Skip to main content

dynactin 4 Antibody - BSA Free

Novus Biologicals, part of Bio-Techne | Catalog # NBP2-38378

Novus Biologicals, part of Bio-Techne
Catalog #
Availability
Size / Price
Qty
Loading...
NBP2-38378
NBP2-38378-25ul

Key Product Details

Species Reactivity

Validated:

Human

Predicted:

Mouse (96%), Rat (96%). Backed by our 100% Guarantee.

Applications

Immunohistochemistry, Immunohistochemistry-Paraffin, Western Blot

Label

Unconjugated

Antibody Source

Polyclonal Rabbit IgG

Format

BSA Free

Concentration

Concentrations vary lot to lot. See vial label for concentration. If unlisted please contact technical services.

Product Specifications

Immunogen

This antibody was developed against a recombinant protein corresponding to amino acids: INSTAKVVVPPKELVLAGKDAAAEYDELAEPQDFQDDPDIIAFRKANKVGIFIKVTPQREEGEVTVCFKMKHDFKNLAAPIRPIEESDQGTE

Clonality

Polyclonal

Host

Rabbit

Isotype

IgG

Description

Novus Biologicals Rabbit dynactin 4 Antibody - BSA Free (NBP2-38378) is a polyclonal antibody validated for use in IHC and WB. All Novus Biologicals antibodies are covered by our 100% guarantee.

Scientific Data Images for dynactin 4 Antibody - BSA Free

Western Blot: dynactin 4 Antibody [NBP2-38378]

Western Blot: dynactin 4 Antibody [NBP2-38378]

Western Blot: dynactin 4 Antibody [NBP2-38378] - Lane 1: Marker [kDa] 250, 130, 95, 72, 55, 36, 28, 17, 10. Lane 2: Human cell line RT-4
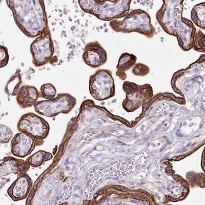
Immunohistochemistry-Paraffin: dynactin 4 Antibody [NBP2-38378]

Immunohistochemistry-Paraffin: dynactin 4 Antibody [NBP2-38378]

Immunohistochemistry-Paraffin: dynactin 4 Antibody [NBP2-38378] - Staining of human placenta shows cytoplasmic and membranous positivity in trophoblastic cells.

Applications for dynactin 4 Antibody - BSA Free

Application
Recommended Usage

Immunohistochemistry

1:500 - 1:1000

Immunohistochemistry-Paraffin

1:500 - 1:1000

Western Blot

0.04-0.4 ug/ml
Application Notes
For IHC-Paraffin, HIER pH 6 retrieval is recommended.

Formulation, Preparation, and Storage

Purification

Affinity purified

Formulation

PBS (pH 7.2) and 40% Glycerol

Format

BSA Free

Preservative

0.02% Sodium Azide

Concentration

Concentrations vary lot to lot. See vial label for concentration. If unlisted please contact technical services.

Shipping

The product is shipped with polar packs. Upon receipt, store it immediately at the temperature recommended below.

Stability & Storage

Store at 4C short term. Aliquot and store at -20C long term. Avoid freeze-thaw cycles.

Background: dynactin 4

Could have a dual role in dynein targeting and in ACTR1A/Arp1 subunit of dynactin pointed-end capping. Could be involved in ACTR1A pointed-end binding and in additional roles in linking dynein and dynactin to the cortical cytoskeleton

Alternate Names

dynactin 4 (p62), dynactin p62 subunit, dynactin subunit 4, Dynactin subunit p62

Gene Symbol

DCTN4

UniProt

Additional dynactin 4 Products

Product Documents for dynactin 4 Antibody - BSA Free

Certificate of Analysis

To download a Certificate of Analysis, please enter a lot number in the search box below.

Product Specific Notices for dynactin 4 Antibody - BSA Free

This product is for research use only and is not approved for use in humans or in clinical diagnosis. Primary Antibodies are guaranteed for 1 year from date of receipt.

Loading...
Loading...
Loading...
Loading...