Skip to main content

ELTD1/ETL Antibody (CL4164) - BSA Free

Novus Biologicals, part of Bio-Techne | Catalog # NBP2-59041

Novus Biologicals, part of Bio-Techne
Catalog #
Availability
Size / Price
Qty
Loading...
NBP2-59041
NBP2-59041-25ul

Key Product Details

Species Reactivity

Human

Applications

Immunohistochemistry, Immunohistochemistry-Paraffin, Western Blot

Label

Unconjugated

Antibody Source

Monoclonal Mouse IgG1 Clone # CL4164

Format

BSA Free

Concentration

Concentrations vary lot to lot. See vial label for concentration. If unlisted please contact technical services.

Product Specifications

Immunogen

This antibody was developed using a recombinant protein derived from Q9HBW9, with the exact immunogen sequence remaining proprietary.

Clonality

Monoclonal

Host

Mouse

Isotype

IgG1

Description

Novus Biologicals Mouse ELTD1/ETL Antibody (CL4164) - BSA Free (NBP2-59041) is a monoclonal antibody validated for use in IHC and WB. All Novus Biologicals antibodies are covered by our 100% guarantee.

Scientific Data Images for ELTD1/ETL Antibody (CL4164) - BSA Free

Western Blot: ELTD1/ETL Antibody (CL4164) [NBP2-59041]

Western Blot: ELTD1/ETL Antibody (CL4164) [NBP2-59041]

Western Blot: ELTD1/ETL Antibody (CL4164) [NBP2-59041] - Analysis in human placenta tissue.
Immunohistochemistry-Paraffin: ELTD1/ETL Antibody (CL4164) [NBP2-59041]

Immunohistochemistry-Paraffin: ELTD1/ETL Antibody (CL4164) [NBP2-59041]

Immunohistochemistry-Paraffin: ELTD1/ETL Antibody (CL4164) [NBP2-59041] - Staining of human liver shows positivity in liver sinusoids.
Immunohistochemistry-Paraffin: ELTD1/ETL Antibody (CL4164) [NBP2-59041]

Immunohistochemistry-Paraffin: ELTD1/ETL Antibody (CL4164) [NBP2-59041]

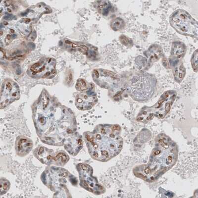
Immunohistochemistry-Paraffin: ELTD1/ETL Antibody (CL4164) [NBP2-59041] - Staining of human placenta shows strong immunoreactivity in endothelial cells.

Applications for ELTD1/ETL Antibody (CL4164) - BSA Free

Application
Recommended Usage

Immunohistochemistry

1:200 - 1:500

Immunohistochemistry-Paraffin

1:200 - 1:500

Western Blot

1 ug/ml
Application Notes
For IHC-Paraffin, HIER pH 6 retrieval is recommended.

Formulation, Preparation, and Storage

Purification

Protein A purified

Formulation

PBS (pH 7.2) and 40% Glycerol

Format

BSA Free

Preservative

0.02% Sodium Azide

Concentration

Concentrations vary lot to lot. See vial label for concentration. If unlisted please contact technical services.

Shipping

The product is shipped with polar packs. Upon receipt, store it immediately at the temperature recommended below.

Stability & Storage

Store at 4C short term. Aliquot and store at -20C long term. Avoid freeze-thaw cycles.

Background: ELTD1

The ETL protein receptor has been characterized as an Orphan-B GPCR with an unknown ligand. ETL has a large extracellular domain with epidermal growth factor (EGF)-like repeats, a seven-transmembrane domain, and a short cytoplasmic tail. ETL expression is developmentally regulated in heart. ETL protein receptor expression has been documented in heart, lung, and vessel. ESTs have been isolated from ear, embryo, heart, liver/spleen, lung, pineal gland, placenta, prostate, skeletal muscle, testis, and vessel libraries.

Long Name

EGF, Latrophilin and Seven Transmembrane Domain Containing 1

Alternate Names

ETL

Gene Symbol

ADGRL4

Additional ELTD1 Products

Product Documents for ELTD1/ETL Antibody (CL4164) - BSA Free

Certificate of Analysis

To download a Certificate of Analysis, please enter a lot number in the search box below.

Product Specific Notices for ELTD1/ETL Antibody (CL4164) - BSA Free

This product is for research use only and is not approved for use in humans or in clinical diagnosis. Primary Antibodies are guaranteed for 1 year from date of receipt.

Loading...
Loading...
Loading...
Loading...