EHD3 Antibody - BSA Free
Novus Biologicals, part of Bio-Techne | Catalog # NBP2-31896
Key Product Details
Species Reactivity
Validated:
Human
Cited:
Human
Predicted:
Mouse (100%), Rat (98%). Backed by our 100% Guarantee.
Applications
Validated:
Immunohistochemistry, Immunohistochemistry-Paraffin, Immunohistochemistry-Frozen
Cited:
IHC-F
Label
Unconjugated
Antibody Source
Polyclonal Rabbit IgG
Format
BSA Free
Concentration
Concentrations vary lot to lot. See vial label for concentration. If unlisted please contact technical services.
Product Specifications
Immunogen
This antibody was developed against a recombinant protein corresponding to amino acids: PDNRKLFEAEEQDLFRDIQSLPRNAALRKLNDLIKRARLAKVHAYIISSLKKE
Clonality
Polyclonal
Host
Rabbit
Isotype
IgG
Scientific Data Images for EHD3 Antibody - BSA Free
Immunohistochemistry-Paraffin: EHD3 Antibody [NBP2-31896]
Immunohistochemistry-Paraffin: EHD3 Antibody [NBP2-31896] - Staining of human lymphoid tissues shows moderate positivity in reticular fibers in germinal center cells.Immunohistochemistry-Paraffin: EHD3 Antibody [NBP2-31896]
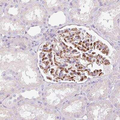
Immunohistochemistry-Paraffin: EHD3 Antibody [NBP2-31896] - Staining of human kidney shows strong cytoplasmic positivity in cells in glomeruli.Immunohistochemistry-Paraffin: EHD3 Antibody [NBP2-31896]
Immunohistochemistry-Paraffin: EHD3 Antibody [NBP2-31896] - Staining of human pancreas shows no positivity in exocrine glandular cells as expected.Applications for EHD3 Antibody - BSA Free
Application
Recommended Usage
Immunohistochemistry
1:500 - 1:1000
Immunohistochemistry-Frozen
Reported in scientific literature (PMID: 31265809)
Immunohistochemistry-Paraffin
1:500 - 1:1000
Application Notes
For IHC-Paraffin, HIER pH 6 retrieval is recommended.
Formulation, Preparation, and Storage
Purification
Affinity purified
Formulation
PBS (pH 7.2) and 40% Glycerol
Format
BSA Free
Preservative
0.02% Sodium Azide
Concentration
Concentrations vary lot to lot. See vial label for concentration. If unlisted please contact technical services.
Shipping
The product is shipped with polar packs. Upon receipt, store it immediately at the temperature recommended below.
Stability & Storage
Store at 4C short term. Aliquot and store at -20C long term. Avoid freeze-thaw cycles.
Background: EHD3
Alternate Names
EH domain containing 3, EH domain-containing protein 3, EHD2, EH-domain containing 3, PAST homolog 3, PAST3
Gene Symbol
EHD3
UniProt
Additional EHD3 Products
Product Documents for EHD3 Antibody - BSA Free
Product Specific Notices for EHD3 Antibody - BSA Free
This product is for research use only and is not approved for use in humans or in clinical diagnosis. Primary Antibodies are guaranteed for 1 year from date of receipt.
Loading...
Loading...
Loading...
Loading...