Skip to main content

ETFDH Antibody - BSA Free

Novus Biologicals, part of Bio-Techne | Catalog # NBP1-83950

Novus Biologicals, part of Bio-Techne
Catalog #
Availability
Size / Price
Qty
Loading...
NBP1-83950
NBP1-83950-25ul

Key Product Details

Validated by

Orthogonal Validation

Species Reactivity

Validated:

Human

Predicted:

Mouse (91%), Rat (92%). Backed by our 100% Guarantee.

Applications

Immunohistochemistry, Immunohistochemistry-Paraffin, Western Blot

Label

Unconjugated

Antibody Source

Polyclonal Rabbit IgG

Format

BSA Free

Concentration

Concentrations vary lot to lot. See vial label for concentration. If unlisted please contact technical services.

Product Specifications

Immunogen

This antibody was developed against Recombinant Protein corresponding to amino acids: LAVAHEKDIRVCLVEKAAQIGAHTLSGACLDPGAFKELFPDWKEKGAPLNTPVTEDRFGILTEKYRIPVPILPGLPMN

Clonality

Polyclonal

Host

Rabbit

Isotype

IgG

Scientific Data Images for ETFDH Antibody - BSA Free

Western Blot: ETFDH Antibody [NBP1-83950]

Western Blot: ETFDH Antibody [NBP1-83950]

Western Blot: ETFDH Antibody [NBP1-83950] - Lane 1: Marker [kDa] 250, 130, 95, 72, 55, 36, 28, 17, 10. Lane 2: Human cell line RT-4. Lane 3: Human cell line U-251MG sp. Lane 4: Human plasma (IgG/HSA depleted). Lane 5: Human liver tissue
Immunohistochemistry-Paraffin: ETFDH Antibody [NBP1-83950]

Immunohistochemistry-Paraffin: ETFDH Antibody [NBP1-83950]

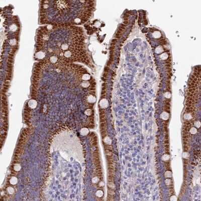
Immunohistochemistry-Paraffin: ETFDH Antibody [NBP1-83950] - Staining in human duodenum and pancreas tissues using anti-ETFDH antibody. Corresponding ETFDH RNA-seq data are presented for the same tissues.
Immunohistochemistry-Paraffin: ETFDH Antibody [NBP1-83950]

Immunohistochemistry-Paraffin: ETFDH Antibody [NBP1-83950]

Immunohistochemistry-Paraffin: ETFDH Antibody [NBP1-83950] - Staining of human duodenum shows high expression.

Applications for ETFDH Antibody - BSA Free

Application
Recommended Usage

Immunohistochemistry

1:50 - 1:200

Immunohistochemistry-Paraffin

1:50 - 1:200

Western Blot

0.04-0.4 ug/ml
Application Notes
For IHC-Paraffin, HIER pH 6 retrieval is recommended.

Formulation, Preparation, and Storage

Purification

Affinity purified

Formulation

PBS (pH 7.2) and 40% Glycerol

Format

BSA Free

Preservative

0.02% Sodium Azide

Concentration

Concentrations vary lot to lot. See vial label for concentration. If unlisted please contact technical services.

Shipping

The product is shipped with polar packs. Upon receipt, store it immediately at the temperature recommended below.

Stability & Storage

Store at 4C short term. Aliquot and store at -20C long term. Avoid freeze-thaw cycles.

Background: ETFDH

Electron-transferring-flavoprotein dehydrogenase in the inner mitochondrial membrane accepts electrons from electron-transfer flavoprotein which is located in the mitochondrial matrix and reduces ubiquinone in the mitochondrial membrane. The protein is synthesized as a 67-kDa precursor which is targeted to mitochondria and processed in a single step to a 64-kDa mature form located in the mitochondrial membrane. Deficiency in electron-transferring-flavoprotein dehydrogenase have been demonstrated in some patients with type II glutaricacidemia. [provided by RefSeq]

Alternate Names

electron-transferring-flavoprotein dehydrogenaseEC 1.5.5.1, ETFQO, ETF-QO, MADD, mitochondrial

Gene Symbol

ETFDH

Additional ETFDH Products

Product Documents for ETFDH Antibody - BSA Free

Certificate of Analysis

To download a Certificate of Analysis, please enter a lot number in the search box below.

Product Specific Notices for ETFDH Antibody - BSA Free

This product is for research use only and is not approved for use in humans or in clinical diagnosis. Primary Antibodies are guaranteed for 1 year from date of receipt.

Loading...
Loading...
Loading...
Loading...