Skip to main content

ERp57/PDIA3 Antibody - BSA Free

Novus Biologicals, part of Bio-Techne | Catalog # NBP1-84797

Novus Biologicals, part of Bio-Techne
Catalog #
Availability
Size / Price
Qty
Loading...
NBP1-84797
NBP1-84797-25ul

Key Product Details

Validated by

Knockout/Knockdown, Orthogonal Validation, Independent Antibodies

Species Reactivity

Validated:

Human

Predicted:

Mouse (95%), Rat (95%). Backed by our 100% Guarantee.

Applications

Immunohistochemistry, Immunohistochemistry-Paraffin, Western Blot, Immunocytochemistry/ Immunofluorescence, Knockdown Validated

Label

Unconjugated

Antibody Source

Polyclonal Rabbit IgG

Format

BSA Free

Concentration

Concentrations vary lot to lot. See vial label for concentration. If unlisted please contact technical services.

Product Specifications

Immunogen

This antibody was developed against Recombinant Protein corresponding to amino acids: HMTEDNKDLIQGKDLLIAYYDVDYEKNAKGSNYWRNRVMMVAKKFLDAGHKLNFAVASRKTFSHELSDFGLESTAGEIPVVAIRTAKGEKFVMQEEFSRDGKALERFLQDYFDGNLKRYLKSEPIPESNDGP

Marker

Endoplasmic Reticulum Marker

Clonality

Polyclonal

Host

Rabbit

Isotype

IgG

Theoretical MW

57 kDa.
Disclaimer note: The observed molecular weight of the protein may vary from the listed predicted molecular weight due to post translational modifications, post translation cleavages, relative charges, and other experimental factors.

Description

Novus Biologicals Rabbit ERp57/PDIA3 Antibody - BSA Free (NBP1-84797) is a polyclonal antibody validated for use in IHC, WB and ICC/IF. Anti-ERp57/PDIA3 Antibody: Cited in 2 publications. All Novus Biologicals antibodies are covered by our 100% guarantee.

Scientific Data Images for ERp57/PDIA3 Antibody - BSA Free

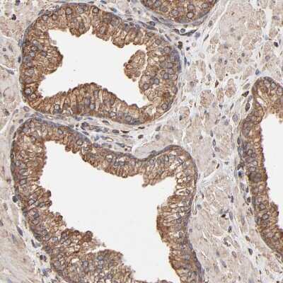
Immunohistochemistry-Paraffin: ERp57/PDIA3 Antibody [NBP1-84797]

Immunohistochemistry-Paraffin: ERp57/PDIA3 Antibody [NBP1-84797]

Immunohistochemistry-Paraffin: ERp57/PDIA3 Antibody [NBP1-84797] - Analysis in human thyroid gland and skeletal muscle tissues using NBP1-84797 antibody. Corresponding PDIA3 RNA-seq data are presented for the same tissues.
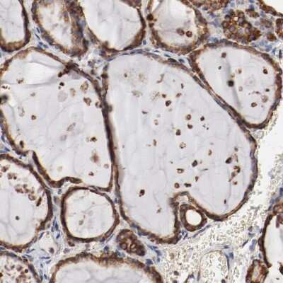
Immunohistochemistry-Paraffin: ERp57/PDIA3 Antibody [NBP1-84797]

Immunohistochemistry-Paraffin: ERp57/PDIA3 Antibody [NBP1-84797]

Immunohistochemistry-Paraffin: ERp57/PDIA3 Antibody [NBP1-84797] - Staining of human gastrointestinal, prostate, skeletal muscle and thyroid gland using Anti-PDIA3 antibody NBP1-84797 (A) shows similar protein distribution across tissues to independent antibody NBP1-84796 (B).
Western Blot: ERp57/PDIA3 Antibody [NBP1-84797]

Western Blot: ERp57/PDIA3 Antibody [NBP1-84797]

Western Blot: ERp57/PDIA3 Antibody [NBP1-84797] - Analysis using Anti-PDIA3 antibody NBP1-84797 (A) shows similar pattern to independent antibody NBP1-84796 (B).

Applications for ERp57/PDIA3 Antibody - BSA Free

Application
Recommended Usage

Immunocytochemistry/ Immunofluorescence

0.25-2 ug/ml

Immunohistochemistry

1:1000 - 1:2500

Immunohistochemistry-Paraffin

1:1000 - 1:2500

Western Blot

0.04-0.4 ug/ml
Application Notes
For IHC-Paraffin, HIER pH 6 retrieval is recommended. ICC/IF Fixation Permeabilization: Use PFA/Triton X-100.

Formulation, Preparation, and Storage

Purification

Immunogen affinity purified

Formulation

PBS (pH 7.2) and 40% Glycerol

Format

BSA Free

Preservative

0.02% Sodium Azide

Concentration

Concentrations vary lot to lot. See vial label for concentration. If unlisted please contact technical services.

Shipping

The product is shipped with polar packs. Upon receipt, store it immediately at the temperature recommended below.

Stability & Storage

Store at 4C short term. Aliquot and store at -20C long term. Avoid freeze-thaw cycles.

Background: ERp57/PDIA3

ERp57, also known as Glucose Regulated Protein 58 (Grp58), Hormone-Induced Protein-70 (HIP-70) and microsomal Carnitine Palmitoyltransferase, is a member of the protein disulfide isomerase family, containing two canonical CXHC tetrapeptide active site motifs (1-5). It has quite a few diverse roles. It functions as an accessory oxidoreductase involved in disulfide bond formation. In the ER, ERp57 interacts with membrane bound calnexin and soluble calreticulin (lectin chaperones) via their praline rich P-domain arms. Lectin chaperones bind nascent non-native glycoproteins, and position ERp57 to act upon the immature or misfolded glycoproteins that possess mono-glucosylated side chains. ERp57 deletion impairs posttranslational phases of influenza hema-glutinin folding, and causes accelerated release of MHC-I molecules, resulting in the coupling of sub-optimal peptides and reduced expression and stability on the cell surface (6). ERp57 also contains two thioredoxin active-site sequences, CGHC and an estrogen-binding domain. ERp57 is induced by both estrogen and leuteinizing-hormone-releasing hormone in the hippocampus (7).

Long Name

Endoplasmic Reticulum Resident Protein 57

Alternate Names

ERp60, GRP58, PDIA3

Entrez Gene IDs

2923 (Human)

Gene Symbol

PDIA3

UniProt

Additional ERp57/PDIA3 Products

Product Documents for ERp57/PDIA3 Antibody - BSA Free

Certificate of Analysis

To download a Certificate of Analysis, please enter a lot number in the search box below.

Product Specific Notices for ERp57/PDIA3 Antibody - BSA Free

This product is for research use only and is not approved for use in humans or in clinical diagnosis. Primary Antibodies are guaranteed for 1 year from date of receipt.

Loading...
Loading...
Loading...
Loading...