Skip to main content

DPP10 Antibody

Novus Biologicals, part of Bio-Techne | Catalog # NB100-1511

Novus Biologicals, part of Bio-Techne
Catalog #
Availability
Size / Price
Qty
Loading...
NB100-1511

Key Product Details

Species Reactivity

Validated:

Human

Predicted:

Bovine (100%), Canine (100%). Backed by our 100% Guarantee.

Applications

Immunohistochemistry, Immunohistochemistry-Paraffin, Western Blot, Peptide ELISA

Label

Unconjugated

Antibody Source

Polyclonal Goat IgG

Concentration

0.5 mg/ml

Product Specifications

Immunogen

Peptide with sequence C-DEGHNVSEKSKYHL corresponding to internal region according to NP_065919.2, NP_001004360.2.

Specificity

This antibody is expected to recognise both reported isoforms NP_065919.2 and NP_001004360.2.

Clonality

Polyclonal

Host

Goat

Isotype

IgG

Scientific Data Images for DPP10 Antibody

Western Blot: DPP10 Antibody [NB100-1511]

Western Blot: DPP10 Antibody [NB100-1511]

Western Blot: DPP10 Antibody [NB100-1511] - Analysis of Human Bone Marrow lysate (35ug protein in RIPA buffer) using this antibody 0.1ug/ml.
Immunohistochemistry-Paraffin: DPP10 Antibody [NB100-1511]

Immunohistochemistry-Paraffin: DPP10 Antibody [NB100-1511]

Immunohistochemistry-Paraffin: DPP10 Antibody [NB100-1511] - staining of paraffin embedded Human Cerebellum. Steamed antigen retrieval with citrate buffer pH 6, AP-staining.
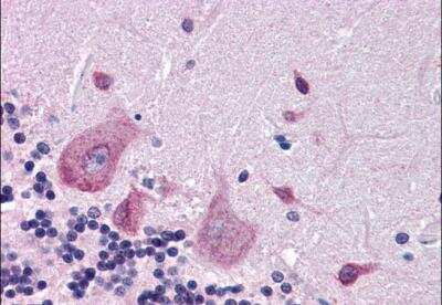
Immunohistochemistry-Paraffin: DPP10 Antibody [NB100-1511]

Immunohistochemistry-Paraffin: DPP10 Antibody [NB100-1511]

Immunohistochemistry-Paraffin: DPP10 Antibody [NB100-1511] - staining of paraffin embedded Human Cortex. Steamed antigen retrieval with citrate buffer pH 6, AP-staining.

Applications for DPP10 Antibody

Application
Recommended Usage

Immunohistochemistry-Paraffin

3.75 ug/ml

Peptide ELISA

Detection limit 1:32000

Western Blot

0.1 - 0.3 ug/ml
Application Notes
WB: Approx. 90 kDa band observed in human bone marrow lysates (calculated MW of 90.0 kDa band according to NP_065919.2 and of 90.1 according to NP_001004360.1).
IHC: Paraffin embedded Human Brain (Cortex and Cerebellum).

Formulation, Preparation, and Storage

Purification

Immunogen affinity purified

Formulation

Tris saline (20 mM Tris pH 7.3, 150 mM NaCl), 0.5% BSA

Preservative

0.02% Sodium Azide

Concentration

0.5 mg/ml

Shipping

The product is shipped with polar packs. Upon receipt, store it immediately at the temperature recommended below.

Stability & Storage

Store at -20C. Avoid freeze-thaw cycles.

Background: DPP10

A novel gene, DPP10, encodes a homolog of dipeptidyl peptidases (DPPs) that cleave terminal dipeptides from cytokines and chemokines, and it presents a potential new target for asthma therapy. The DPP10 protein shares features with members of the S9B family of DPP serine proteases, which includes DPP4, a widely expressed enzyme that plays a central role in chemokine processing as part of the innate immune system. The locus displays a complex pattern of transcript splicing, with eight alternate first exons; four of which localize within the LD block strongly associated with asthma.

Long Name

Dipeptidyl-peptidase 10

Alternate Names

DPL2, DPPY, DPRP3

Entrez Gene IDs

57628 (Human)

Gene Symbol

DPP10

UniProt

Additional DPP10 Products

Product Documents for DPP10 Antibody

Certificate of Analysis

To download a Certificate of Analysis, please enter a lot number in the search box below.

Product Specific Notices for DPP10 Antibody

This product is for research use only and is not approved for use in humans or in clinical diagnosis. Primary Antibodies are guaranteed for 1 year from date of receipt.

Loading...
Loading...
Loading...
Loading...