Skip to main content

ECHS1 Antibody - BSA Free

Novus Biologicals, part of Bio-Techne | Catalog # NBP2-16264

Novus Biologicals, part of Bio-Techne
Catalog #
Availability
Size / Price
Qty
Loading...
NBP2-16264

Key Product Details

Species Reactivity

Human, Mouse

Applications

Immunohistochemistry, Immunohistochemistry-Paraffin, Western Blot, Immunocytochemistry/ Immunofluorescence, Immunoprecipitation

Label

Unconjugated

Antibody Source

Polyclonal Rabbit IgG

Format

BSA Free

Concentration

Concentrations vary lot to lot. See vial label for concentration. If unlisted please contact technical services.

Product Specifications

Immunogen

Recombinant protein encompassing a sequence within the center region of human ECHS1. The exact sequence is proprietary.

Localization

Mitochondrion matrix

Clonality

Polyclonal

Host

Rabbit

Isotype

IgG

Theoretical MW

31 kDa.
Disclaimer note: The observed molecular weight of the protein may vary from the listed predicted molecular weight due to post translational modifications, post translation cleavages, relative charges, and other experimental factors.

Description

Novus Biologicals Rabbit ECHS1 Antibody - BSA Free (NBP2-16264) is a polyclonal antibody validated for use in IHC, WB, ICC/IF and IP. All Novus Biologicals antibodies are covered by our 100% guarantee.

Scientific Data Images for ECHS1 Antibody - BSA Free

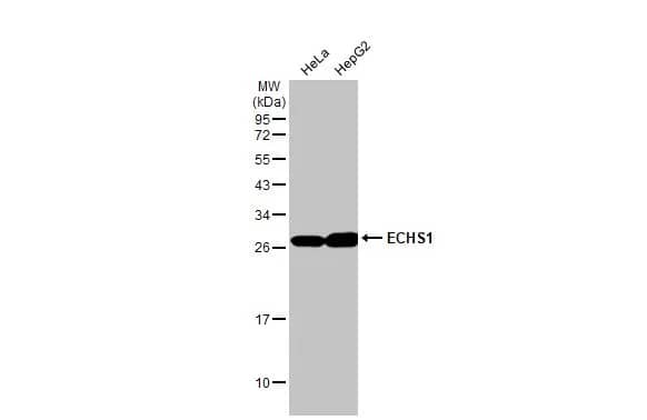
Western Blot: ECHS1 Antibody [NBP2-16264]

Western Blot: ECHS1 Antibody [NBP2-16264]

Western Blot: ECHS1 Antibody [NBP2-16264] - ECHS1 antibody detects ECHS1 protein by Western blot analysis. A. 30 ug NT2D1 whole cell lysate/extract B. 30 ug PC-3 whole cell lysate/extractC. 30 ug U87-MG whole cell lysate/extractD. 30 ug SK-N-SH whole cell lysate/extract12 % SDS-PAGEECHS1 antibody d
Immunocytochemistry/ Immunofluorescence: ECHS1 Antibody [NBP2-16264]

Immunocytochemistry/ Immunofluorescence: ECHS1 Antibody [NBP2-16264]

Immunocytochemistry/Immunofluorescence: ECHS1 Antibody [NBP2-16264] - ECHS1 antibody detects ECHS1 protein at mitochondria by immunofluorescent analysis. Sample: HeLa cells were fixed in ice-cold MeOH for 5 min. Green: ECHS1 protein stained by ECHS1 antibody diluted at 1:500. Blue: Hoechst 33342 staining. Scale bar = 10 um.
Immunohistochemistry-Paraffin: ECHS1 Antibody [NBP2-16264]

Immunohistochemistry-Paraffin: ECHS1 Antibody [NBP2-16264]

Immunohistochemistry-Paraffin: ECHS1 Antibody [NBP2-16264] - ECHS1 antibody detects ECHS1 protein at mitochondria on mouse liver by immunohistochemical analysis. Sample: Paraffin-embedded mouse liver. ECHS1 antibody dilution: 1:500.

Applications for ECHS1 Antibody - BSA Free

Application
Recommended Usage

Immunocytochemistry/ Immunofluorescence

1:100-1:1000

Immunohistochemistry

10 - 1:500

Immunohistochemistry-Paraffin

1:100-1:1000

Immunoprecipitation

1:100-1:500

Western Blot

1:500-1:3000

Formulation, Preparation, and Storage

Purification

Antigen Affinity-purified

Formulation

0.1M Tris, 0.1M Glycine, 20% Glycerol

Format

BSA Free

Preservative

0.01% Thimerosal

Concentration

Concentrations vary lot to lot. See vial label for concentration. If unlisted please contact technical services.

Shipping

The product is shipped with polar packs. Upon receipt, store it immediately at the temperature recommended below.

Stability & Storage

Aliquot and store at -20C or -80C. Avoid freeze-thaw cycles.

Background: ECHS1

The protein encoded by this gene functions in the second step of the mitochondrial fatty acid beta-oxidation pathway. It catalyzes the hydration of 2-trans-enoyl-coenzyme A (CoA) intermediates to L-3-hydroxyacyl-CoAs. The gene product is a member of the hydratase/isomerase superfamily. It localizes to the mitochondrial matrix. Transcript variants utilizing alternative transcription initiation sites have been described in the literature. [provided by RefSeq]

Alternate Names

EC 4.2.1, enoyl CoA hydratase, short chain, 1, mitochondrial, enoyl Coenzyme A hydratase, short chain, 1, mitochondrial, Enoyl-CoA hydratase 1, enoyl-CoA hydratase, mitochondrial, SCEHEC 4.2.1.17, Short-chain enoyl-CoA hydratase

Gene Symbol

ECHS1

UniProt

Additional ECHS1 Products

Product Documents for ECHS1 Antibody - BSA Free

Certificate of Analysis

To download a Certificate of Analysis, please enter a lot number in the search box below.

Product Specific Notices for ECHS1 Antibody - BSA Free

This product is for research use only and is not approved for use in humans or in clinical diagnosis. Primary Antibodies are guaranteed for 1 year from date of receipt.

Loading...
Loading...
Loading...
Loading...

⚠ WARNING: This product can expose you to chemicals including mercury, which is known to the State of California to cause reproductive toxicity with developmental effects.  For more information go to www.P65Warnings.ca.gov.