Specific Notices for FAM108A1 Antibody - BSA Free

This product is for research use only and is not approved for use in humans or in clinical diagnosis. Primary Antibodies are guaranteed for 1 year from date of receipt.

Loading...
Loading...
Loading...
Loading...