Skip to main content

EFHD2 Antibody - BSA Free

Novus Biologicals, part of Bio-Techne | Catalog # NBP1-77135

Novus Biologicals, part of Bio-Techne

Key Product Details

Species Reactivity

Human, Mouse, Rat

Applications

Immunohistochemistry, Immunohistochemistry-Paraffin, Western Blot, ELISA, Immunocytochemistry/ Immunofluorescence

Label

Unconjugated

Antibody Source

Polyclonal Rabbit IgG

Format

BSA Free

Concentration

1 mg/ml

Product Specifications

Immunogen

Antibody was raised against a 16 amino acid synthetic peptide near the amino terminus of human EFHD2. The immunogen is located within the first 50 amino acids of EFHD2. Amino Acid Squence: MEGEGGGETPEQPGLN

Clonality

Polyclonal

Host

Rabbit

Isotype

IgG

Theoretical MW

27 kDa.
Disclaimer note: The observed molecular weight of the protein may vary from the listed predicted molecular weight due to post translational modifications, post translation cleavages, relative charges, and other experimental factors.

Description

Novus Biologicals Rabbit EFHD2 Antibody - BSA Free (NBP1-77135) is a polyclonal antibody validated for use in IHC, WB, ELISA and ICC/IF. All Novus Biologicals antibodies are covered by our 100% guarantee.

Scientific Data Images for EFHD2 Antibody - BSA Free

Western Blot: EFHD2 AntibodyBSA Free [NBP1-77135]

Western Blot: EFHD2 AntibodyBSA Free [NBP1-77135]

Western Blot: EFHD2 Antibody [NBP1-77135] - Analysis of EFHD2 in mouse brain tissue lysate with EFHD2 antibody at (A) 1 and (B) 2 ug/mL.
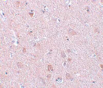
Immunohistochemistry-Paraffin: EFHD2 Antibody - BSA Free [NBP1-77135]

Immunohistochemistry-Paraffin: EFHD2 Antibody - BSA Free [NBP1-77135]

Immunohistochemistry-Paraffin: EFHD2 Antibody [NBP1-77135] - Human brain tissue with EFHD2 antibody at 5 ug/mL.
EFHD2 Antibody - BSA Free

Immunocytochemistry/ Immunofluorescence: EFHD2 Antibody - BSA Free [NBP1-77135] -

Immunocytochemistry/ Immunofluorescence: EFHD2 Antibody - BSA Free [NBP1-77135] - Immunofluorescence of EFHD2 in human brain tissue with EFHD2 antibody at 20 ug/mL.

Applications for EFHD2 Antibody - BSA Free

Application
Recommended Usage

ELISA

1:100-1:2000

Immunocytochemistry/ Immunofluorescence

20 ug/ml

Immunohistochemistry

5 ug/ml

Immunohistochemistry-Paraffin

5 ug/ml

Western Blot

1-2 ug/ml

Reviewed Applications

Read 1 review rated 5 using NBP1-77135 in the following applications:

Formulation, Preparation, and Storage

Purification

Peptide affinity purified

Formulation

PBS

Format

BSA Free

Preservative

0.02% Sodium Azide

Concentration

1 mg/ml

Shipping

The product is shipped with polar packs. Upon receipt, store it immediately at the temperature recommended below.

Stability & Storage

Store at 4C short term. Aliquot and store at -20C long term. Avoid freeze-thaw cycles.

Background: EFHD2

EFHD2, also known as Swiprosin-1 or SWS1, is an EF-hand and coiled-coil-containing adaptor protein that plays a role in lymphocyte physiology. EFHD2 exhibits the highest expression in CD8+ T cells and immature B cells. It provides a membrane scaffold that is required for the Syk-, SLP-65-, and PLCgamma2-dependent B-cell receptor (BCR)-induced calcium flux. EFHD2 may also regulate BCR-induced immature and primary B-cell apoptosis. It controls spontaneous apoptosis through the regulation of BCL2L1 abundance. Also, EFHD2 plays a role as negative regulator of the canonical NF-kappaB-activating branch.

Alternate Names

EF hand domain containing 2, EF hand domain family, member D2, EF-hand domain family, member D2, EF-hand domain-containing protein D2, MGC4342, swiprosin 1, swiprosin-1, SWS1

Entrez Gene IDs

79180 (Human)

Gene Symbol

EFHD2

UniProt

Additional EFHD2 Products

Product Documents for EFHD2 Antibody - BSA Free

Certificate of Analysis

To download a Certificate of Analysis, please enter a lot number in the search box below.

Product Specific Notices for EFHD2 Antibody - BSA Free

This product is for research use only and is not approved for use in humans or in clinical diagnosis. Primary Antibodies are guaranteed for 1 year from date of receipt.

Loading...
Loading...
Loading...
Loading...