EFTUD2 Antibody
Novus Biologicals, part of Bio-Techne | Catalog # NB100-40849
Key Product Details
Validated by
Knockout/Knockdown, Orthogonal Validation
Species Reactivity
Validated:
Human, Mouse
Cited:
Human
Applications
Validated:
Immunohistochemistry, Immunohistochemistry-Paraffin, Western Blot, Immunoprecipitation, Knockdown Validated
Cited:
Immunocytochemistry/ Immunofluorescence
Label
Unconjugated
Antibody Source
Polyclonal Rabbit IgG
Concentration
0.2 mg/ml
Product Specifications
Immunogen
The immunogen recognized by this antibody maps to a region between residue 1 and 50 of human Elongation Factor Tu GTP Binding Domain Containing 2 (U5 snRNP-Specific Protein, 116 kD ) using the numbering given in entry NP_004238.2 (GeneID 9343).
Clonality
Polyclonal
Host
Rabbit
Isotype
IgG
Scientific Data Images for EFTUD2 Antibody
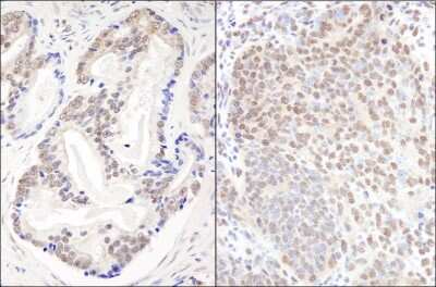
Immunohistochemistry: EFTUD2 Antibody [NB100-40849]
EFTUD2-Antibody-Immunohistochemistry-NB100-40849-img0007.jpgImmunohistochemistry-Paraffin: EFTUD2 Antibody [NB100-40849]
Immunohistochemistry-Paraffin: EFTUD2 Antibody [NB100-40849] - Sample: FFPE section of human prostate carcinoma (left) and mouse teratoma (right). Antibody: Affinity purified rabbit anti-EFTUD2/SNRP116 used at a dilution of 1:200 (1ug/ml). Detection: DABApplications for EFTUD2 Antibody
Application
Recommended Usage
Immunohistochemistry
1:200-1:1000
Immunohistochemistry-Paraffin
1:200-1:1000
Immunoprecipitation
2-5 ug/mg lysate
Western Blot
1:2000-1:10000
Application Notes
Epitope retrieval with citrate buffer pH6.0 is recommended for FFPE tissue sections.
Formulation, Preparation, and Storage
Purification
Immunogen affinity purified
Formulation
TBS and 0.1% BSA
Preservative
0.09% Sodium Azide
Concentration
0.2 mg/ml
Shipping
The product is shipped with polar packs. Upon receipt, store it immediately at the temperature recommended below.
Stability & Storage
Store at 4C. Do not freeze.
Background: EFTUD2
Alternate Names
DKFZp686E24196, elongation factor Tu GTP binding domain containing 2, Elongation factor Tu GTP-binding domain-containing protein 2, FLJ44695, hSNU114, KIAA0031U5-116 kDa, SNRP116, Snrp116,116 kDa U5 small nuclear ribonucleoprotein component, Snu114, SNU114 homolog, U5 snRNP specific protein, 116 kD, U5 snRNP-specific protein, 116 kD, U5 snRNP-specific protein, 116 kDa, U5-116KD
Gene Symbol
EFTUD2
UniProt
Additional EFTUD2 Products
Product Documents for EFTUD2 Antibody
Product Specific Notices for EFTUD2 Antibody
This product is for research use only and is not approved for use in humans or in clinical diagnosis. Primary Antibodies are guaranteed for 1 year from date of receipt.
Loading...
Loading...
Loading...
Loading...