Skip to main content

EIF2G Antibody - BSA Free

Novus Biologicals, part of Bio-Techne | Catalog # NBP3-03513

Novus Biologicals, part of Bio-Techne
Catalog #
Availability
Size / Price
Qty
Loading...
NBP3-03513-100ul
NBP3-03513-20ul

Key Product Details

Species Reactivity

Human, Mouse, Rat

Applications

Immunohistochemistry, Immunohistochemistry-Paraffin, Western Blot

Label

Unconjugated

Antibody Source

Polyclonal Rabbit IgG

Format

BSA Free

Concentration

Please see the vial label for concentration. If unlisted please contact technical services.

Product Specifications

Immunogen

Recombinant fusion protein containing a sequence corresponding to amino acids 1-250 of human EIF2G (NP_001406.1). MAGGEAGVTLGQPHLSRQDLTTLDVTKLTPLSHEVISRQATINIGTIGHVAHGKSTVVKAISGVHTVRFKNELERNITIKLGYANAKIYKLDDPSCPRPECYRSCGSSTPDEFPTDIPGTKGNFKLVRHVSFVDCPGHDILMATMLNGAAVMDAALLLIAGNESCPQPQTSEHLAAIEIMKLKHILILQNKIDLVKESQAKEQYEQILAFVQGTVAEGAPIIPISAQLKYNIEVVCEYIVKKIPVPPRDF

Clonality

Polyclonal

Host

Rabbit

Isotype

IgG

Theoretical MW

51 kDa.
Disclaimer note: The observed molecular weight of the protein may vary from the listed predicted molecular weight due to post translational modifications, post translation cleavages, relative charges, and other experimental factors.

Description

Novus Biologicals Rabbit EIF2G Antibody - BSA Free (NBP3-03513) is a polyclonal antibody validated for use in IHC and WB. All Novus Biologicals antibodies are covered by our 100% guarantee.

Scientific Data Images for EIF2G Antibody - BSA Free

Western Blot: EIF2G AntibodyAzide and BSA Free [NBP3-03513]

Western Blot: EIF2G AntibodyAzide and BSA Free [NBP3-03513]

Western Blot: EIF2G Antibody [NBP3-03513] - Western blot analysis of extracts of various cell lines, using EIF2G antibody (NBP3-03513) at 1:1000 dilution. Secondary antibody: HRP Goat Anti-Rabbit IgG (H+L) at 1:10000 dilution. Lysates/proteins: 25ug per lane. Blocking buffer: 3% nonfat dry milk in TBST. Detection: ECL Basic Kit. Exposure time: 10s.
Immunohistochemistry-Paraffin: EIF2G Antibody - Azide and BSA Free [NBP3-03513]

Immunohistochemistry-Paraffin: EIF2G Antibody - Azide and BSA Free [NBP3-03513]

Immunohistochemistry-Paraffin: EIF2G Antibody [NBP3-03513] - Paraffin-embedded rat brain using EIF2G antibody at dilution of 1:100 (40x lens).
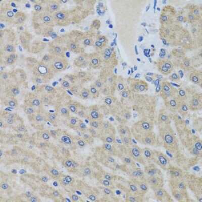
Immunohistochemistry-Paraffin: EIF2G Antibody - Azide and BSA Free [NBP3-03513]

Immunohistochemistry-Paraffin: EIF2G Antibody - Azide and BSA Free [NBP3-03513]

Immunohistochemistry-Paraffin: EIF2G Antibody [NBP3-03513] - Paraffin-embedded human liver using EIF2G antibody at dilution of 1:100 (40x lens).

Applications for EIF2G Antibody - BSA Free

Application
Recommended Usage

Immunohistochemistry

1:50-1:200

Western Blot

1:500 - 1:1000

Formulation, Preparation, and Storage

Purification

Affinity purified

Formulation

PBS (pH 7.3), 50% glycerol

Format

BSA Free

Preservative

0.09% Sodium Azide

Concentration

Please see the vial label for concentration. If unlisted please contact technical services.

Shipping

The product is shipped with polar packs. Upon receipt, store it immediately at the temperature recommended below.

Stability & Storage

Store at -20C. Avoid freeze-thaw cycles.

Background: EIF2G

eIF-2 functions in the early steps of protein synthesis by forming a ternary complex with GTP and initiatortRNA. This complex binds to a 40S ribosomal subunit, followed by mRNA binding to form a 43S preinitiation complex.Junction of the 60S ribosomal subunit to form the 80S initiation complex is preceded by hydrolysis of the GTP bound toeIF-2 and release of an eIF-2-GDP binary complex. In order for eIF-2 to recycle and catalyze another round ofinitiation, the GDP bound to eIF-2 must exchange with GTP by way of a reaction catalyzed by eIF-2B

Alternate Names

EIF2, eIF-2gA, EIF2gamma, eIF-2-gamma X, EIF2Geukaryotic translation initiation factor 2, subunit 3 (gamma, 52kD), eIF-2gX, eukaryotic translation initiation factor 2 subunit 3, Eukaryotic translation initiation factor 2 subunit gamma X, eukaryotic translation initiation factor 2, subunit 3 gamma, 52kDa, eukaryotic translation initiation factor 2G

Gene Symbol

EIF2S3

Additional EIF2G Products

Product Documents for EIF2G Antibody - BSA Free

Certificate of Analysis

To download a Certificate of Analysis, please enter a lot number in the search box below.

Product Specific Notices for EIF2G Antibody - BSA Free

This product is for research use only and is not approved for use in humans or in clinical diagnosis. Primary Antibodies are guaranteed for 1 year from date of receipt.

Loading...
Loading...
Loading...
Loading...

⚠ WARNING: This product can expose you to chemicals including Methotrexate, which is known to the State of California to cause reproductive toxicity with developmental effects. For more information, go to www.P65Warnings.ca.gov