Skip to main content

EZH2/KMT6 Antibody (CL11945) - BSA Free

Novus Biologicals, part of Bio-Techne | Catalog # NBP3-21205

Novus Biologicals, part of Bio-Techne
Catalog #
Availability
Size / Price
Qty
Loading...
NBP3-21205-25ul
NBP3-21205-100ul

Key Product Details

Validated by

Orthogonal Validation

Species Reactivity

Validated:

Human

Predicted:

Mouse (100%), Rat (100%). Backed by our 100% Guarantee.

Applications

Immunohistochemistry, Immunohistochemistry-Paraffin, Immunocytochemistry/ Immunofluorescence

Label

Unconjugated

Antibody Source

Monoclonal Mouse IgG2A Clone # CL11945

Format

BSA Free

Concentration

Concentrations vary lot to lot. See vial label for concentration. If unlisted please contact technical services.

Product Specifications

Immunogen

This antibody was developed using a synthetic peptide derived from Q15910, with the exact immunogen sequence remaining proprietary.

Clonality

Monoclonal

Host

Mouse

Isotype

IgG2A

Description

Novus Biologicals Mouse EZH2/KMT6 Antibody (CL11945) - BSA Free (NBP3-21205) is a monoclonal antibody validated for use in IHC and ICC/IF. All Novus Biologicals antibodies are covered by our 100% guarantee.

Scientific Data Images for EZH2/KMT6 Antibody (CL11945) - BSA Free

Immunocytochemistry/Immunofluorescence: EZH2/KMT6 Antibody [NBP3-21205] -

Immunocytochemistry/Immunofluorescence: EZH2/KMT6 Antibody [NBP3-21205] -

Staining of A-431 cells using the Anti-EZH2 monoclonal antibody, showing specific staining in nucleoplasm in green. Microtubule probe is visualized in red.
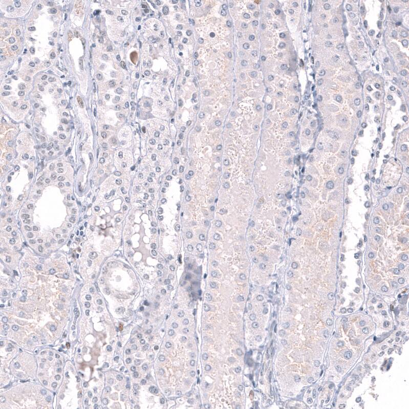
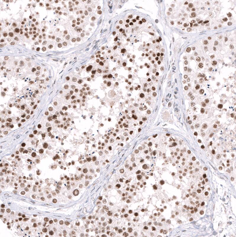
Immunohistochemistry-Paraffin: EZH2/KMT6 Antibody [NBP3-21205] -

Immunohistochemistry-Paraffin: EZH2/KMT6 Antibody [NBP3-21205] -

Staining of human testis shows moderate to strong nuclear positivity in cells in seminiferous ducts.
Immunohistochemistry-Paraffin: EZH2/KMT6 Antibody [NBP3-21205] -

Immunohistochemistry-Paraffin: EZH2/KMT6 Antibody [NBP3-21205] -

Staining of human cerebral cortex shows no positivity in neurons as expected.

Applications for EZH2/KMT6 Antibody (CL11945) - BSA Free

Application
Recommended Usage

Immunocytochemistry/ Immunofluorescence

2-10 ug/ml

Immunohistochemistry

1:500 - 1:1000

Immunohistochemistry-Paraffin

1:500 - 1:1000
Application Notes
ICC/IF Fixation Permeabilization: Use PFA/Triton X-100. For IHC-Paraffin, HIER pH 6 retrieval is recommended.

Formulation, Preparation, and Storage

Purification

Protein A purified

Formulation

PBS (pH 7.2) and 40% Glycerol

Format

BSA Free

Preservative

0.02% Sodium Azide

Concentration

Concentrations vary lot to lot. See vial label for concentration. If unlisted please contact technical services.

Shipping

The product is shipped with polar packs. Upon receipt, store it immediately at the temperature recommended below.

Stability & Storage

Store at 4C short term. Aliquot and store at -20C long term. Avoid freeze-thaw cycles.

Background: EZH2

KMT6 / EZH2 encodes a member of the Polycomb-group (PcG) family. PcG family members form multimeric protein complexes, which are involved in maintaining the transcriptional repressive state of genes over successive cell generations. This protein associates with the embryonic ectoderm development protein, the VAV1 oncoprotein, and the X-linked nuclear protein. This protein may play a role in the hematopoietic and central nervous systems. Two transcript variants encoding distinct isoforms have been identified for this gene. [provided by RefSeq]

Long Name

Enhancer of Zeste Homolog 2 [Drosophila]

Alternate Names

ENX1, KMT6

Gene Symbol

EZH2

Additional EZH2 Products

Product Documents for EZH2/KMT6 Antibody (CL11945) - BSA Free

Certificate of Analysis

To download a Certificate of Analysis, please enter a lot number in the search box below.

Product Specific Notices for EZH2/KMT6 Antibody (CL11945) - BSA Free

This product is for research use only and is not approved for use in humans or in clinical diagnosis. Primary Antibodies are guaranteed for 1 year from date of receipt.

Loading...
Loading...
Loading...
Loading...