DTYMK Antibody - BSA Free
Novus Biologicals, part of Bio-Techne | Catalog # NBP3-38254
Key Product Details
Species Reactivity
Human, Mouse, Rat
Applications
Western Blot, ELISA, Immunocytochemistry/ Immunofluorescence
Label
Unconjugated
Antibody Source
Polyclonal Rabbit IgG
Format
BSA Free
Concentration
Please see the vial label for concentration. If unlisted please contact technical services.
Product Specifications
Immunogen
Recombinant fusion protein containing a sequence corresponding to amino acids 1-212 of human DTYMK (NP_036277.2).
Sequence:
MAARRGALIVLEGVDRAGKSTQSRKLVEALCAAGHRAELLRFPERSTEIGKLLSSYLQKKSDVEDHSVHLLFSANRWEQVPLIKEKLSQGVTLVVDRYAFSGVAFTGAKENFSLDWCKQPDVGLPKPDLVLFLQLQLADAAKRGAFGHERYENGAFQERALRCFHQLMKDTTLNWKMVDASKSIEAVHEDIRVLSEDAIRTATEKPLGELWK
Sequence:
MAARRGALIVLEGVDRAGKSTQSRKLVEALCAAGHRAELLRFPERSTEIGKLLSSYLQKKSDVEDHSVHLLFSANRWEQVPLIKEKLSQGVTLVVDRYAFSGVAFTGAKENFSLDWCKQPDVGLPKPDLVLFLQLQLADAAKRGAFGHERYENGAFQERALRCFHQLMKDTTLNWKMVDASKSIEAVHEDIRVLSEDAIRTATEKPLGELWK
Clonality
Polyclonal
Host
Rabbit
Isotype
IgG
Theoretical MW
24 kDa.
Disclaimer note: The observed molecular weight of the protein may vary from the listed predicted molecular weight due to post translational modifications, post translation cleavages, relative charges, and other experimental factors.
Disclaimer note: The observed molecular weight of the protein may vary from the listed predicted molecular weight due to post translational modifications, post translation cleavages, relative charges, and other experimental factors.
Description
Novus Biologicals Rabbit DTYMK Antibody - BSA Free (NBP3-38254) is a polyclonal antibody validated for use in WB, ELISA and ICC/IF. All Novus Biologicals antibodies are covered by our 100% guarantee.
Scientific Data Images for DTYMK Antibody - BSA Free
Immunocytochemistry/ Immunofluorescence: DTYMK Antibody [NBP3-38254] -
Immunocytochemistry/ Immunofluorescence: DTYMK Antibody [NBP3-38254] - Immunofluorescence analysis of U-2 OS cells using DTYMK Rabbit pAb at dilution of 1:100 (40x lens). Secondary antibody: Cy3-conjugated Goat anti-Rabbit IgG (H+L) at 1:500 dilution. Blue: DAPI for nuclear staining.Immunocytochemistry/ Immunofluorescence: DTYMK Antibody [NBP3-38254] -
Immunocytochemistry/ Immunofluorescence: DTYMK Antibody [NBP3-38254] - Immunofluorescence analysis of L929 cells using DTYMK Rabbit pAb at dilution of 1:100 (40x lens). Secondary antibody: Cy3-conjugated Goat anti-Rabbit IgG (H+L) at 1:500 dilution. Blue: DAPI for nuclear staining.Western Blot: DTYMK Antibody [NBP3-38254] -
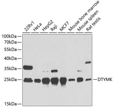
Western Blot: DTYMK Antibody [NBP3-38254] - Western blot analysis of various lysates using DTYMK Rabbit pAb at 1:1000 dilution.Secondary antibody: HRP-conjugated Goat anti-Rabbit IgG (H+L) at 1:10000 dilution.
Lysates/proteins: 25ug per lane.
Blocking buffer: 3% nonfat dry milk in TBST.
Detection: ECL Basic Kit.
Exposure time: 30s.
Applications for DTYMK Antibody - BSA Free
Application
Recommended Usage
Immunocytochemistry/ Immunofluorescence
1:50 - 1:200
Western Blot
1:500 - 1:2000
Formulation, Preparation, and Storage
Purification
Affinity purified
Formulation
PBS (pH 7.3), 50% glycerol
Format
BSA Free
Preservative
0.02% Sodium Azide
Concentration
Please see the vial label for concentration. If unlisted please contact technical services.
Shipping
The product is shipped with polar packs. Upon receipt, store it immediately at the temperature recommended below.
Stability & Storage
Store at -20C. Avoid freeze-thaw cycles.
Background: DTYMK
Long Name
Thymidylate kinase
Alternate Names
CDC8, dTMP kinase, EC 2.7.4.9, TMPK, TYMK
Gene Symbol
DTYMK
Additional DTYMK Products
Product Documents for DTYMK Antibody - BSA Free
Product Specific Notices for DTYMK Antibody - BSA Free
This product is for research use only and is not approved for use in humans or in clinical diagnosis. Primary Antibodies are guaranteed for 1 year from date of receipt.
Loading...
Loading...
Loading...
Loading...