Skip to main content

Elongin A Antibody - BSA Free

Novus Biologicals, part of Bio-Techne | Catalog # NBP3-45280

Novus Biologicals, part of Bio-Techne
Catalog #
Availability
Size / Price
Qty
Loading...
NBP3-45280

Key Product Details

Species Reactivity

Human, Mouse, Rat

Applications

Immunohistochemistry, Western Blot, ELISA, Immunocytochemistry/ Immunofluorescence

Label

Unconjugated

Antibody Source

Polyclonal Rabbit IgG

Format

BSA Free

Concentration

Please see the vial label for concentration. If unlisted please contact technical services.

Product Specifications

Immunogen

transcription elongation factor B (SIII), polypeptide 3 (110kDa, elongin A). (Uniprot# Q14241)

Clonality

Polyclonal

Host

Rabbit

Isotype

IgG

Theoretical MW

105 kDa.
Disclaimer note: The observed molecular weight of the protein may vary from the listed predicted molecular weight due to post translational modifications, post translation cleavages, relative charges, and other experimental factors.

Description

Novus Biologicals Rabbit Elongin A Antibody - BSA Free (NBP3-45280) is a polyclonal antibody validated for use in IHC, WB, ELISA and ICC/IF. All Novus Biologicals antibodies are covered by our 100% guarantee.

Scientific Data Images for Elongin A Antibody - BSA Free

Elongin A Antibody - BSA Free

Western Blot: Elongin A Antibody - BSA Free [NBP3-45280] -

Western Blot: Elongin A Antibody - BSA Free [NBP3-45280] - HeLa cells were subjected to SDS PAGE followed by western blot with (Elongin A antibody) at dilution of 1:1000
Elongin A Antibody - BSA Free

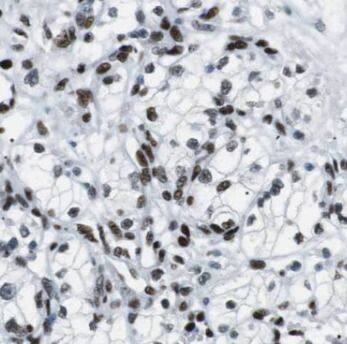
Immunohistochemistry: Elongin A Antibody - BSA Free [NBP3-45280] -

Immunohistochemistry: Elongin A Antibody - BSA Free [NBP3-45280] - Immunohistochemistry of paraffin-embedded human kidney cancer using (Elongin A antibody) at dilution of 1:100

Applications for Elongin A Antibody - BSA Free

Application
Recommended Usage

Immunocytochemistry/ Immunofluorescence

1:50 - 1:200

Immunohistochemistry

1:50 - 1:200

Western Blot

1:500 - 1:2000

Formulation, Preparation, and Storage

Purification

Immunogen affinity purified

Formulation

PBS, 50% Glycerol, pH (7.3)

Format

BSA Free

Preservative

0.02% Sodium Azide

Concentration

Please see the vial label for concentration. If unlisted please contact technical services.

Shipping

The product is shipped with polar packs. Upon receipt, store it immediately at the temperature recommended below.

Stability & Storage

Store at -20C. Avoid freeze-thaw cycles.

Background: Elongin A

TCEB3 (Elongin A) is a subunit of the transcription factor B (SIII) complex. The SIII complex is composed of elongins A/A2, B and C. It activates elongation by RNA polymerase II by suppressing transient pausing of the polymerase at many sites within transcription units. Elongin A functions as the transcriptionally active component of the SIII complex, whereas elongins B and C are regulatory subunits. Elongin A2 is specifically expressed in the testis, and capable of forming a stable complex with elongins B and C. The von Hippel-Lindau tumor suppressor protein binds to elongins B and C, and thereby inhibits transcription elongation.

Alternate Names

EloA, Elongin 110 kDa subunit, elongin-A, FLJ38760, FLJ42849, RNA polymerase II transcription factor SIII subunit A1, SIII, SIII p110, TCEB3A, transcription elongation factor B (SIII), polypeptide 3 (110kD, elongin A), transcription elongation factor B (SIII), polypeptide 3 (110kDa, elongin A), transcription elongation factor B alpha subunit, transcription elongation factor B polypeptide 3

Gene Symbol

TCEB3

Additional Elongin A Products

Product Documents for Elongin A Antibody - BSA Free

Certificate of Analysis

To download a Certificate of Analysis, please enter a lot number in the search box below.

Product Specific Notices for Elongin A Antibody - BSA Free

This product is for research use only and is not approved for use in humans or in clinical diagnosis. Primary Antibodies are guaranteed for 1 year from date of receipt.

Loading...
Loading...
Loading...
Loading...