Skip to main content

DPM3 Antibody - BSA Free

Novus Biologicals, part of Bio-Techne | Catalog # NBP1-81216

Novus Biologicals, part of Bio-Techne
Catalog #
Availability
Size / Price
Qty
Loading...
NBP1-81216

Key Product Details

Species Reactivity

Validated:

Human

Predicted:

Mouse (96%), Rat (92%). Backed by our 100% Guarantee.

Applications

Immunohistochemistry, Immunohistochemistry-Paraffin, Western Blot

Label

Unconjugated

Antibody Source

Polyclonal Rabbit IgG

Format

BSA Free

Concentration

Concentrations vary lot to lot. See vial label for concentration. If unlisted please contact technical services.

Product Specifications

Immunogen

This antibody was developed against Recombinant Protein corresponding to amino acids: FHDCEDAARELQSQIQEARADLARR

Clonality

Polyclonal

Host

Rabbit

Isotype

IgG

Scientific Data Images for DPM3 Antibody - BSA Free

Western Blot: DPM3 Antibody [NBP1-81216]

Western Blot: DPM3 Antibody [NBP1-81216]

Western Blot: DPM3 Antibody [NBP1-81216] - Analysis in control (vector only transfected HEK293T lysate) and DPM3 over-expression lysate (Co-expressed with a C-terminal myc-DDK tag (3.1 kDa) in mammalian HEK293T cells).
DPM3 Antibody

Immunohistochemistry-Paraffin: DPM3 Antibody [NBP1-81216] -

Immunohistochemistry-Paraffin: DPM3 Antibody [NBP1-81216] -Staining of human pancreas shows moderate cytoplasmic positivity in exocrine glandular cells and weak cytoplasmic positivity in endocrine glandular cells.
DPM3 Antibody

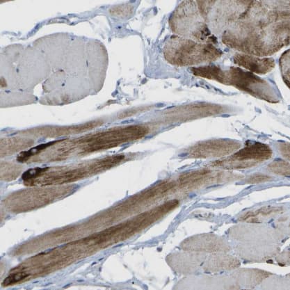
Immunohistochemistry-Paraffin: DPM3 Antibody [NBP1-81216] -

Immunohistochemistry-Paraffin: DPM3 Antibody [NBP1-81216] - Staining of human skeletal muscle shows strong cytoplasmic positivity in myocytes.

Applications for DPM3 Antibody - BSA Free

Application
Recommended Usage

Immunohistochemistry

1:20 - 1:50

Immunohistochemistry-Paraffin

1:20 - 1:50

Western Blot

0.04-0.4 ug/ml
Application Notes
For IHC-Paraffin, HIER pH 6 retrieval is recommended.

Formulation, Preparation, and Storage

Purification

Affinity purified

Formulation

PBS (pH 7.2) and 40% Glycerol

Format

BSA Free

Preservative

0.02% Sodium Azide

Concentration

Concentrations vary lot to lot. See vial label for concentration. If unlisted please contact technical services.

Shipping

The product is shipped with polar packs. Upon receipt, store it immediately at the temperature recommended below.

Stability & Storage

Store at 4C short term. Aliquot and store at -20C long term. Avoid freeze-thaw cycles.

Background: DPM3

Dolichol-phosphate mannose (Dol-P-Man) serves as a donor of mannosyl residues on the lumenal side of the endoplasmic reticulum (ER). Lack of Dol-P-Man results in defective surface expression of GPI-anchored proteins. Dol-P-Man is synthesized from GDP-mannose and dolichol-phosphate on the cytosolic side of the ER by the enzyme dolichyl-phosphate mannosyltransferase. The protein encoded by this gene is a subunit of dolichyl-phosphate mannosyltransferase and acts as a stabilizer subunit of the dolichyl-phosphate mannosyltransferase complex. [provided by RefSeq]

Alternate Names

CDG1O, Dolichol-phosphate mannose synthase subunit 3, dolichol-phosphate mannosyltransferase subunit 3, Dolichyl-phosphate beta-D-mannosyltransferase subunit 3, dolichyl-phosphate mannosyltransferase polypeptide 3, DPM synthase complex subunit 3, Mannose-P-dolichol synthase subunit 3, MGC125904, MGC125905, MGC34275, MPD synthase subunit 3, prostin 1, prostin-1

Entrez Gene IDs

54344 (Rat)

Gene Symbol

DPM3

Additional DPM3 Products

Product Documents for DPM3 Antibody - BSA Free

Certificate of Analysis

To download a Certificate of Analysis, please enter a lot number in the search box below.

Product Specific Notices for DPM3 Antibody - BSA Free

This product is for research use only and is not approved for use in humans or in clinical diagnosis. Primary Antibodies are guaranteed for 1 year from date of receipt.

Loading...
Loading...
Loading...
Loading...
Loading...