Skip to main content

Emerin Antibody (CL0201) - Azide and BSA Free

Novus Biologicals, part of Bio-Techne | Catalog # NBP3-43885

Novus Biologicals, part of Bio-Techne
Catalog #
Availability
Size / Price
Qty
Loading...
NBP3-43885

Key Product Details

Validated by

Knockout/Knockdown

Species Reactivity

Human

Applications

Immunohistochemistry-Paraffin, Western Blot, Immunocytochemistry/ Immunofluorescence

Label

Unconjugated

Antibody Source

Monoclonal Mouse IgG2A Clone # CL0201

Format

Azide and BSA Free

Concentration

LYOPH mg/ml

Product Specifications

Immunogen

This antibody was generated using a recombinant protein sequence of P50402, with the exact immunogen sequence remaining proprietary.

Clonality

Monoclonal

Host

Mouse

Isotype

IgG2A

Description

Novus Biologicals Mouse Emerin Antibody (CL0201) - Azide and BSA Free (NBP2-52876) is a monoclonal antibody validated for use in IHC, WB and ICC/IF. All Novus Biologicals antibodies are covered by our 100% guarantee.

Scientific Data Images for Emerin Antibody (CL0201) - Azide and BSA Free

Emerin Antibody (CL0201) - Azide and BSA Free Western Blot: Emerin Antibody [NBP3-43885]

Western Blot: Emerin Antibody [NBP3-43885]

Lane 1: Marker [kDa]
Lane 2: Human cell line RT-4
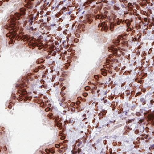
Emerin Antibody (CL0201) - Azide and BSA Free Immunohistochemistry-Paraffin: Emerin Antibody [NBP3-43885]

Immunohistochemistry-Paraffin: Emerin Antibody [NBP3-43885]

Staining of human fallopian tube shows strong positivity in the nuclear membrane of glandular cells.
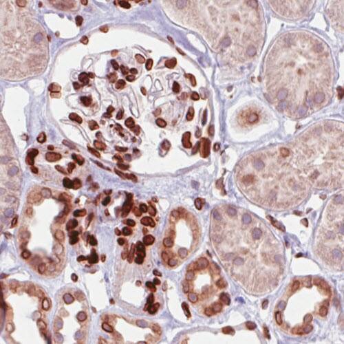
Emerin Antibody (CL0201) - Azide and BSA Free Immunohistochemistry-Paraffin: Emerin Antibody [NBP3-43885]

Immunohistochemistry-Paraffin: Emerin Antibody [NBP3-43885]

Staining of human kidney shows strong immunoreactivity in the nuclear membrane in renal glomeruli and tubuli.

Applications for Emerin Antibody (CL0201) - Azide and BSA Free

Application
Recommended Usage

Immunocytochemistry/ Immunofluorescence

2-10 ug/ml

Immunohistochemistry-Paraffin

1:2500 - 1:5000

Western Blot

1 ug/ml
Application Notes
For IHC-Paraffin, HIER pH 6 retrieval is recommended. Immunocytochemistry/ Immunofluorescence/IF Fixation/Permeabilization: PFA/Triton X-100.

Formulation, Preparation, and Storage

Purification

Protein A purified

Reconstitution

Centrifuge the vial of lyophilized antibody at 12,000 x g for 20 seconds. Reconstitute by adding sterile, distilled water to achieve a final antibody concentration of 1mg/ml.

Formulation

Lyophilized from a 0.2 um filtered solution in PBS with Trehalose

Format

Azide and BSA Free

Preservative

No Preservative

Concentration

LYOPH mg/ml

Shipping

The product is shipped at ambient temperature. Upon receipt, store it immediately at the temperature recommended below.

Stability & Storage

Store at 4C short term. Aliquot and store at -20C long term. Avoid freeze-thaw cycles.

Background: Emerin

Emerin is a serine-rich nuclear membrane protein and a member of the nuclear lamina-associated protein family. It mediates membrane anchorage to the cytoskeleton. Dreifuss-Emery muscular dystrophy is an X-linked inherited degenerative myopathy resulting from mutation in the emerin gene.

Alternate Names

emerin, Emery-Dreifuss muscular dystrophy, LEM domain containing 5, STAEDMDLEMD5

Gene Symbol

EMD

Additional Emerin Products

Product Documents for Emerin Antibody (CL0201) - Azide and BSA Free

Certificate of Analysis

To download a Certificate of Analysis, please enter a lot number in the search box below.

Product Specific Notices for Emerin Antibody (CL0201) - Azide and BSA Free

This product is for research use only and is not approved for use in humans or in clinical diagnosis. Primary Antibodies are guaranteed for 1 year from date of receipt.

Loading...
Loading...
Loading...
Loading...
Loading...