Skip to main content

ELAC2 Antibody - BSA Free

Novus Biologicals, part of Bio-Techne | Catalog # NBP3-30514

Novus Biologicals, part of Bio-Techne
Catalog #
Availability
Size / Price
Qty
Loading...
NBP3-30514

Key Product Details

Species Reactivity

Human, Mouse

Applications

Immunohistochemistry, Western Blot, Immunoprecipitation

Label

Unconjugated

Antibody Source

Polyclonal Rabbit IgG

Format

BSA Free

Concentration

Please see the vial label for concentration. If unlisted please contact technical services.

Product Specifications

Immunogen

Between 776 and 826

Clonality

Polyclonal

Host

Rabbit

Isotype

IgG

Description

Novus Biologicals Rabbit ELAC2 Antibody - BSA Free (NBP3-30514) is a polyclonal antibody validated for use in IHC, WB and IP. All Novus Biologicals antibodies are covered by our 100% guarantee.

Scientific Data Images for ELAC2 Antibody - BSA Free

ELAC2 Antibody

Immunohistochemistry;ELAC2 Antibody[NBP3-30497]

Immunohistochemistry;ELAC2 Antibody[NBP3-30497]Detection of human ELAC2 by immunohistochemistry. Sample: FFPE section of human stomach. Antibody: Affinity purified rabbit anti-ELAC2 used at a dilution of 1:1,000 . Detection: DAB
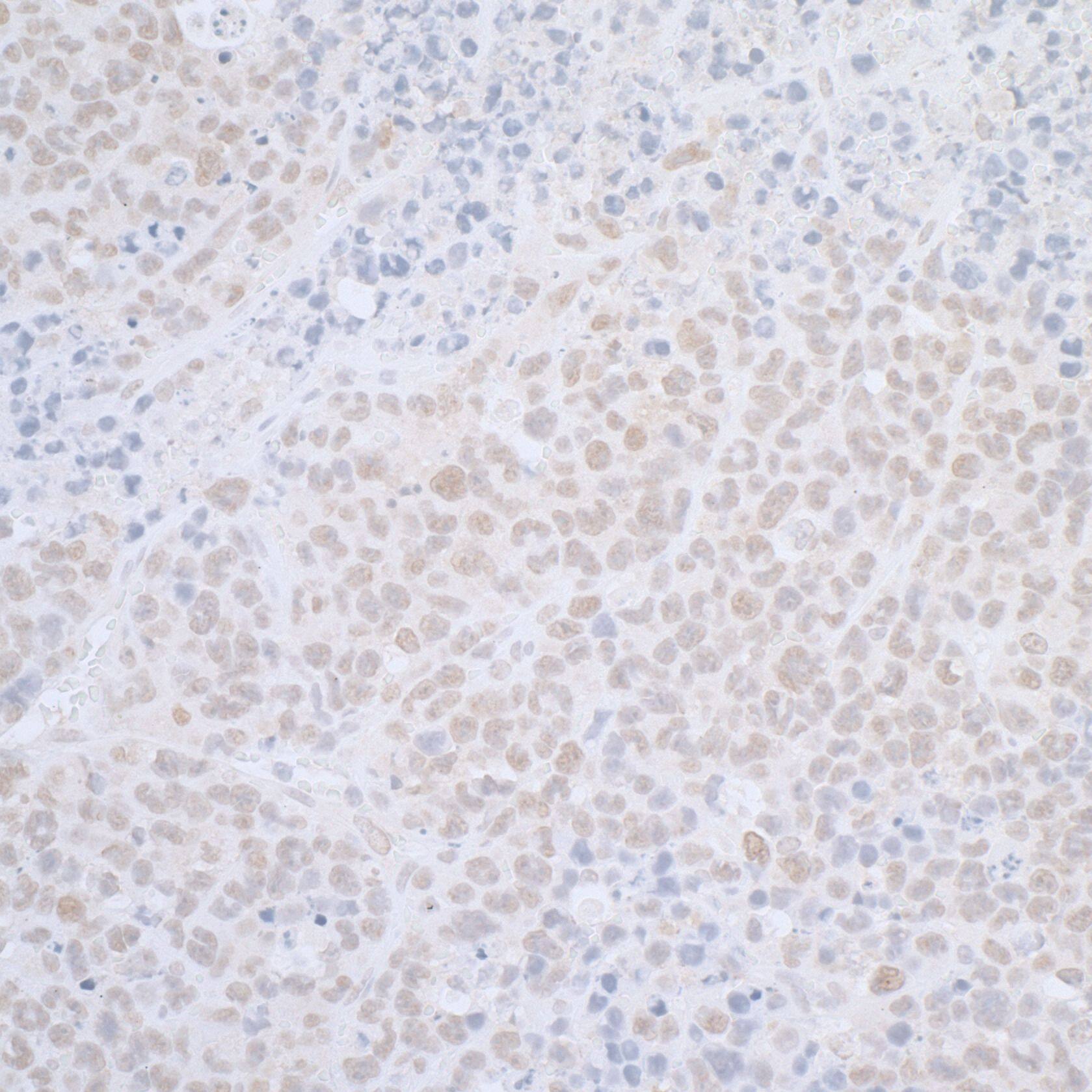
ELAC2 Antibody

