Dynein light chain 4 Antibody - BSA Free
Novus Biologicals, part of Bio-Techne | Catalog # NBP1-84227
Key Product Details
Species Reactivity
Validated:
Human, Rat
Predicted:
Mouse (99%). Backed by our 100% Guarantee.
Applications
Immunohistochemistry, Immunohistochemistry-Paraffin, Western Blot, Immunocytochemistry/ Immunofluorescence
Label
Unconjugated
Antibody Source
Polyclonal Rabbit IgG
Format
BSA Free
Concentration
Concentrations vary lot to lot. See vial label for concentration. If unlisted please contact technical services.
Product Specifications
Immunogen
This antibody was developed against Recombinant Protein corresponding to amino acids: MGETEGKKDEADYKRLQTFPLVRHSDMPEEMRVETMELCVTACEKFSNNNESAAKMIKETMDKKFGSSWHVVIGEGFGFEITHEVKNLLYLYFGGTLAVCVWKCS
Marker
Centrosome Marker
Clonality
Polyclonal
Host
Rabbit
Isotype
IgG
Scientific Data Images for Dynein light chain 4 Antibody - BSA Free
Western Blot: Dynein light chain 4 Antibody [NBP1-84227]
Western Blot: Dynein light chain 4 Antibody [NBP1-84227] - Lane 1: Marker [kDa] 230, 110, 82, 49, 32, 26, 18. Lane 2: Human cell line RT-4. Lane 3: Human cell line U-251MG spImmunocytochemistry/ Immunofluorescence: Dynein light chain 4 Antibody [NBP1-84227]
Immunocytochemistry/Immunofluorescence: Dynein light chain 4 Antibody [NBP1-84227] - Immunofluorescent staining of human cell line U-251 MG shows localization to centrosome.Immunohistochemistry-Paraffin: Dynein light chain 4 Antibody [NBP1-84227]
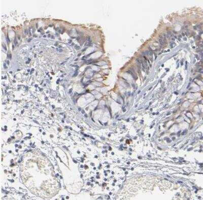
Immunohistochemistry-Paraffin: Dynein light chain 4 Antibody [NBP1-84227] - Staining of human bronchus shows moderate positivity in cilia of respiratory epithelial cells.Applications for Dynein light chain 4 Antibody - BSA Free
Application
Recommended Usage
Immunocytochemistry/ Immunofluorescence
0.25-2 ug/ml
Immunohistochemistry
1:200 - 1:500
Immunohistochemistry-Paraffin
1:200 - 1:500
Western Blot
0.04-0.4 ug/ml
Application Notes
For IHC-Paraffin, HIER pH 6 retrieval is recommended. Immunocytochemistry/Immunofluorescence Fixation Permeabilization: Use PFA/Triton X-100.
Formulation, Preparation, and Storage
Purification
Affinity purified
Formulation
PBS (pH 7.2) and 40% Glycerol
Format
BSA Free
Preservative
0.02% Sodium Azide
Concentration
Concentrations vary lot to lot. See vial label for concentration. If unlisted please contact technical services.
Shipping
The product is shipped with polar packs. Upon receipt, store it immediately at the temperature recommended below.
Stability & Storage
Store at 4C short term. Aliquot and store at -20C long term. Avoid freeze-thaw cycles.
Background: Dynein light chain 4
Alternate Names
dJ327J16, dynein light chain 4, axonemal, dynein light chain, outer arm 4, dynein, axonemal, light 4, dynein, axonemal, light chain 4, dynein, axonemal, light polypeptide 4, PIG27, proliferation-inducing gene 27, proliferation-inducing protein 27
Gene Symbol
DNAL4
Additional Dynein light chain 4 Products
Product Documents for Dynein light chain 4 Antibody - BSA Free
Product Specific Notices for Dynein light chain 4 Antibody - BSA Free
This product is for research use only and is not approved for use in humans or in clinical diagnosis. Primary Antibodies are guaranteed for 1 year from date of receipt.
Loading...
Loading...
Loading...
Loading...