Skip to main content

Exportin-5 Antibody (3Q8E6)

Novus Biologicals, part of Bio-Techne | Catalog # NBP3-16278

Recombinant Monoclonal Antibody
Novus Biologicals, part of Bio-Techne
Catalog #
Availability
Size / Price
Qty
Loading...
NBP3-16278-100ul
NBP3-16278-20ul

Key Product Details

Species Reactivity

Human, Mouse, Rat

Applications

Immunohistochemistry, Immunohistochemistry-Paraffin, Western Blot

Label

Unconjugated

Antibody Source

Recombinant Monoclonal Rabbit IgG Clone # 3Q8E6 expressed in HEK293

Concentration

Please see the vial label for concentration. If unlisted please contact technical services.

Product Specifications

Immunogen

Recombinant fusion protein containing a sequence corresponding to amino acids 1-200 of human Exportin-5 (Q9HAV4). MAMDQVNALCEQLVKAVTVMMDPNSTQRYRLEALKFCEEFKEKCPICVPCGLRLAEKTQVAIVRHFGLQILEHVVKFRWNGMSRLEKVYLKNSVMELIANGTLNILEEENHIKDALSRIVVEMIKREWPQHWPDMLIELDTLSKQGETQTELVMFILLRLAEDVVTFQTLPPQRRRDIQQTLTQNMERIFSFLLNTLQEN

Clonality

Monoclonal

Host

Rabbit

Isotype

IgG

Description

Novus Biologicals Rabbit Exportin-5 Antibody (3Q8E6) (NBP3-16278) is a recombinant monoclonal antibody validated for use in IHC and WB. All Novus Biologicals antibodies are covered by our 100% guarantee.

Scientific Data Images for Exportin-5 Antibody (3Q8E6)

Western Blot: Exportin-5 Antibody (3Q8E6) [NBP3-16278]

Western Blot: Exportin-5 Antibody (3Q8E6) [NBP3-16278]

Western Blot: Exportin-5 Antibody (3Q8E6) [NBP3-16278] - Western blot analysis of extracts of various cell lines, using Exportin-5 (XPO5) Rabbit mAb (NBP3-16278) at 1:1000 dilution. Secondary antibody: HRP Goat Anti-Rabbit IgG (H+L) at 1:10000 dilution. Lysates/proteins: 25ug per lane. Blocking buffer: 3% nonfat dry milk in TBST. Detection: ECL Basic Kit. Exposure time: 30s.
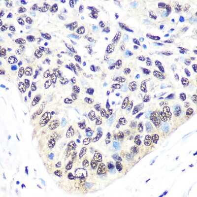
Immunohistochemistry-Paraffin: Exportin-5 Antibody (3Q8E6) [NBP3-16278]

Immunohistochemistry-Paraffin: Exportin-5 Antibody (3Q8E6) [NBP3-16278]

Immunohistochemistry-Paraffin: Exportin-5 Antibody (3Q8E6) [NBP3-16278] - Immunohistochemistry of paraffin-embedded human esophageal cancer using Exportin-5 (XPO5) Rabbit mAb (NBP3-16278) at dilution of 1:100 (40x lens).Perform microwave antigen retrieval with 10 mM PBS buffer pH 7.2 before commencing with IHC staining protocol.
Western Blot: Exportin-5 Antibody (3Q8E6) [NBP3-16278]

Western Blot: Exportin-5 Antibody (3Q8E6) [NBP3-16278]

Western Blot: Exportin-5 Antibody (3Q8E6) [NBP3-16278] - Western blot analysis of extracts of various cell lines, using Exportin-5 (XPO5) Rabbit mAb (NBP3-16278) at 1:1000 dilution. Secondary antibody: HRP Goat Anti-Rabbit IgG (H+L) at 1:10000 dilution. Lysates/proteins: 25ug per lane. Blocking buffer: 3% nonfat dry milk in TBST. Detection: ECL Basic Kit. Exposure time: 90s.

Applications for Exportin-5 Antibody (3Q8E6)

Application
Recommended Usage

Immunohistochemistry

1:50 - 1:200

Western Blot

1:500 - 1:1000

Formulation, Preparation, and Storage

Purification

Affinity purified

Formulation

PBS (pH 7.3), 50% glycerol, 0.05% BSA

Preservative

0.02% Sodium Azide

Concentration

Please see the vial label for concentration. If unlisted please contact technical services.

Shipping

The product is shipped with polar packs. Upon receipt, store it immediately at the temperature recommended below.

Stability & Storage

Store at -20C. Avoid freeze-thaw cycles.

Background: Exportin-5

Exportin-5 belongs to a large family of karyopherins (see MIM 602738) that mediate the transport of proteins and other cargo between the nuclear and cytoplasmic compartments.[supplied by OMIM]

Alternate Names

Exp5, exportin 5, exportin-5, FLJ14239, FLJ32057, FLJ45606, KIAA1291exp5, Ran-binding protein 21, RANBP21

Gene Symbol

XPO5

Additional Exportin-5 Products

Product Documents for Exportin-5 Antibody (3Q8E6)

Certificate of Analysis

To download a Certificate of Analysis, please enter a lot number in the search box below.

Product Specific Notices for Exportin-5 Antibody (3Q8E6)

This product is for research use only and is not approved for use in humans or in clinical diagnosis. Primary Antibodies are guaranteed for 1 year from date of receipt.

Loading...
Loading...
Loading...
Loading...