Skip to main content

ELF5 Antibody - BSA Free

Novus Biologicals, part of Bio-Techne | Catalog # NBP3-04468

Novus Biologicals, part of Bio-Techne
Catalog #
Availability
Size / Price
Qty
Loading...
NBP3-04468-100ul
NBP3-04468-20ul

Key Product Details

Species Reactivity

Human, Mouse, Rat

Applications

Immunohistochemistry, Immunohistochemistry-Paraffin, Western Blot, ELISA, Immunocytochemistry/ Immunofluorescence

Label

Unconjugated

Antibody Source

Polyclonal Rabbit IgG

Format

BSA Free

Concentration

Please see the vial label for concentration. If unlisted please contact technical services.

Product Specifications

Immunogen

Recombinant fusion protein containing a sequence corresponding to amino acids 40-150 of human ELF5 (NP_938195.1). EEYYPAFEHQTACDSYWTSVHPEYWTKRHVWEWLQFCCDQYKLDTNCISFCNFNISGLQLCSMTQEEFVEAAGLCGEYLYFILQNIRTQGYSFFNDAEESKATIKDYADSN

Clonality

Polyclonal

Host

Rabbit

Isotype

IgG

Theoretical MW

31 kDa.
Disclaimer note: The observed molecular weight of the protein may vary from the listed predicted molecular weight due to post translational modifications, post translation cleavages, relative charges, and other experimental factors.

Description

Novus Biologicals Rabbit ELF5 Antibody - BSA Free (NBP3-04468) is a polyclonal antibody validated for use in IHC, WB, ELISA and ICC/IF. All Novus Biologicals antibodies are covered by our 100% guarantee.

Scientific Data Images for ELF5 Antibody - BSA Free

Western Blot: ELF5 AntibodyAzide and BSA Free [NBP3-04468]

Western Blot: ELF5 AntibodyAzide and BSA Free [NBP3-04468]

Western Blot: ELF5 Antibody [NBP3-04468] - Analysis of extracts of various cell lines, using ELF5 antibody at 1:1000 dilution.Secondary antibody: HRP Goat Anti-Rabbit IgG (H+L) at 1:10000 dilution.Lysates/proteins: 25ug per lane. Blocking buffer: 3% nonfat dry milk in TBST.Detection: ECL Basic Kit. Exposure time: 180s.
Immunocytochemistry/ Immunofluorescence: ELF5 Antibody - Azide and BSA Free [NBP3-04468]

Immunocytochemistry/ Immunofluorescence: ELF5 Antibody - Azide and BSA Free [NBP3-04468]

Immunocytochemistry/Immunofluorescence: ELF5 Antibody [NBP3-04468] - Analysis of A549 cells using ELF5 antibody . Blue: DAPI for nuclear staining.
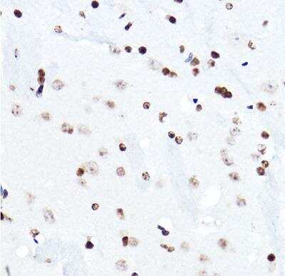
Immunohistochemistry-Paraffin: ELF5 Antibody - Azide and BSA Free [NBP3-04468]

Immunohistochemistry-Paraffin: ELF5 Antibody - Azide and BSA Free [NBP3-04468]

Immunohistochemistry-Paraffin: ELF5 Antibody [NBP3-04468] - Rat liver using ELF5 Rabbit pAb at dilution of 1:50 (40x lens).

Applications for ELF5 Antibody - BSA Free

Application
Recommended Usage

ELISA

Recommended starting is 1 ug/mL

Immunocytochemistry/ Immunofluorescence

1:50-1:100

Immunohistochemistry

1:50 - 1:200

Immunohistochemistry-Paraffin

1:50 - 1:200

Western Blot

1:500 - 1:1000

Formulation, Preparation, and Storage

Purification

Affinity purified

Formulation

PBS (pH 7.3), 50% glycerol

Format

BSA Free

Preservative

0.02% Sodium Azide

Concentration

Please see the vial label for concentration. If unlisted please contact technical services.

Shipping

The product is shipped with polar packs. Upon receipt, store it immediately at the temperature recommended below.

Stability & Storage

Store at -20C. Avoid freeze-thaw cycles.

Background: ELF5

The protein encoded by the ELF5 gene is a member of an epithelium-specific subclass of the Ets transcritpion factor family.In addition to its role in regulating the later stages of terminal differentiation of keratinocytes, it appears toregulate a number of epithelium-specific genes found in tissues containing glandular epithelium such as salivary glandand prostate. It has very low affinity to DNA due to its negative regulatory domain at the amino terminus. Twoalternatively spliced transcript variants encoding different isoforms have been described for this gene. (provided byRefSeq)

Alternate Names

E74-like factor 5, E74-like factor 5 (ets domain transcription factor), Epithelium-restricted ESE-1-related Ets factor, Epithelium-specific Ets transcription factor 2, ESE2ESE-2, ETS-related transcription factor Elf-5

Gene Symbol

ELF5

Additional ELF5 Products

Product Documents for ELF5 Antibody - BSA Free

Certificate of Analysis

To download a Certificate of Analysis, please enter a lot number in the search box below.

Product Specific Notices for ELF5 Antibody - BSA Free

This product is for research use only and is not approved for use in humans or in clinical diagnosis. Primary Antibodies are guaranteed for 1 year from date of receipt.

Loading...
Loading...
Loading...
Loading...

⚠ WARNING: This product can expose you to chemicals including Methotrexate, which is known to the State of California to cause reproductive toxicity with developmental effects. For more information, go to www.P65Warnings.ca.gov