Skip to main content

DPPIV/CD26 Antibody (JM11-42)

Novus Biologicals, part of Bio-Techne | Catalog # NBP2-78791

Recombinant Monoclonal Antibody
Novus Biologicals, part of Bio-Techne
Catalog #
Availability
Size / Price
Qty
Loading...
NBP2-78791

Key Product Details

Validated by

Knockout/Knockdown

Species Reactivity

Human, Mouse, Rat

Applications

Knockout Validated, Immunohistochemistry, Immunohistochemistry-Paraffin, Western Blot, Flow Cytometry, Immunocytochemistry/ Immunofluorescence

Label

Unconjugated

Antibody Source

Recombinant Monoclonal Rabbit IgG Clone # JM11-42 expressed in HEK293

Concentration

1 mg/ml

Product Specifications

Immunogen

Synthetic peptide within Human DPPIV/CD26 aa 701-747 / 766 (Extracellular). (SwissProt: P27487 Human; SwissProt: P28843 Mouse; SwissProt: P14740 Rat)

Localization

Secreted, Cell membrane, Apical cell membrane, invadopodium membrane, lamellipodium membrane, Cell junction, Membrane raft.

Clonality

Monoclonal

Host

Rabbit

Isotype

IgG

Description

Novus Biologicals Knockout (KO) Validated Rabbit DPPIV/CD26 Antibody (JM11-42) (NBP2-78791) is a recombinant monoclonal antibody validated for use in IHC, WB, Flow and ICC/IF. All Novus Biologicals antibodies are covered by our 100% guarantee.

Scientific Data Images for DPPIV/CD26 Antibody (JM11-42)

Western Blot: DPPIV/CD26 Antibody (JM11-42) [NBP2-78791]

Western Blot: DPPIV/CD26 Antibody (JM11-42) [NBP2-78791]

Western Blot: DPPIV/CD26 Antibody (JM11-42) [NBP2-78791] - Western blot analysis of DPPIV/CD26 on different lysates. Proteins were transferred to a PVDF membrane and blocked with 5% BSA in PBS for 1 hour at room temperature. The primary antibody (1/500) was used in 5% BSA at room temperature for 2 hours. Goat Anti-Rabbit IgG - HRP Secondary Antibody (HA1001) at 1:5,000 dilution was used for 1 hour at room temperature. Positive control: Lane 1: mouse lung tissue lysate Lane 2: mouse heart tissue lysate Lane 3: human kidney tissue lysate Lane 4: Raji cell lysate Lane 5: PC-3 cell lysate
Immunocytochemistry/ Immunofluorescence: DPPIV/CD26 Antibody (JM11-42) [NBP2-78791]

Immunocytochemistry/ Immunofluorescence: DPPIV/CD26 Antibody (JM11-42) [NBP2-78791]

Immunocytochemistry/Immunofluorescence: DPPIV/CD26 Antibody (JM11-42) [NBP2-78791] - Staining CD26 in Hela cells (red). The nuclear counter stain is DAPI (blue). Cells were fixed in paraformaldehyde, permeabilised with 0.25% Triton X100/PBS.
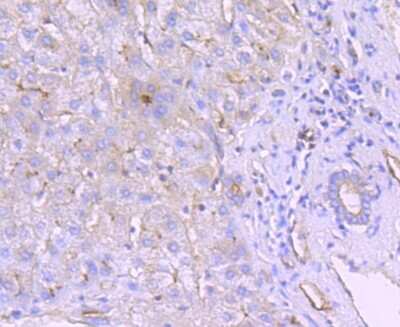
Immunohistochemistry-Paraffin: DPPIV/CD26 Antibody (JM11-42) [NBP2-78791]

Immunohistochemistry-Paraffin: DPPIV/CD26 Antibody (JM11-42) [NBP2-78791]

Immunohistochemistry-Paraffin: DPPIV/CD26 Antibody (JM11-42) [NBP2-78791] - Analysis of paraffin-embedded human liver tissue using anti-CD26 antibody. Counter stained with hematoxylin.

Applications for DPPIV/CD26 Antibody (JM11-42)

Application
Recommended Usage

Flow Cytometry

1:50-1:100

Immunocytochemistry/ Immunofluorescence

1:50-1:200

Immunohistochemistry-Paraffin

1:50-1:100

Western Blot

1:500-1:2000

Formulation, Preparation, and Storage

Purification

Protein A purified

Formulation

TBS (pH7.4), 0.05% BSA, 40% Glycerol

Preservative

0.05% Sodium Azide

Concentration

1 mg/ml

Shipping

The product is shipped with polar packs. Upon receipt, store it immediately at the temperature recommended below.

Stability & Storage

Store at 4C short term. Aliquot and store at -20C long term. Avoid freeze-thaw cycles.

Background: DPPIV/CD26

CD26 is encoded by this gene is identical to adenosine deaminase complexing protein-2, and to the T-cell activation antigen CD26. It is an intrinsic membrane glycoprotein and a serine exopeptidase that cleaves X-proline dipeptides from the N-terminus of polypeptides.

Long Name

Dipeptidyl-peptidase IV

Alternate Names

CD26, DPP4

Gene Symbol

DPP4

Additional DPPIV/CD26 Products

Product Documents for DPPIV/CD26 Antibody (JM11-42)

Certificate of Analysis

To download a Certificate of Analysis, please enter a lot number in the search box below.

Product Specific Notices for DPPIV/CD26 Antibody (JM11-42)

This product is for research use only and is not approved for use in humans or in clinical diagnosis. Primary Antibodies are guaranteed for 1 year from date of receipt.

Loading...
Loading...
Loading...
Loading...
Loading...