eIF2 alpha/EIF2S1 Antibody (PSH04-29)
Novus Biologicals, part of Bio-Techne | Catalog # NBP3-32296
Recombinant Monoclonal Antibody
Key Product Details
Species Reactivity
Human, Mouse, Rat, Monkey
Applications
Flow Cytometry, Immunocytochemistry/ Immunofluorescence, Immunohistochemistry, Immunohistochemistry-Paraffin, Western Blot
Label
Unconjugated
Antibody Source
Recombinant Monoclonal Rabbit IgG Clone # PSH04-29
Concentration
1 mg/ml
Product Specifications
Immunogen
Recombinant protein within human eIF2 alpha/eIF2 alpha/EIF2S1 aa 1-315 / 315. (Uniprot: P05198)
Localization
Cytoplasm, Stress granule.
Clonality
Monoclonal
Host
Rabbit
Isotype
IgG
Theoretical MW
36 kDa.
Disclaimer note: The observed molecular weight of the protein may vary from the listed predicted molecular weight due to post translational modifications, post translation cleavages, relative charges, and other experimental factors.
Disclaimer note: The observed molecular weight of the protein may vary from the listed predicted molecular weight due to post translational modifications, post translation cleavages, relative charges, and other experimental factors.
Scientific Data Images for eIF2 alpha/EIF2S1 Antibody (PSH04-29)
Western Blot: eIF2 alpha/EIF2S1 Antibody (PSH04-29) [NBP3-32296]
Western Blot: eIF2 alpha/EIF2S1 Antibody (PSH04-29) [NBP3-32296] - Western blot analysis of eIF2 alpha/EIF2S1 on different lysates with Rabbit anti-eIF2 alpha/EIF2S1 antibody (NBP3-32296) at 1/2,000 dilution.Lane 1: MCF7 cell lysate
Lane 2: HepG2 cell lysate
Lane 3: HeLa cell lysate
Lane 4: COS-1 cell lysate
Lane 5: A549 cell lysate
Lane 6: RAW264.7 cell lysate
Lane 7: C6 cell lysate
Lane 8: Mouse kidney tissue lysate
Lane 9: Mouse spleen tissue lysate
Lane 10: Rat kidney tissue lysate
Lane 11: Rat spleen tissue lysate
Lysates/proteins at 10 ug/Lane.
Predicted band size: 36 kDa
Observed band size: 36 kDa
Exposure time: 59 seconds; ECL;
4-20% SDS-PAGE gel.
Proteins were transferred to a PVDF membrane and blocked with 5% NFDM/TBST for 1 hour at room temperature. The primary antibody (NBP3-32296) at 1/2,000 dilution was used in 5% NFDM/TBST at 4C overnight. Goat Anti-Rabbit IgG - HRP Secondary Antibody at 1/50,000 dilution was used for 1 hour at room temperature.
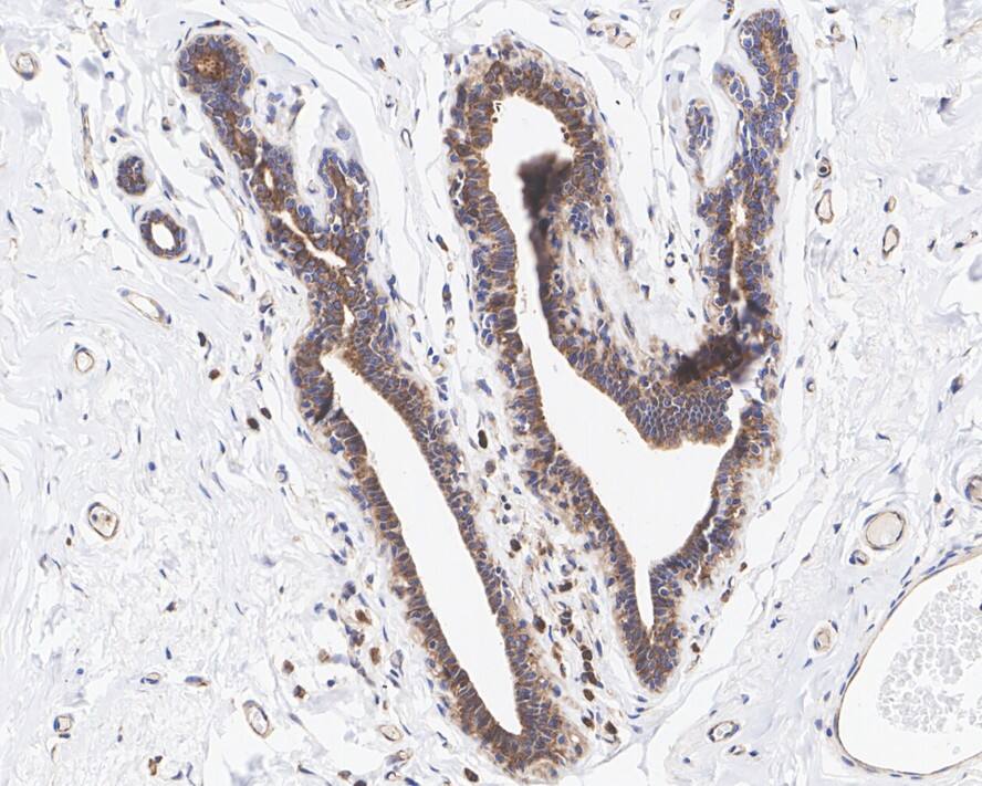
Immunohistochemistry: eIF2 alpha/EIF2S1 Antibody (PSH04-29) [NBP3-32296]
