Skip to main content

FAM105A Antibody - BSA Free

Novus Biologicals, part of Bio-Techne | Catalog # NBP3-48265

Novus Biologicals, part of Bio-Techne
Catalog #
Availability
Size / Price
Qty
Loading...
NBP3-48265

Key Product Details

Species Reactivity

Human

Applications

Immunohistochemistry, Western Blot, ELISA

Label

Unconjugated

Antibody Source

Polyclonal Rabbit IgG

Format

BSA Free

Concentration

Please see the vial label for concentration. If unlisted please contact technical services.

Product Specifications

Immunogen

family with sequence similarity 105, member A. (Uniprot# Q9NUU6)

Clonality

Polyclonal

Host

Rabbit

Isotype

IgG

Theoretical MW

35 kDa.
Disclaimer note: The observed molecular weight of the protein may vary from the listed predicted molecular weight due to post translational modifications, post translation cleavages, relative charges, and other experimental factors.

Description

Novus Biologicals Rabbit FAM105A Antibody - BSA Free (NBP3-48265) is a polyclonal antibody validated for use in IHC, WB and ELISA. All Novus Biologicals antibodies are covered by our 100% guarantee.

Scientific Data Images for FAM105A Antibody - BSA Free

FAM105A Antibody - BSA Free

Western Blot: FAM105A Antibody - BSA Free [NBP3-48265] -

Western Blot: FAM105A Antibody - BSA Free [NBP3-48265] - COLO 320 cells were subjected to SDS PAGE followed by western blot with (FAM105A Antibody) at dilution of 1:300
FAM105A Antibody - BSA Free

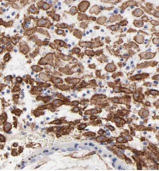
Immunohistochemistry: FAM105A Antibody - BSA Free [NBP3-48265] -

Immunohistochemistry: FAM105A Antibody - BSA Free [NBP3-48265] - Immunohistochemistry of paraffin-embedded human placenta tissue slide using (FAM105A Antibody) at dilution of 1:50

Applications for FAM105A Antibody - BSA Free

Application
Recommended Usage

Immunohistochemistry

1:20-1:200

Western Blot

1:500-1:2000

Formulation, Preparation, and Storage

Purification

Immunogen affinity purified

Formulation

PBS, 50% Glycerol, pH (7.3)

Format

BSA Free

Preservative

0.02% Sodium Azide

Concentration

Please see the vial label for concentration. If unlisted please contact technical services.

Shipping

The product is shipped with polar packs. Upon receipt, store it immediately at the temperature recommended below.

Stability & Storage

Store at -20C. Avoid freeze-thaw cycles.

Background: FAM105A

Alternate Names

family with sequence similarity 105, member A, FLJ11127, FLJ43660, hypothetical protein LOC54491, NET20

Gene Symbol

FAM105A

Additional FAM105A Products

Product Documents for FAM105A Antibody - BSA Free

Certificate of Analysis

To download a Certificate of Analysis, please enter a lot number in the search box below.

Product Specific Notices for FAM105A Antibody - BSA Free

This product is for research use only and is not approved for use in humans or in clinical diagnosis. Primary Antibodies are guaranteed for 1 year from date of receipt.

Loading...
Loading...
Loading...
Loading...