Skip to main content

EXD2 Antibody - BSA Free

Novus Biologicals, part of Bio-Techne | Catalog # NBP1-88405

Novus Biologicals, part of Bio-Techne
Catalog #
Availability
Size / Price
Qty
Loading...
NBP1-88405
NBP1-88405-25ul

Key Product Details

Species Reactivity

Validated:

Human, Mouse

Predicted:

Rat (92%). Backed by our 100% Guarantee.

Applications

Immunocytochemistry/ Immunofluorescence, Immunohistochemistry, Immunohistochemistry-Paraffin, Western Blot

Label

Unconjugated

Antibody Source

Polyclonal Rabbit IgG

Format

BSA Free

Concentration

Concentrations vary lot to lot. See vial label for concentration. If unlisted please contact technical services.

Product Specifications

Immunogen

This antibody was developed against Recombinant Protein corresponding to amino acids: TSCHAISNYYDNHLKQQLAKEFQAPIGSEEGLRLLEDPERRQVRSGARALLNAESLPTQRKEELLQALREFYNTDVVTEEMLQEAASLETRISNENYVPHGLKVVQCH

Clonality

Polyclonal

Host

Rabbit

Isotype

IgG

Description

Novus Biologicals Rabbit EXD2 Antibody - BSA Free (NBP1-88405) is a polyclonal antibody validated for use in IHC, WB and ICC/IF. All Novus Biologicals antibodies are covered by our 100% guarantee.

Scientific Data Images for EXD2 Antibody - BSA Free

Immunocytochemistry/ Immunofluorescence: EXD2 Antibody [NBP1-88405]

Immunocytochemistry/ Immunofluorescence: EXD2 Antibody [NBP1-88405]

Immunocytochemistry/Immunofluorescence: EXD2 Antibody [NBP1-88405] - Staining of human cell line A-431 shows localization to mitochondria. Antibody staining is shown in green.
Immunohistochemistry-Paraffin: EXD2 Antibody [NBP1-88405]

Immunohistochemistry-Paraffin: EXD2 Antibody [NBP1-88405]

Immunohistochemistry-Paraffin: EXD2 Antibody [NBP1-88405] - Staining of human kidney shows strong cytoplasmic positivity in cells in glomeruli.
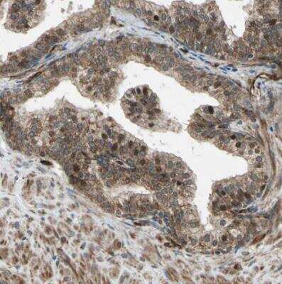
Immunohistochemistry-Paraffin: EXD2 Antibody [NBP1-88405]

Immunohistochemistry-Paraffin: EXD2 Antibody [NBP1-88405]

Immunohistochemistry-Paraffin: EXD2 Antibody [NBP1-88405] - Staining of human prostate shows moderate to strong nuclear and cytoplasmic postivity in glandular cells.

Applications for EXD2 Antibody - BSA Free

Application
Recommended Usage

Immunocytochemistry/ Immunofluorescence

0.25-2 ug/ml

Immunohistochemistry

1:200 - 1:500

Immunohistochemistry-Paraffin

1:200 - 1:500

Western Blot

0.04-0.4 ug/ml
Application Notes
For IHC-Paraffin, HIER pH 6 retrieval is recommended. ICC/IF Fixation Permeabilization: Use PFA/Triton X-100.

Formulation, Preparation, and Storage

Purification

Immunogen affinity purified

Formulation

PBS (pH 7.2) and 40% Glycerol

Format

BSA Free

Preservative

0.02% Sodium Azide

Concentration

Concentrations vary lot to lot. See vial label for concentration. If unlisted please contact technical services.

Shipping

The product is shipped with polar packs. Upon receipt, store it immediately at the temperature recommended below.

Stability & Storage

Store at 4C short term. Aliquot and store at -20C long term. Avoid freeze-thaw cycles.

Background: EXD2

Alternate Names

C14orf114, chromosome 14 open reading frame 114, DKFZp781A0133, DKFZp781L15100, EXDL2, exonuclease 3'-5' domain containing 2, exonuclease 3'-5' domain-containing protein 2, exonuclease 3'-5' domain-like 2, Exonuclease 3'-5' domain-like-containing protein 2, FLJ10738

Gene Symbol

EXD2

Additional EXD2 Products

Product Documents for EXD2 Antibody - BSA Free

Certificate of Analysis

To download a Certificate of Analysis, please enter a lot number in the search box below.

Product Specific Notices for EXD2 Antibody - BSA Free

This product is for research use only and is not approved for use in humans or in clinical diagnosis. Primary Antibodies are guaranteed for 1 year from date of receipt.

Loading...
Loading...
Loading...
Loading...