Skip to main content

ELAC2 Antibody - BSA Free

Novus Biologicals, part of Bio-Techne | Catalog # NBP3-04612

Novus Biologicals, part of Bio-Techne
Catalog #
Availability
Size / Price
Qty
Loading...
NBP3-04612-100ul
NBP3-04612-20ul

Key Product Details

Species Reactivity

Human, Mouse, Rat

Applications

Immunohistochemistry, Immunohistochemistry-Paraffin, Western Blot, ELISA

Label

Unconjugated

Antibody Source

Polyclonal Rabbit IgG

Format

BSA Free

Concentration

Please see the vial label for concentration. If unlisted please contact technical services.

Product Specifications

Immunogen

Recombinant fusion protein containing a sequence corresponding to amino acids 1-270 of human ELAC2 (NP_776065.1). MWALCSLLRSAAGRTMSQGRTISQAPARRERPRKDPLRHLRTREKRGPSGCSGGPNTVYLQVVAAGSRDSGAALYVFSEFNRYLFNCGEGVQRLMQEHKLKVARLDNIFLTRMHWSNVGGLSGMILTLKETGLPKCVLSGPPQLEKYLEAIKIFSGPLKGIELAVRPHSAPEYEDETMTVYQIPIHSEQRRGKHQPWQSPERPLSRLSPERSSDSESNENEPHLPHGVSQRRGVRDSSLVVAFICKLHLKRGNFLVLKAKEMGLPVGTAA

Clonality

Polyclonal

Host

Rabbit

Isotype

IgG

Theoretical MW

92 kDa.
Disclaimer note: The observed molecular weight of the protein may vary from the listed predicted molecular weight due to post translational modifications, post translation cleavages, relative charges, and other experimental factors.

Description

Novus Biologicals Rabbit ELAC2 Antibody - BSA Free (NBP3-04612) is a polyclonal antibody validated for use in IHC, WB and ELISA. All Novus Biologicals antibodies are covered by our 100% guarantee.

Scientific Data Images for ELAC2 Antibody - BSA Free

Western Blot: ELAC2 AntibodyBSA Free [NBP3-04612]

Western Blot: ELAC2 AntibodyBSA Free [NBP3-04612]

Western Blot: ELAC2 Antibody [NBP3-04612] - Analysis of extracts of various cell lines, using ELAC2 antibody at 1:1000 dilution. Secondary antibody: HRP Goat Anti-Rabbit IgG (H+L) at 1:10000 dilution. Lysates/proteins: 25ug per lane. Blocking buffer: 3% nonfat dry milk in TBST. Detection: ECL Basic Kit
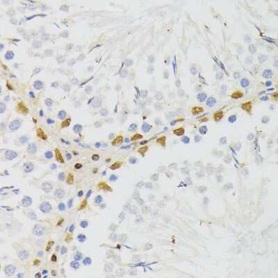
Immunohistochemistry-Paraffin: ELAC2 Antibody - BSA Free [NBP3-04612]

Immunohistochemistry-Paraffin: ELAC2 Antibody - BSA Free [NBP3-04612]

Immunohistochemistry-Paraffin: ELAC2 Antibody [NBP3-04612] - Paraffin-embedded rat testis using ELAC2 antibody at dilution of 1:200 (40x lens).
Immunohistochemistry-Paraffin: ELAC2 Antibody - BSA Free [NBP3-04612]

Immunohistochemistry-Paraffin: ELAC2 Antibody - BSA Free [NBP3-04612]

Immunohistochemistry-Paraffin: ELAC2 Antibody [NBP3-04612] - Paraffin-embedded human colon carcinoma using ELAC2 antibody at dilution of 1:200 (40x lens).

Applications for ELAC2 Antibody - BSA Free

Application
Recommended Usage

Immunohistochemistry

1:50 - 1:200

Western Blot

1:500 - 1:2000

Formulation, Preparation, and Storage

Purification

Affinity purified

Formulation

PBS (pH 7.3), 50% glycerol

Format

BSA Free

Preservative

0.02% Sodium Azide

Concentration

Please see the vial label for concentration. If unlisted please contact technical services.

Shipping

The product is shipped with polar packs. Upon receipt, store it immediately at the temperature recommended below.

Stability & Storage

Store at -20C. Avoid freeze-thaw cycles.

Background: ELAC2

The protein encoded by the ELAC2 gene has a C-terminal domain with tRNA 3′ processing endoribonuclease activity,which catalyzes the removal of the 3' trailer from precursor tRNAs. The protein also interacts with activatedSmad family member 2 (Smad2) and its nuclear partner forkhead box H1 (also known as FAST-1), and reduced expressioncan suppress transforming growth factor-beta induced growth arrest. Mutations in this gene result in an increased riskof prostate cancer. Multiple transcript variants encoding different isoforms have been found for this gene. (providedby RefSeq)

Alternate Names

EC 3.1.26.11, elaC homolog 2 (E. coli), ElaC homolog protein 2, ELC2, FLJ10530, FLJ36693, FLJ42848, Heredity prostate cancer protein 2, HPC2elaC (E. coli) homolog 2, putative prostate cancer susceptibility protein HPC2/ELAC2, Ribonuclease Z 2, RNase Z 2, tRNA 3 endonuclease 2, tRNase Z (long form), tRNase Z 2, zinc phosphodiesterase ELAC protein 2

Gene Symbol

ELAC2

Additional ELAC2 Products

Product Documents for ELAC2 Antibody - BSA Free

Certificate of Analysis

To download a Certificate of Analysis, please enter a lot number in the search box below.

Product Specific Notices for ELAC2 Antibody - BSA Free

This product is for research use only and is not approved for use in humans or in clinical diagnosis. Primary Antibodies are guaranteed for 1 year from date of receipt.

Loading...
Loading...
Loading...
Loading...