Skip to main content

EB2 Antibody - BSA Free

Novus Biologicals, part of Bio-Techne | Catalog # NBP2-98106

Novus Biologicals, part of Bio-Techne

Key Product Details

Species Reactivity

Human

Applications

Immunohistochemistry-Paraffin

Label

Unconjugated

Antibody Source

Polyclonal Rabbit IgG

Format

BSA Free

Concentration

Please see the vial label for concentration. If unlisted please contact technical services.

Product Specifications

Immunogen

Produced in rabbits immunized with E. coli-derived Human EB2 fragment.

Clonality

Polyclonal

Host

Rabbit

Isotype

IgG

Description

This antibody can be stored at 2C to 8C for one month without detectable loss of activity. Antibody products are stable for twelve months from date of receipt when stored at -20C to -80C. Avoid repeated freeze-thaw cycles.

Scientific Data Images for EB2 Antibody - BSA Free

Immunohistochemistry-Paraffin: EB2 Antibody [NBP2-98106]

Immunohistochemistry-Paraffin: EB2 Antibody [NBP2-98106]

Immunohistochemistry-Paraffin: EB2 Antibody [NBP2-98106] - Immunochemical staining of human EB2 in human brain with rabbit polyclonal antibody at 1:100 dilution, formalin-fixed paraffin embedded sections.
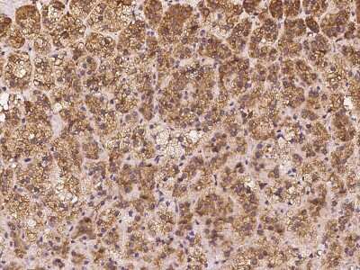
Immunohistochemistry-Paraffin: EB2 Antibody [NBP2-98106]

Immunohistochemistry-Paraffin: EB2 Antibody [NBP2-98106]

Immunohistochemistry-Paraffin: EB2 Antibody [NBP2-98106] - Immunochemical staining of human EB2 in human adrenal gland with rabbit polyclonal antibody at 1:100 dilution, formalin-fixed paraffin embedded sections.

Applications for EB2 Antibody - BSA Free

Application
Recommended Usage

Immunohistochemistry-Paraffin

1:50-1:200

Formulation, Preparation, and Storage

Purification

Antigen and protein A Affinity-purified

Formulation

PBS

Format

BSA Free

Preservative

0.03% Proclin 300

Concentration

Please see the vial label for concentration. If unlisted please contact technical services.

Shipping

The product is shipped with polar packs. Upon receipt, store it immediately at the temperature recommended below.

Stability & Storage

Store at 4C short term. Aliquot and store at -20C long term. Avoid freeze-thaw cycles.

Background: EB2

EB2 is encoded by this gene shares significant homology to the adenomatous polyposis coli (APC) protein-binding EB1 gene family. The function of this protein is unknown; however, its homology suggests involvement in tumorigenesis of colorectal cancers and proliferative control of normal cells. This gene may belong to the intermediate/early gene family, involved in the signal transduction cascade downstream of the TCR.

Alternate Names

APC-binding protein EB2, EB1, EB2APC-binding protein EB1, End-binding protein 2, microtubule-associated protein, RP/EB family, member 2, RP1microtubule-associated protein RP/EB family member 2, T-cell activation protein, EB1 family

Gene Symbol

MAPRE2

Additional EB2 Products

Product Documents for EB2 Antibody - BSA Free

Certificate of Analysis

To download a Certificate of Analysis, please enter a lot number in the search box below.

Product Specific Notices for EB2 Antibody - BSA Free

This product is for research use only and is not approved for use in humans or in clinical diagnosis. Primary Antibodies are guaranteed for 1 year from date of receipt.

Loading...
Loading...
Loading...
Loading...