Skip to main content

ERCC1 Antibody (OTI2H1)

Novus Biologicals, part of Bio-Techne | Catalog # NBP2-45501

Novus Biologicals, part of Bio-Techne
Catalog #
Availability
Size / Price
Qty
Loading...
NBP2-45501

Key Product Details

Species Reactivity

Human, Mouse

Applications

Immunohistochemistry, Immunohistochemistry-Paraffin, Western Blot

Label

Unconjugated

Antibody Source

Monoclonal Mouse IgG1 Clone # OTI2H1

Concentration

1 mg/ml

Product Specifications

Immunogen

Full length human recombinant protein of human ERCC1 (NP_001974) produced in HEK293T cell.

Reactivity Notes

Please note that this antibody is reactive to Mouse and derived from the same host, Mouse. Mouse-On-Mouse blocking reagent may be needed for IHC and ICC experiments to reduce high background signal. You can find these reagents under catalog numbers PK-2200-NB and MP-2400-NB. Please contact Technical Support if you have any questions.

Clonality

Monoclonal

Host

Mouse

Isotype

IgG1

Theoretical MW

32.4 kDa.
Disclaimer note: The observed molecular weight of the protein may vary from the listed predicted molecular weight due to post translational modifications, post translation cleavages, relative charges, and other experimental factors.

Description

Novus Biologicals Mouse ERCC1 Antibody (OTI2H1) (NBP2-45501) is a monoclonal antibody validated for use in IHC and WB. All Novus Biologicals antibodies are covered by our 100% guarantee.

Scientific Data Images for ERCC1 Antibody (OTI2H1)

Western Blot: ERCC1 Antibody (OTI2H1) [NBP2-45501]

Western Blot: ERCC1 Antibody (OTI2H1) [NBP2-45501]

Western Blot: ERCC1 Antibody (2H1) [NBP2-45501] - Analysis of HEK293T cells were transfected with the pCMV6-ENTRY control (Left lane) or pCMV6-ENTRY ERCC1.
Immunohistochemistry: ERCC1 Antibody (OTI2H1) [NBP2-45501]

Immunohistochemistry: ERCC1 Antibody (OTI2H1) [NBP2-45501]

Immunohistochemistry: ERCC1 Antibody (2H1) [NBP2-45501] - Analysis of Carcinoma of Human prostate tissue. (Heat-induced epitope retrieval by 1 mM EDTA in 10mM Tris, pH8.5, 120C for 3min)
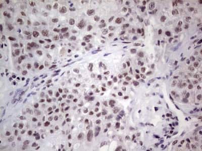
Immunohistochemistry: ERCC1 Antibody (OTI2H1) [NBP2-45501]

Immunohistochemistry: ERCC1 Antibody (OTI2H1) [NBP2-45501]

Immunohistochemistry: ERCC1 Antibody (2H1) [NBP2-45501] - Analysis of Human colon tissue. (Heat-induced epitope retrieval by 1 mM EDTA in 10mM Tris, pH8.5, 120C for 3min)

Applications for ERCC1 Antibody (OTI2H1)

Application
Recommended Usage

Immunohistochemistry

1:150

Western Blot

1:2000

Formulation, Preparation, and Storage

Purification

Immunogen affinity purified

Formulation

PBS (pH 7.3), 1.0% BSA and 50% Glycerol

Preservative

0.02% Sodium Azide

Concentration

1 mg/ml

Shipping

The product is shipped with polar packs. Upon receipt, store it immediately at the temperature recommended below.

Stability & Storage

Store at -20C. Avoid freeze-thaw cycles.

Background: ERCC1

The mammalian ERCC1 (Excision Repair Cross Complementing) polypeptide is required for nucleotide excision repair (NER) of damaged DNA and is homologous to Saccharomyces cerevisiae RAD10, which functions in repair and mitotic intrachromosomal recombination. NER mechanism involves dual incisions on both sides of the damage catalyzed by two nucleases. In mammalian cells XPG cleaves 3' of the DNA lesion while the ERCC1 XPF complex makes the 5'incision. Elevated levels of ERCC1 have also been reported in Cisplatin resistant cells.

Long Name

Excision Repair Cross-complementing 1

Alternate Names

COFS4, DNA excision repair protein ERCC-1, excision repair cross-complementing rodent repair deficiency, complementationgroup 1 (includes overlapping antisense sequence), RAD10, UV20

Gene Symbol

ERCC1

Additional ERCC1 Products

Product Documents for ERCC1 Antibody (OTI2H1)

Certificate of Analysis

To download a Certificate of Analysis, please enter a lot number in the search box below.

Product Specific Notices for ERCC1 Antibody (OTI2H1)

This product is for research use only and is not approved for use in humans or in clinical diagnosis. Primary Antibodies are guaranteed for 1 year from date of receipt.

Loading...
Loading...
Loading...
Loading...