DRIL1 Antibody - BSA Free
Novus Biologicals, part of Bio-Techne | Catalog # NBP3-38452
Key Product Details
Species Reactivity
Human, Mouse, Rat
Applications
ELISA, Immunohistochemistry, Immunohistochemistry-Paraffin, Immunoprecipitation, Western Blot
Label
Unconjugated
Antibody Source
Polyclonal Rabbit IgG
Format
BSA Free
Concentration
Please see the vial label for concentration. If unlisted please contact technical services.
Product Specifications
Immunogen
Recombinant fusion protein containing a sequence corresponding to amino acids 324-593 of human DRIL1 (NP_005215.1).
Sequence:
PYECEKRGLSNPNELQAAIDSNRREGRRQSFGGSLFAYSPGGAHGMLSSPKLPVSSLGLAASTNGSSITPAPKIKKEEDSAIPITVPGRLPVSLAGHPVVAAQAAAVQAAAAQAAVAAQAAALEQLREKLESAEPPEKKMALVADEQQRLMQRALQQNFLAMAAQLPMSIRINSQASESRQDSAVNLTGTNGSNSISMSVEINGIMYTGVLFAQPPAPTPTSAPNKGGGGGGGSSSNAGGRGGNTGTSGGQAGPAGLSTPSTSTSNNSLP
Sequence:
PYECEKRGLSNPNELQAAIDSNRREGRRQSFGGSLFAYSPGGAHGMLSSPKLPVSSLGLAASTNGSSITPAPKIKKEEDSAIPITVPGRLPVSLAGHPVVAAQAAAVQAAAAQAAVAAQAAALEQLREKLESAEPPEKKMALVADEQQRLMQRALQQNFLAMAAQLPMSIRINSQASESRQDSAVNLTGTNGSNSISMSVEINGIMYTGVLFAQPPAPTPTSAPNKGGGGGGGSSSNAGGRGGNTGTSGGQAGPAGLSTPSTSTSNNSLP
Clonality
Polyclonal
Host
Rabbit
Isotype
IgG
Theoretical MW
63 kDa.
Disclaimer note: The observed molecular weight of the protein may vary from the listed predicted molecular weight due to post translational modifications, post translation cleavages, relative charges, and other experimental factors.
Disclaimer note: The observed molecular weight of the protein may vary from the listed predicted molecular weight due to post translational modifications, post translation cleavages, relative charges, and other experimental factors.
Description
Novus Biologicals Rabbit DRIL1 Antibody - BSA Free (NBP3-38452) is a polyclonal antibody validated for use in IHC, WB, ELISA and IP. All Novus Biologicals antibodies are covered by our 100% guarantee.
Scientific Data Images for DRIL1 Antibody - BSA Free
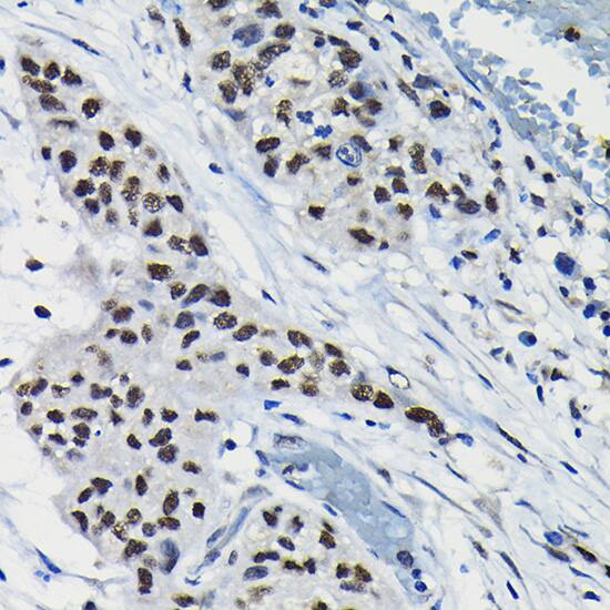
Immunohistochemistry: DRIL1 Antibody [NBP3-38452] -
Immunohistochemistry: DRIL1 Antibody [NBP3-38452] - Immunohistochemistry analysis of paraffin-embedded Rat lung using DRIL1 Rabbit pAb at dilution of 1:100 (40x lens). High pressure antigen retrieval performed with 0.01M Citrate Bufferr (pH 6.0) prior to IHC staining.Immunoprecipitation: DRIL1 Antibody [NBP3-38452] -
Immunoprecipitation: DRIL1 Antibody [NBP3-38452] - Immunoprecipitation analysis of 150 ug extracts of MCF7 cells using 3 ug DRIL1 antibody. Western blot was performed from the immunoprecipitate using DRIL1 antibody at a dilution of 1:500.Immunohistochemistry: DRIL1 Antibody [NBP3-38452] -
Immunohistochemistry: DRIL1 Antibody [NBP3-38452] - Immunohistochemistry analysis of paraffin-embedded Human lung cancer using DRIL1 Rabbit pAb at dilution of 1:100 (40x lens). High pressure antigen retrieval performed with 0.01M Citrate Bufferr (pH 6.0) prior to IHC staining.Applications for DRIL1 Antibody - BSA Free
Application
Recommended Usage
Immunohistochemistry-Paraffin
1:50 - 1:200
Immunoprecipitation
0.5ug - 4ug antibody for 200ug - 400ug extracts of whole cells
Western Blot
1:500 - 1:2000
Formulation, Preparation, and Storage
Purification
Affinity purified
Formulation
PBS (pH 7.3), 50% glycerol
Format
BSA Free
Preservative
0.02% Sodium Azide
Concentration
Please see the vial label for concentration. If unlisted please contact technical services.
Shipping
The product is shipped with polar packs. Upon receipt, store it immediately at the temperature recommended below.
Stability & Storage
Store at -20C. Avoid freeze-thaw cycles.
Background: DRIL1
Alternate Names
ARID domain-containing 3A, ARID domain-containing protein 3A, AT rich interactive domain 3A (BRIGHT- like), AT rich interactive domain 3A (BRIGHT- like) protein, AT rich interactive domain 3A (BRIGHT-like), AT-rich interactive domain-containing protein 3A, B-cell regulator of IgH transcription, BRIGHT, dead ringer-like 1, Dead ringer-like protein 1, DRIL1dead ringer-like 1 (Drosophila), DRIL3, DRX, E2F-binding protein 1, E2FBP1
Gene Symbol
ARID3A
Additional DRIL1 Products
Product Documents for DRIL1 Antibody - BSA Free
Product Specific Notices for DRIL1 Antibody - BSA Free
This product is for research use only and is not approved for use in humans or in clinical diagnosis. Primary Antibodies are guaranteed for 1 year from date of receipt.
Loading...
Loading...
Loading...
Loading...