DRG2 Antibody - BSA Free
Novus Biologicals, part of Bio-Techne | Catalog # NBP3-46633
Key Product Details
Species Reactivity
Human, Mouse, Rat
Applications
ELISA, Immunocytochemistry/ Immunofluorescence, Immunohistochemistry, Immunoprecipitation, Western Blot
Label
Unconjugated
Antibody Source
Polyclonal Rabbit IgG
Format
BSA Free
Concentration
Please see the vial label for concentration. If unlisted please contact technical services.
Product Specifications
Immunogen
developmentally regulated GTP binding protein 2. (Uniprot# P55039)
Clonality
Polyclonal
Host
Rabbit
Isotype
IgG
Description
Novus Biologicals Rabbit DRG2 Antibody - BSA Free (NBP3-46633) is a polyclonal antibody validated for use in IHC, WB, ELISA, ICC/IF and IP. All Novus Biologicals antibodies are covered by our 100% guarantee.
Scientific Data Images for DRG2 Antibody - BSA Free
Western Blot: DRG2 Antibody - BSA Free [NBP3-46633] -
Western Blot: DRG2 Antibody - BSA Free [NBP3-46633] - Mouse brain tissue were subjected to SDS PAGE followed by western blot with (DRG2 antibody) at dilution of 1:2500Immunohistochemistry: DRG2 Antibody - BSA Free [NBP3-46633] -
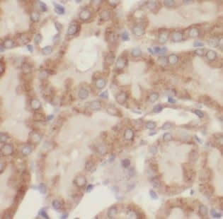
Immunohistochemistry: DRG2 Antibody - BSA Free [NBP3-46633] - Immunohistochemistry of paraffin-embedded human kidney cancer using (DRG2 antibody) at dilution of 1:100Immunoprecipitation: DRG2 Antibody - BSA Free [NBP3-46633] -
Immunoprecipitation: DRG2 Antibody - BSA Free [NBP3-46633] - IP Result of anti-DRG2 (IP:, 4ug; Detection: 1:2000) with mouse brain tissue lysate 2640ug.Applications for DRG2 Antibody - BSA Free
Application
Recommended Usage
Immunocytochemistry/ Immunofluorescence
1:20-1:200
Immunohistochemistry
1:20-1:200
Immunoprecipitation
1:200-1:1000
Western Blot
1:500-1:2000
Application Notes
Theoretical Molecular Weight is 41-45 kDa
Formulation, Preparation, and Storage
Purification
Immunogen affinity purified
Formulation
PBS, 50% Glycerol, pH (7.3)
Format
BSA Free
Preservative
0.02% Sodium Azide
Concentration
Please see the vial label for concentration. If unlisted please contact technical services.
Shipping
The product is shipped with polar packs. Upon receipt, store it immediately at the temperature recommended below.
Stability & Storage
Store at -20C. Avoid freeze-thaw cycles.
Background: DRG2
Alternate Names
developmentally regulated GTP binding protein 2, developmentally regulated GTP-binding protein 2, developmentally-regulated GTP-binding protein 2, DRG-2
Gene Symbol
DRG2
Additional DRG2 Products
Product Documents for DRG2 Antibody - BSA Free
Product Specific Notices for DRG2 Antibody - BSA Free
This product is for research use only and is not approved for use in humans or in clinical diagnosis. Primary Antibodies are guaranteed for 1 year from date of receipt.
Loading...
Loading...
Loading...
Loading...