Skip to main content

EXOC5 Antibody - Azide and BSA Free

Novus Biologicals, part of Bio-Techne | Catalog # NBP2-99472

Novus Biologicals, part of Bio-Techne

Key Product Details

Species Reactivity

Human, Mouse, Rat

Applications

Immunohistochemistry, Immunohistochemistry-Paraffin

Label

Unconjugated

Antibody Source

Polyclonal Rabbit IgG

Format

Azide and BSA Free

Concentration

Please see the vial label for concentration. If unlisted please contact technical services.

Product Specifications

Immunogen

Produced in rabbits immunized with a synthetic peptide corresponding to the center region of the Human EXOC5.

Clonality

Polyclonal

Host

Rabbit

Isotype

IgG

Description

This antibody can be stored at 2C to 8C for one month without detectable loss of activity. Antibody products are stable for twelve months from date of receipt when stored at -20C to -80C. Avoid repeated freeze-thaw cycles.

Scientific Data Images for EXOC5 Antibody - Azide and BSA Free

Immunohistochemistry-Paraffin: EXOC5 Antibody [NBP2-99472]

Immunohistochemistry-Paraffin: EXOC5 Antibody [NBP2-99472]

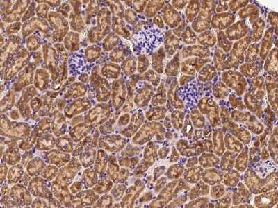
Immunohistochemistry-Paraffin: EXOC5 Antibody [NBP2-99472] - Immunochemical staining EXOC5 in rat kidney with rabbit polyclonal antibody at 1:1000 dilution, formalin-fixed paraffin embedded sections.
Immunohistochemistry-Paraffin: EXOC5 Antibody [NBP2-99472]

Immunohistochemistry-Paraffin: EXOC5 Antibody [NBP2-99472]

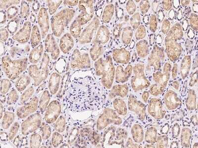
Immunohistochemistry-Paraffin: EXOC5 Antibody [NBP2-99472] - Immunochemical staining EXOC5 in human kidney with rabbit polyclonal antibody at 1:1000 dilution, formalin-fixed paraffin embedded sections.
Immunohistochemistry-Paraffin: EXOC5 Antibody [NBP2-99472]

Immunohistochemistry-Paraffin: EXOC5 Antibody [NBP2-99472]

Immunohistochemistry-Paraffin: EXOC5 Antibody [NBP2-99472] - Immunochemical staining EXOC5 in mouse kidney with rabbit polyclonal antibody at 1:1000 dilution, formalin-fixed paraffin embedded sections.

Applications for EXOC5 Antibody - Azide and BSA Free

Application
Recommended Usage

Immunohistochemistry-Paraffin

1:500-1:2000

Formulation, Preparation, and Storage

Purification

Antigen and protein A Affinity-purified

Formulation

0.2 um filtered solution in PBS

Format

Azide and BSA Free

Preservative

No Preservative

Concentration

Please see the vial label for concentration. If unlisted please contact technical services.

Shipping

The product is shipped with polar packs. Upon receipt, store it immediately at the temperature recommended below.

Stability & Storage

Store at 4C short term. Aliquot and store at -20C long term. Avoid freeze-thaw cycles.

Background: EXOC5

FUNCTION: Component of the exocyst complex involved in the docking of exocystic vesicles with fusion sites on the plasma membrane. SUBUNIT: The exocyst complex is composed of EXOC1, EXOC2, EXOC3, EXOC4, EXOC5, EXOC6, EXOC7 and EXOC8. SUBCELLULAR LOCATION: Cytoplasm. TISSUE SPECIFICITY: Ubiquitous.

Alternate Names

exocyst complex component 5, Exocyst complex component Sec10, hSec10, PRO1912, SEC10 (S. cerevisiae)-like 1, SEC10DKFZp666H126, SEC10L1, SEC10-like 1, SEC10-like 1 (S. cerevisiae), SEC10P

Gene Symbol

EXOC5

Additional EXOC5 Products

Product Documents for EXOC5 Antibody - Azide and BSA Free

Certificate of Analysis

To download a Certificate of Analysis, please enter a lot number in the search box below.

Product Specific Notices for EXOC5 Antibody - Azide and BSA Free

This product is for research use only and is not approved for use in humans or in clinical diagnosis. Primary Antibodies are guaranteed for 1 year from date of receipt.

Loading...
Loading...
Loading...
Loading...