DPPA4 Antibody - BSA Free
Novus Biologicals, part of Bio-Techne | Catalog # NBP2-48634
Key Product Details
Validated by
Orthogonal Validation
Species Reactivity
Human
Applications
Immunohistochemistry, Immunohistochemistry-Paraffin, Western Blot, Immunocytochemistry/ Immunofluorescence
Label
Unconjugated
Antibody Source
Polyclonal Rabbit IgG
Format
BSA Free
Concentration
Concentrations vary lot to lot. See vial label for concentration. If unlisted please contact technical services.
Product Specifications
Immunogen
This antibody was developed against a recombinant protein corresponding to amino acids: CQQLKLSSKGQKLDAYKRLCAFAYPNQKDFPSTAKEAKIRKSLQKKLKVEKGETSLQSSETHPPEVALPPVGEPPALENSTALLEGVNTVVVTTS
Clonality
Polyclonal
Host
Rabbit
Isotype
IgG
Description
Novus Biologicals Rabbit DPPA4 Antibody - BSA Free (NBP2-48634) is a polyclonal antibody validated for use in IHC, WB and ICC/IF. All Novus Biologicals antibodies are covered by our 100% guarantee.
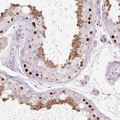
Scientific Data Images for DPPA4 Antibody - BSA Free
Western Blot: DPPA4 Antibody [NBP2-48634]
Western Blot: DPPA4 Antibody [NBP2-48634] - Lane 1: Marker [kDa] 250, 130, 100, 70, 55, 35, 25, 15, 10Lane 2: Human cell line NTERA-2
Immunocytochemistry/ Immunofluorescence: DPPA4 Antibody [NBP2-48634]
Immunocytochemistry/Immunofluorescence: DPPA4 Antibody [NBP2-48634] - Staining of human cell line PC-3 shows localization to nucleus & nucleoli. Antibody staining is shown in green.Applications for DPPA4 Antibody - BSA Free
Application
Recommended Usage
Immunocytochemistry/ Immunofluorescence
0.25-2 ug/ml
Immunohistochemistry
1:50 - 1:200
Immunohistochemistry-Paraffin
1:50 - 1:200
Western Blot
0.04-0.4 ug/ml
Application Notes
For IHC-Paraffin, HIER pH 6 retrieval is recommended.
Formulation, Preparation, and Storage
Purification
Affinity purified
Formulation
PBS (pH 7.2) and 40% Glycerol
Format
BSA Free
Preservative
0.02% Sodium Azide
Concentration
Concentrations vary lot to lot. See vial label for concentration. If unlisted please contact technical services.
Shipping
The product is shipped with polar packs. Upon receipt, store it immediately at the temperature recommended below.
Stability & Storage
Store at 4C short term. Aliquot and store at -20C long term. Avoid freeze-thaw cycles.
Background: DPPA4
Long Name
Developmental Pluripotency Associated 4
Alternate Names
developmental pluripotency associated 4, developmental pluripotency-associated protein 4, FLJ10713,2410091M23Rik
Gene Symbol
DPPA4
Additional DPPA4 Products
Product Documents for DPPA4 Antibody - BSA Free
Product Specific Notices for DPPA4 Antibody - BSA Free
This product is for research use only and is not approved for use in humans or in clinical diagnosis. Primary Antibodies are guaranteed for 1 year from date of receipt.
Loading...
Loading...
Loading...
Loading...