Immunohistochemistry;ELAC2 Antibody[NBP3-30514]

Immunohistochemistry;ELAC2 Antibody[NBP3-30514]Detection of mouse ELAC2 by immunohistochemistry. Sample: FFPE section of mouse plasmacytoma. Antibody: Affinity purified rabbit anti-ELAC2 used at a dilution of 1:1,000 . Detection: DAB
ELAC2 Antibody

Immunoprecipitation:ELAC2 AntibodyNBP3-30514] -

Immunoprecipitation:ELAC2 AntibodyNBP3-30514] -Detection of human ELAC2 by western blot of immunoprecipitates. Samples: Whole cell lysate (0.5 or 1.0 mg per IP reaction; 20% of IP loaded) from 293T cells prepared using NETN lysis buffer. Antibody: Affinity purified rabbit anti-ELAC2 antibody NBP3-30514 (lot NBP3-30514-1) used for IP at 6 µg per reaction. ELAC2 was also immunoprecipitated by rabbit anti-ELAC2.. For blotting immunoprecipitated ELAC2, NBP3-30514 was used at 0.4 µg/ml. Detection: Chemiluminescence with an exposure time of 3 seconds.

Applications for ELAC2 Antibody - BSA Free

Application
Recommended Usage

Immunohistochemistry

Optimal dilutions of this antibody should be experimentally determined.

Immunoprecipitation

Optimal dilutions of this antibody should be experimentally determined.

Western Blot

Optimal dilutions of this antibody should be experimentally determined.

Formulation, Preparation, and Storage

Purification

Affinity purified

Formulation

Tris-citrate/phosphate pH 7 -8.

Format

BSA Free

Preservative

0.09% Sodium Azide

Concentration

Please see the vial label for concentration. If unlisted please contact technical services.

Shipping

The product is shipped with polar packs. Upon receipt, store it immediately at the temperature recommended below.

Stability & Storage

Store at 4C. Do not freeze.

Background: ELAC2

The protein encoded by the ELAC2 gene has a C-terminal domain with tRNA 3′ processing endoribonuclease activity,which catalyzes the removal of the 3' trailer from precursor tRNAs. The protein also interacts with activatedSmad family member 2 (Smad2) and its nuclear partner forkhead box H1 (also known as FAST-1), and reduced expressioncan suppress transforming growth factor-beta induced growth arrest. Mutations in this gene result in an increased riskof prostate cancer. Multiple transcript variants encoding different isoforms have been found for this gene. (providedby RefSeq)

Alternate Names

EC 3.1.26.11, elaC homolog 2 (E. coli), ElaC homolog protein 2, ELC2, FLJ10530, FLJ36693, FLJ42848, Heredity prostate cancer protein 2, HPC2elaC (E. coli) homolog 2, putative prostate cancer susceptibility protein HPC2/ELAC2, Ribonuclease Z 2, RNase Z 2, tRNA 3 endonuclease 2, tRNase Z (long form), tRNase Z 2, zinc phosphodiesterase ELAC protein 2

Gene Symbol

ELAC2

Additional ELAC2 Products

Product Documents for ELAC2 Antibody - BSA Free

Certificate of Analysis

To download a Certificate of Analysis, please enter a lot number in the search box below.

Product Specific Notices for ELAC2 Antibody - BSA Free

This product is for research use only and is not approved for use in humans or in clinical diagnosis. Primary Antibodies are guaranteed for 1 year from date of receipt.

Loading...
Loading...
Loading...
Loading...