Skip to main content

EB2 Antibody (OTI1F3) - Azide and BSA Free

Novus Biologicals, part of Bio-Techne | Catalog # NBP2-71650

Novus Biologicals, part of Bio-Techne
Catalog #
Availability
Size / Price
Qty
Loading...
NBP2-71650

Key Product Details

Species Reactivity

Human

Applications

Immunohistochemistry, Immunohistochemistry-Paraffin, Western Blot, Flow Cytometry, Immunocytochemistry/ Immunofluorescence, CyTOF-ready

Label

Unconjugated

Antibody Source

Monoclonal Mouse IgG2A Clone # OTI1F3

Format

Azide and BSA Free

Concentration

LYOPH mg/ml

Product Specifications

Immunogen

Full length human recombinant protein of human MAPRE2 (NP_055083) produced in HEK293T cell.

Clonality

Monoclonal

Host

Mouse

Isotype

IgG2A

Theoretical MW

36.9 kDa.
Disclaimer note: The observed molecular weight of the protein may vary from the listed predicted molecular weight due to post translational modifications, post translation cleavages, relative charges, and other experimental factors.

Description

Novus Biologicals Mouse EB2 Antibody (OTI1F3) - Azide and BSA Free (NBP2-00714) is a monoclonal antibody validated for use in IHC, WB, Flow and ICC/IF. All Novus Biologicals antibodies are covered by our 100% guarantee.

Scientific Data Images for EB2 Antibody (OTI1F3) - Azide and BSA Free

Western Blot: EB2 Antibody (OTI1F3)Azide and BSA Free [NBP2-71650]

Western Blot: EB2 Antibody (OTI1F3)Azide and BSA Free [NBP2-71650]

Western Blot: EB2 Antibody (OTI1F3) - Azide and BSA Free [NBP2-71650] - HEK293T cells were transfected with the pCMV6-ENTRY control (Left lane) or pCMV6-ENTRY EB2 (Right lane) cDNA for 48 hrs and lysed. Equivalent amounts of cell lysates (5 ug per lane) were separated by SDS-PAGE and immunoblotted with anti-EB2.
Immunocytochemistry/ Immunofluorescence: EB2 Antibody (OTI1F3) - Azide and BSA Free [NBP2-71650]

Immunocytochemistry/ Immunofluorescence: EB2 Antibody (OTI1F3) - Azide and BSA Free [NBP2-71650]

Immunocytochemistry/Immunofluorescence: EB2 Antibody (OTI1F3) - Azide and BSA Free [NBP2-71650] - Staining of COS7 cells transiently transfected by pCMV6-ENTRY EB2.
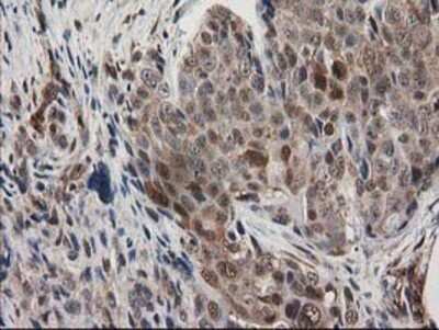
Immunohistochemistry: EB2 Antibody (OTI1F3) - Azide and BSA Free [NBP2-71650]

Immunohistochemistry: EB2 Antibody (OTI1F3) - Azide and BSA Free [NBP2-71650]

Immunohistochemistry: EB2 Antibody (OTI1F3) - Azide and BSA Free [NBP2-71650] - Staining of paraffin-embedded Carcinoma of Human pancreas tissue using anti-EB2 mouse monoclonal antibody.

Applications for EB2 Antibody (OTI1F3) - Azide and BSA Free

Application
Recommended Usage

Flow Cytometry

1:100

Immunocytochemistry/ Immunofluorescence

1:100

Immunohistochemistry

1:150

Western Blot

1:2000

Formulation, Preparation, and Storage

Purification

Immunogen affinity purified

Reconstitution

we recommend adding 100uL distilled water to a final antibody concentration of about 1 mg/mL. To use this carrier-free antibody for conjugation experiment, we strongly recommend performing another round of desalting process.

Formulation

Lyophilized from PBS (pH 7.3) with 8% Trehalose

Format

Azide and BSA Free

Preservative

No Preservative

Concentration

LYOPH mg/ml

Shipping

The product is shipped with polar packs. Upon receipt, store it immediately at the temperature recommended below.

Stability & Storage

Store at -20C. Avoid freeze-thaw cycles.

Background: EB2

EB2 is encoded by this gene shares significant homology to the adenomatous polyposis coli (APC) protein-binding EB1 gene family. The function of this protein is unknown; however, its homology suggests involvement in tumorigenesis of colorectal cancers and proliferative control of normal cells. This gene may belong to the intermediate/early gene family, involved in the signal transduction cascade downstream of the TCR.

Alternate Names

APC-binding protein EB2, EB1, EB2APC-binding protein EB1, End-binding protein 2, microtubule-associated protein, RP/EB family, member 2, RP1microtubule-associated protein RP/EB family member 2, T-cell activation protein, EB1 family

Gene Symbol

MAPRE2

Additional EB2 Products

Product Documents for EB2 Antibody (OTI1F3) - Azide and BSA Free

Certificate of Analysis

To download a Certificate of Analysis, please enter a lot number in the search box below.

Product Specific Notices for EB2 Antibody (OTI1F3) - Azide and BSA Free

This product is for research use only and is not approved for use in humans or in clinical diagnosis. Primary Antibodies are guaranteed for 1 year from date of receipt.

Loading...
Loading...
Loading...
Loading...
Loading...
Loading...