Skip to main content

DR1 Antibody - BSA Free

Novus Biologicals, part of Bio-Techne | Catalog # NBP2-92857

Novus Biologicals, part of Bio-Techne
Discontinued Product
NBP2-92857 has been discontinued. View all DR1 products.

Key Product Details

Species Reactivity

Human, Mouse

Applications

Immunocytochemistry/ Immunofluorescence, Immunohistochemistry, Immunohistochemistry-Paraffin, Western Blot

Label

Unconjugated

Antibody Source

Polyclonal Rabbit IgG

Format

BSA Free

Concentration

Please see the vial label for concentration. If unlisted please contact technical services.

Product Specifications

Immunogen

Recombinant fusion protein containing a sequence corresponding to amino acids 1-176 of human DR1 (NP_001929.1). MASSSGNDDDLTIPRAAINKMIKETLPNVRVANDARELVVNCCTEFIHLISSEANEICNKSEKKTISPEHVIQALESLGFGSYISEVKEVLQECKTVALKRRKASSRLENLGIPEEELLRQQQELFAKARQQQAELAQQEWLQMQQAAQQAQLAAASASASNQAGSSQDEEDDDDI

Clonality

Polyclonal

Host

Rabbit

Isotype

IgG

Theoretical MW

19 kDa.
Disclaimer note: The observed molecular weight of the protein may vary from the listed predicted molecular weight due to post translational modifications, post translation cleavages, relative charges, and other experimental factors.

Scientific Data Images for DR1 Antibody - BSA Free

Western Blot: DR1 AntibodyBSA Free [NBP2-92857]

Western Blot: DR1 AntibodyBSA Free [NBP2-92857]

Western Blot: DR1 Antibody [NBP2-92857] - Analysis of extracts of mouse spleen, using DR1 at 1:1000 dilution.Secondary antibody: HRP Goat Anti-Rabbit IgG (H+L) at 1:10000 dilution.Lysates/proteins: 25ug per lane.Blocking buffer: 3% nonfat dry milk in TBST.Detection: ECL Basic Kit .Exposure time: 90s.
Immunocytochemistry/ Immunofluorescence: DR1 Antibody - BSA Free [NBP2-92857]

Immunocytochemistry/ Immunofluorescence: DR1 Antibody - BSA Free [NBP2-92857]

Immunocytochemistry/Immunofluorescence: DR1 Antibody [NBP2-92857] - Analysis of MCF7 cells using DR1 .
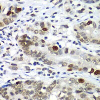
Immunohistochemistry-Paraffin: DR1 Antibody - BSA Free [NBP2-92857]

Immunohistochemistry-Paraffin: DR1 Antibody - BSA Free [NBP2-92857]

Immunohistochemistry-Paraffin: DR1 Antibody [NBP2-92857] - Paraffin-embedded human gastric cancer using DR1 .

Applications for DR1 Antibody - BSA Free

Application
Recommended Usage

Immunocytochemistry/ Immunofluorescence

1:50-1:200

Immunohistochemistry

1:50-1:200

Western Blot

1:500-1:2000

Formulation, Preparation, and Storage

Purification

Affinity purified

Formulation

PBS (pH 7.3), 50% glycerol

Format

BSA Free

Preservative

0.02% Sodium Azide

Concentration

Please see the vial label for concentration. If unlisted please contact technical services.

Shipping

The product is shipped with polar packs. Upon receipt, store it immediately at the temperature recommended below.

Stability & Storage

Store at -20C. Avoid freeze-thaw cycles.

Background: DR1

DR1 encodes a TBP- (TATA box-binding protein) associated phosphoprotein that represses both basal and activated levels of transcription. The encoded protein is phosphorylated in vivo and this phosphorylation affects its interaction with TBP. This protein contains a histone fold motif at the amino terminus, a TBP-binding domain, and a glutamine- and alanine-rich region. The binding of DR1 repressor complexes to TBP-promoter complexes may establish a mechanism in which an altered DNA conformation, together with the formation of higher order complexes, inhibits the assembly of the preinitiation complex and controls the rate of RNA polymerase II transcription. [provided by RefSeq]

Alternate Names

Down-regulator of transcription 1, down-regulator of transcription 1, TBP-binding (negative cofactor 2), NC2, NC2-BETA, Negative cofactor 2-beta, protein Dr1, TATA-binding protein-associated phosphoprotein

Gene Symbol

DR1

Additional DR1 Products

Product Documents for DR1 Antibody - BSA Free

Certificate of Analysis

To download a Certificate of Analysis, please enter a lot number in the search box below.

Product Specific Notices for DR1 Antibody - BSA Free

This product is for research use only and is not approved for use in humans or in clinical diagnosis. Primary Antibodies are guaranteed for 1 year from date of receipt.

Loading...
Loading...
Loading...
Loading...