Immunohistochemistry: eIF2 alpha/EIF2S1 Antibody (PSH04-29) [NBP3-32296] - Immunohistochemical analysis of paraffin-embedded human breast tissue with Rabbit anti-eIF2 alpha/EIF2S1 antibody (NBP3-32296) at 1/1,000 dilution.The section was pre-treated using heat mediated antigen retrieval with Tris-EDTA buffer (pH 9.0) for 20 minutes. The tissues were blocked in 1% BSA for 20 minutes at room temperature, washed with ddH2O and PBS, and then probed with the primary antibody (NBP3-32296) at 1/1,000 dilution for 1 hour at room temperature. The detection was performed using an HRP conjugated compact polymer system. DAB was used as the chromogen. Tissues were counterstained with hematoxylin and mounted with DPX.
Immunocytochemistry/ Immunofluorescence: eIF2 alpha/EIF2S1 Antibody (PSH04-29) [NBP3-32296]
Immunocytochemistry/ Immunofluorescence: eIF2 alpha/EIF2S1 Antibody (PSH04-29) [NBP3-32296] - Immunocytochemistry analysis of HepG2 cells labeling eIF2 alpha/EIF2S1 with Rabbit anti-eIF2 alpha/EIF2S1 antibody (NBP3-32296) at 1/100 dilution.Cells were fixed in 4% paraformaldehyde for 20 minutes at room temperature, permeabilized with 0.1% Triton X-100 in PBS for 5 minutes at room temperature, then blocked with 1% BSA in 10% negative goat serum for 1 hour at room temperature. Cells were then incubated with Rabbit anti-eIF2 alpha/EIF2S1 antibody (NBP3-32296) at 1/100 dilution in 1% BSA in PBST overnight at 4 ℃. Goat Anti-Rabbit IgG H&L (iFluor™ 488) was used as the secondary antibody at 1/1,000 dilution. PBS instead of the primary antibody was used as the secondary antibody only control. Nuclear DNA was labelled in blue with DAPI.
Beta tubulin (red) was stained at 1/100 dilution overnight at +4℃. Goat Anti-Mouse IgG H&L (iFluor™ 594) was used as the secondary antibody at 1/1,000 dilution.
Applications for eIF2 alpha/EIF2S1 Antibody (PSH04-29)
Application
Recommended Usage
Flow Cytometry
1:1000
Immunocytochemistry/ Immunofluorescence
1:100
Immunohistochemistry-Paraffin
1:1000
Western Blot
1:2000
Formulation, Preparation, and Storage
Purification
Protein A purified
Formulation
PBS (pH7.4), 0.1% BSA and 40% Glycerol
Preservative
0.05% Sodium Azide
Concentration
1 mg/ml
Shipping
The product is shipped with polar packs. Upon receipt, store it immediately at the temperature recommended below.
Stability & Storage
Store at 4C short term. Aliquot and store at -20C long term. Avoid freeze-thaw cycles.
Background: eIF2 alpha
Long Name
Eukaryotic Translation Initiation Factor 2 Alpha
Alternate Names
EIF2S1
Gene Symbol
EIF2S1
Additional eIF2 alpha Products
Product Documents for eIF2 alpha/EIF2S1 Antibody (PSH04-29)
Product Specific Notices for eIF2 alpha/EIF2S1 Antibody (PSH04-29)
This product is for research use only and is not approved for use in humans or in clinical diagnosis. Primary Antibodies are guaranteed for 1 year from date of receipt.
Loading...
Loading...
Loading...
Loading...
Loading...