Skip to main content

dsDNA Antibody (rDSD/4565) - Azide and BSA Free

Novus Biologicals, part of Bio-Techne | Catalog # NBP3-08466

Recombinant Monoclonal Antibody
Novus Biologicals, part of Bio-Techne

Key Product Details

Species Reactivity

Human

Applications

Immunohistochemistry-Paraffin, ELISA, Immunocytochemistry/ Immunofluorescence

Label

Unconjugated

Antibody Source

Monoclonal Mouse IgG2a Kappa Clone # rDSD/4565

Format

Azide and BSA Free

Concentration

1 mg/ml

Product Specifications

Immunogen

Nuclei of Burkitt's cells

Localization

Nuclear

Specificity

This monoclonal antibody is part of a new panel of reagents, which recognizes subcellular organelles or compartments of human cells. These markers may be useful in identification of these organelles in cells, tissues, and biochemical preparations. This monoclonal antibody recognizes the double stranded DNA in human cells. It can be used to stain the nuclei in cell or tissue preparations and can be used as a nuclear marker in human cells. This monoclonal antibody produces a homogeneous staining pattern in the nucleus of normal and malignant cells. Double Stranded deoxyribonucleic acid (ds DNA) is the genetic material of all cells and many viruses and is a polymer of nucleotides. The monomer consists of phosphorylated 2-deoxyribose N-glycosidically linked to one of four bases, adenine, cytosine, guanine or thymine. These are linked together by 3-phosphodiester bridges. In the Watson-Crick double-helix model, two complementary strands are wound in a right-handed helix and held together by hydrogen bonds between complementary base pairs.

Marker

Nuclear Marker

Clonality

Monoclonal

Host

Mouse

Isotype

IgG2a Kappa

Description

1.0 mg/ml of antibody purified from Bioreactor Concentrate. Prepared in 10mM PBS WITHOUT BSA & azide. Also available at 200 ug/ml WITH BSA & azide (NBP3-07670).

Antibody with azide - store at 2 to 8C. Antibody without azide - store at -20 to -80 C.

Scientific Data Images for dsDNA Antibody (rDSD/4565) - Azide and BSA Free

Immunocytochemistry/ Immunofluorescence: dsDNA Antibody (rDSD/4565) - Azide and BSA Free [NBP3-08466]

Immunocytochemistry/ Immunofluorescence: dsDNA Antibody (rDSD/4565) - Azide and BSA Free [NBP3-08466]

Immunocytochemistry/Immunofluorescence: dsDNA Antibody (rDSD/4565) - Azide and BSA Free [NBP3-08466] - Immunofluorescent staining of PFA-fixed MCF-7 cells with dsDNA Recombinant Mouse Monoclonal Antibody (rDSD/4565) followed by goat anti-rabbit IgG-CF488 (green); phalloidin counterstain (red).
Immunohistochemistry-Paraffin: dsDNA Antibody (rDSD/4565) - Azide and BSA Free [NBP3-08466]

Immunohistochemistry-Paraffin: dsDNA Antibody (rDSD/4565) - Azide and BSA Free [NBP3-08466]

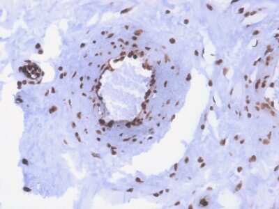
Immunohistochemistry-Paraffin: dsDNA Antibody (rDSD/4565) - Azide and BSA Free [NBP3-08466] - Formalin-fixed, paraffin-embedded human lymph node stained with dsDNA Recombinant Mouse Monoclonal Antibody (rDSD/4565).
Immunohistochemistry-Paraffin: dsDNA Antibody (rDSD/4565) - Azide and BSA Free [NBP3-08466]

Immunohistochemistry-Paraffin: dsDNA Antibody (rDSD/4565) - Azide and BSA Free [NBP3-08466]

Immunohistochemistry-Paraffin: dsDNA Antibody (rDSD/4565) - Azide and BSA Free [NBP3-08466] - Formalin-fixed, paraffin-embedded human colon stained with dsDNA Recombinant Mouse Monoclonal Antibody (rDSD/4565).

Applications for dsDNA Antibody (rDSD/4565) - Azide and BSA Free

Application
Recommended Usage

Immunohistochemistry-Paraffin

1-2 ug/ml
Application Notes
Immunohistochemistry Formalin-fixed: 1-2ug/ml for 30 minutes at RT. Staining of formalin-fixed tissues requires heating tissue sections in 10mM Tris with 1mM EDTA, pH 9.0, for 45 min at 95C followed by cooling at RT for 20 minutes. Optimal dilution for a specific application should be determined.

Formulation, Preparation, and Storage

Purification

Protein A purified

Formulation

10 mM PBS

Format

Azide and BSA Free

Preservative

No Preservative

Concentration

1 mg/ml

Shipping

The product is shipped with polar packs. Upon receipt, store it immediately at the temperature recommended below.

Stability & Storage

Store at -20 to -80C. Avoid freeze-thaw cycles.

Background: dsDNA

Alternate Names

Double stranded DNA

Additional dsDNA Products

Product Documents for dsDNA Antibody (rDSD/4565) - Azide and BSA Free

Certificate of Analysis

To download a Certificate of Analysis, please enter a lot number in the search box below.

Product Specific Notices for dsDNA Antibody (rDSD/4565) - Azide and BSA Free

This product is for research use only and is not approved for use in humans or in clinical diagnosis. Primary Antibodies are guaranteed for 1 year from date of receipt.

Loading...
Loading...
Loading...
Loading...