EFTUD2 Antibody (1-D10-A1-R)
Novus Biologicals, part of Bio-Techne | Catalog # NBP3-32295
Recombinant Monoclonal Antibody
Key Product Details
Species Reactivity
Human, Mouse, Rat
Applications
Immunohistochemistry, Immunohistochemistry-Paraffin, Western Blot, Flow Cytometry, Immunocytochemistry/ Immunofluorescence
Label
Unconjugated
Antibody Source
Recombinant Monoclonal Mouse IgG1 Clone # 1-D10-A1-R expressed in HEK293
Concentration
Please see the vial label for concentration. If unlisted please contact technical services.
Product Specifications
Immunogen
Synthetic peptide within mouse EFTUD2 aa 1-50 / 972. (Uniprot: Q15029)
Localization
Nucleus.
Clonality
Monoclonal
Host
Mouse
Isotype
IgG1
Theoretical MW
109 kDa.
Disclaimer note: The observed molecular weight of the protein may vary from the listed predicted molecular weight due to post translational modifications, post translation cleavages, relative charges, and other experimental factors.
Disclaimer note: The observed molecular weight of the protein may vary from the listed predicted molecular weight due to post translational modifications, post translation cleavages, relative charges, and other experimental factors.
Description
Novus Biologicals Mouse EFTUD2 Antibody (1-D10-A1-R) (NBP3-32295) is a recombinant monoclonal antibody validated for use in IHC, WB, Flow and ICC/IF. All Novus Biologicals antibodies are covered by our 100% guarantee.
Scientific Data Images for EFTUD2 Antibody (1-D10-A1-R)
Western Blot: EFTUD2 Antibody (1-D10-A1-R) [NBP3-32295]
Western Blot: EFTUD2 Antibody (1-D10-A1-R) [NBP3-32295] - Western blot analysis of EFTUD2 on different lysates with Mouse anti-EFTUD2 antibody (NBP3-32295) at 1/2,000 dilution.Lane 1: HeLa cell lysate
Lane 2: Jurkat cell lysate
Lane 3: HEK-293 cell lysate
Lane 4: U-87 MG cell lysate
Lane 5: LNCaP cell lysate
Lane 6: HepG2 cell lysate
Lane 7: K-562 cell lysate
Lane 8: C6 cell lysate
Lane 9: PC-12 cell lysate
Lane 10: NIH/3T3 cell lysate
Lane 11: RAW264.7 cell lysate
Lane 12: Mouse testis tissue lysate
Lane 13: Mouse kidney tissue lysate
Lane 14: Rat brain tissue lysate
Lysates/proteins at 20 ug/Lane.
Predicted band size: 109 kDa
Observed band size: 120 kDa
Exposure time: 10 seconds;
4-20% SDS-PAGE gel.
Proteins were transferred to a PVDF membrane and blocked with 5% NFDM/TBST for 1 hour at room temperature. The primary antibody (NBP3-32295) at 1/2,000 dilution was used in 5% NFDM/TBST at 4C overnight. Goat Anti-Mouse IgG - HRP Secondary Antibody at 1/50,000 dilution was used for 1 hour at room temperature.
Immunohistochemistry: EFTUD2 Antibody (1-D10-A1-R) [NBP3-32295]
Immunohistochemistry: EFTUD2 Antibody (1-D10-A1-R) [NBP3-32295] - Immunofluorescence analysis of paraffin-embedded human breast cancer tissue labeling EFTUD2 with Mouse anti-EFTUD2 antibody (NBP3-32295) at 1/500 dilution.The section was pre-treated using heat mediated antigen retrieval with sodium citrate buffer (pH 6.0) for 2 minutes. The tissues were blocked in 10% negative goat serum for 1 hour at room temperature, washed with PBS, and then probed with the primary antibody (NBP3-32295, green) at 1/500 dilution overnight at 4 ℃, washed with PBS. Goat Anti-Mouse IgG H&L (iFluor™ 488) was used as the secondary antibody at 1/1,000 dilution. Nuclei were counterstained with DAPI (blue).
