Skip to main content

ER alpha/NR3A1 Antibody (rESR1/8761)

Novus Biologicals, part of Bio-Techne | Catalog # NBP3-20618

Recombinant Monoclonal Antibody
Novus Biologicals, part of Bio-Techne
Catalog #
Availability
Size / Price
Qty
Loading...
NBP3-20618-100ug
NBP3-20618-20ug

Key Product Details

Species Reactivity

Human

Applications

Immunohistochemistry-Paraffin

Label

Unconjugated

Antibody Source

Recombinant Monoclonal Mouse IgG2b Kappa Clone # rESR1/8761

Concentration

0.2 mg/ml

Product Specifications

Immunogen

Recombinant fragment corresponding to C-terminus of human ER alpha/NR3A1

Localization

Nucleus.

Clonality

Monoclonal

Host

Mouse

Isotype

IgG2b Kappa

Description

Positive Controls: Human breast or endometrial carcinoma.

Antibody with azide - store at 2 to 8C. Antibody without azide - store at -20 to -80C. Non-hazardous. No MSDS required.

Scientific Data Images for ER alpha/NR3A1 Antibody (rESR1/8761)

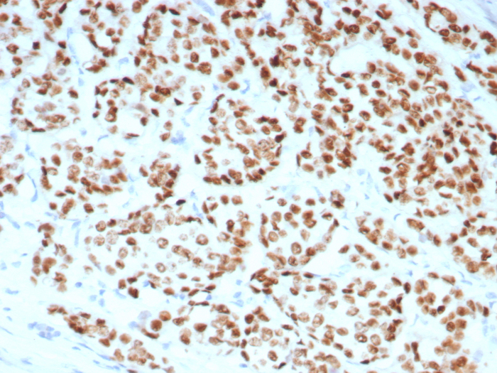
ER alpha/NR3A1 Antibody (rESR1/8761)

ER alpha/NR3A1 Antibody (rESR1/8761)

Formalin fixed paraffin embedded human breast carcinoma stained with ER alpha/NR3A1 antibody (rESR1/8761). HIER: Tris/EDTA, pH9.0, 45min. Secondary: HRP-polymer, 30min. DAB, 5min.

Applications for ER alpha/NR3A1 Antibody (rESR1/8761)

Application
Recommended Usage

Immunohistochemistry-Paraffin

1-2 ug/ml
Application Notes
Immunohistochemistry (Formalin-fixed): 1-2ug/ml for 30 minutes. at RT. Staining of formalin-fixed tissues requires heating tissue sections in 10mM Tris with 1mM EDTA, pH 9.0, for 45 min at 95C followed by cooling at RT for 20 minutes.

Optimal dilution for a specific application should be determined.

Formulation, Preparation, and Storage

Purification

Protein A or G purified

Formulation

10mM PBS with 0.05% BSA

Preservative

0.05% Sodium Azide

Concentration

0.2 mg/ml

Shipping

The product is shipped with polar packs. Upon receipt, store it immediately at the temperature recommended below.

Stability & Storage

Store at 4C. Do not freeze.

Background: ER alpha/NR3A1

Estrogen receptor alpha (ER alpha) is a nuclear protein and member of the steroid hormone receptor family. ER alpha possesses both DNA binding and ligand binding domains, and exerts a significant role in activating the transcription of certain genes (1). Ligand-dependent dimerization and phosphorylation on serines, 104, 106, and 118 function to regulate the transcriptional activation of ER alpha (2). The phosphorylation of the human estrogen receptor (ER) serine residue at position 118 is required for full activity of the ER activation function 1 (AF-1) (3).

Long Name

Estrogen Receptor alpha

Alternate Names

ESR1, NR3A1

Gene Symbol

ESR1

Additional ER alpha/NR3A1 Products

Product Documents for ER alpha/NR3A1 Antibody (rESR1/8761)

Certificate of Analysis

To download a Certificate of Analysis, please enter a lot number in the search box below.

Product Specific Notices for ER alpha/NR3A1 Antibody (rESR1/8761)

This product is for research use only and is not approved for use in humans or in clinical diagnosis. Primary Antibodies are guaranteed for 1 year from date of receipt.

Loading...
Loading...
Loading...
Loading...