Skip to main content

EVA1/MPZL2 Antibody - BSA Free

Novus Biologicals, part of Bio-Techne | Catalog # NBP2-31836

Novus Biologicals, part of Bio-Techne
Catalog #
Availability
Size / Price
Qty
Loading...
NBP2-31836-25ul
NBP2-31836

Key Product Details

Species Reactivity

Human

Applications

Immunohistochemistry, Immunohistochemistry-Paraffin, Immunocytochemistry/ Immunofluorescence

Label

Unconjugated

Antibody Source

Polyclonal Rabbit IgG

Format

BSA Free

Concentration

Concentrations vary lot to lot. See vial label for concentration. If unlisted please contact technical services.

Product Specifications

Immunogen

This antibody was developed against a recombinant protein corresponding to amino acids: VLFQHYRKKRWAERAHKVVEIKSKEEERLNQ

Clonality

Polyclonal

Host

Rabbit

Isotype

IgG

Description

Novus Biologicals Rabbit EVA1/MPZL2 Antibody - BSA Free (NBP2-31836) is a polyclonal antibody validated for use in IHC and ICC/IF. All Novus Biologicals antibodies are covered by our 100% guarantee.

Scientific Data Images for EVA1/MPZL2 Antibody - BSA Free

Immunocytochemistry/ Immunofluorescence: EVA1/MPZL2 Antibody [NBP2-31836]

Immunocytochemistry/ Immunofluorescence: EVA1/MPZL2 Antibody [NBP2-31836]

Immunocytochemistry/Immunofluorescence: EVA1/MPZL2 Antibody [NBP2-31836] - Staining of human cell line RT4 shows localization to cell junctions.
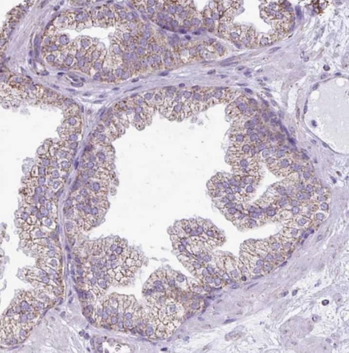
EVA1/MPZL2 Antibody - BSA Free

EVA1/MPZL2 Antibody [NBP2-31836] -

Staining of human prostate shows weak granular cytoplasmic positivity in glandular cells.

Applications for EVA1/MPZL2 Antibody - BSA Free

Application
Recommended Usage

Immunocytochemistry/ Immunofluorescence

0.25-2 ug/ml

Immunohistochemistry

1:1000 - 1:2500

Immunohistochemistry-Paraffin

1:1000 - 1:2500
Application Notes
IHC-Paraffin, HIER pH 6 retrieval is recommended.

Formulation, Preparation, and Storage

Purification

Affinity purified

Formulation

PBS (pH 7.2) and 40% Glycerol

Format

BSA Free

Preservative

0.02% Sodium Azide

Concentration

Concentrations vary lot to lot. See vial label for concentration. If unlisted please contact technical services.

Shipping

The product is shipped with polar packs. Upon receipt, store it immediately at the temperature recommended below.

Stability & Storage

Store at 4C short term. Aliquot and store at -20C long term. Avoid freeze-thaw cycles.

Background: EVA1

Thymus development depends on a complex series of interactions between thymocytes and the stromal component of the organ. Epithelial V-like antigen (EVA) is expressed in thymus epithelium and strongly downregulated by thymocyte developmental progression. This gene is expressed in the thymus and in several epithelial structures early in embryogenesis. It is highly homologous to the myelin protein zero and, in thymus-derived epithelial cell lines, is poorly soluble in nonionic detergents, strongly suggesting an association to the cytoskeleton. Its capacity to mediate cell adhesion through a homophilic interaction and its selective regulation by T cell maturation might imply the participation of EVA in the earliest phases of thymus organogenesis. The protein bears a characteristic V-type domain and two potential N-glycosylation sites in the extracellular domain; a putative serine phosphorylation site for casein kinase 2 is also present in the cytoplasmic tail. Two transcript variants encoding the same protein have been found for this gene. [provided by RefSeq]

Long Name

Epithelial V-Like Antigen 1

Alternate Names

MPZL2

Gene Symbol

MPZL2

UniProt

Additional EVA1 Products

Product Documents for EVA1/MPZL2 Antibody - BSA Free

Certificate of Analysis

To download a Certificate of Analysis, please enter a lot number in the search box below.

Product Specific Notices for EVA1/MPZL2 Antibody - BSA Free

This product is for research use only and is not approved for use in humans or in clinical diagnosis. Primary Antibodies are guaranteed for 1 year from date of receipt.

Loading...
Loading...
Loading...
Loading...