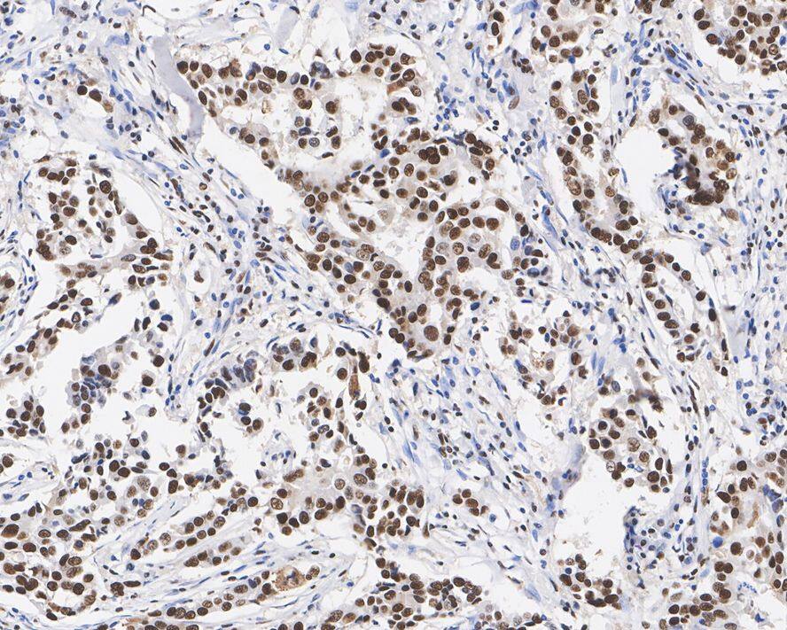
Immunohistochemistry: EFTUD2 Antibody (1-D10-A1-R) [NBP3-32295]
Immunohistochemistry: EFTUD2 Antibody (1-D10-A1-R) [NBP3-32295] - Immunohistochemical analysis of paraffin-embedded human breast cancer tissue with Mouse anti-EFTUD2 antibody (NBP3-32295) at 1/2,000 dilution.The section was pre-treated using heat mediated antigen retrieval with sodium citrate buffer (pH 6.0) for 2 minutes. The tissues were blocked in 1% BSA for 20 minutes at room temperature, washed with ddH2O and PBS, and then probed with the primary antibody (NBP3-32295) at 1/2,000 dilution for 1 hour at room temperature. The detection was performed using an HRP conjugated compact polymer system. DAB was used as the chromogen. Tissues were counterstained with hematoxylin and mounted with DPX.
Applications for EFTUD2 Antibody (1-D10-A1-R)
Application
Recommended Usage
Flow Cytometry
1:1000
Immunocytochemistry/ Immunofluorescence
1:500
Immunohistochemistry-Paraffin
1:500-1:20000
Western Blot
1:2000
Formulation, Preparation, and Storage
Purification
Protein A purified
Formulation
PBS (pH7.4), 0.1% BSA and 40% Glycerol
Preservative
0.05% Sodium Azide
Concentration
Please see the vial label for concentration. If unlisted please contact technical services.
Shipping
The product is shipped with polar packs. Upon receipt, store it immediately at the temperature recommended below.
Stability & Storage
Store at 4C short term. Aliquot and store at -20C long term. Avoid freeze-thaw cycles.
Background: EFTUD2
Alternate Names
DKFZp686E24196, elongation factor Tu GTP binding domain containing 2, Elongation factor Tu GTP-binding domain-containing protein 2, FLJ44695, hSNU114, KIAA0031U5-116 kDa, SNRP116, Snrp116,116 kDa U5 small nuclear ribonucleoprotein component, Snu114, SNU114 homolog, U5 snRNP specific protein, 116 kD, U5 snRNP-specific protein, 116 kD, U5 snRNP-specific protein, 116 kDa, U5-116KD
Gene Symbol
EFTUD2
Additional EFTUD2 Products
Product Documents for EFTUD2 Antibody (1-D10-A1-R)
Product Specific Notices for EFTUD2 Antibody (1-D10-A1-R)
This product is for research use only and is not approved for use in humans or in clinical diagnosis. Primary Antibodies are guaranteed for 1 year from date of receipt.
Loading...
Loading...
Loading...
Loading...
Loading...