DPH4 Antibody - BSA Free
Novus Biologicals, part of Bio-Techne | Catalog # NBP1-87969
Key Product Details
Species Reactivity
Human
Applications
Immunohistochemistry, Immunohistochemistry-Paraffin, Western Blot, Immunocytochemistry/ Immunofluorescence
Label
Unconjugated
Antibody Source
Polyclonal Rabbit IgG
Format
BSA Free
Concentration
Concentrations vary lot to lot. See vial label for concentration. If unlisted please contact technical services.
Product Specifications
Immunogen
This antibody was developed against Recombinant Protein corresponding to amino acids: MAVEQMPKKDWYSILGADPSANISDLKQKYQKLILMYHPDKQSTDVPAGTVEECVQKFIEIDQAWK
Reactivity Notes
Immunogen displays the following percentage of sequence identity for non-tested species: Mouse (88%), Rat (88%)
Clonality
Polyclonal
Host
Rabbit
Isotype
IgG
Description
Novus Biologicals Rabbit DPH4 Antibody - BSA Free (NBP1-87969) is a polyclonal antibody validated for use in IHC, WB and ICC/IF. All Novus Biologicals antibodies are covered by our 100% guarantee.
Scientific Data Images for DPH4 Antibody - BSA Free
Immunocytochemistry/ Immunofluorescence: DPH4 Antibody [NBP1-87969]
Immunocytochemistry/Immunofluorescence: DPH4 Antibody [NBP1-87969] - Immunofluorescent staining of human cell line A-431 shows localization to cytosol.Immunohistochemistry-Paraffin: DPH4 Antibody - BSA Free [NBP1-87969]
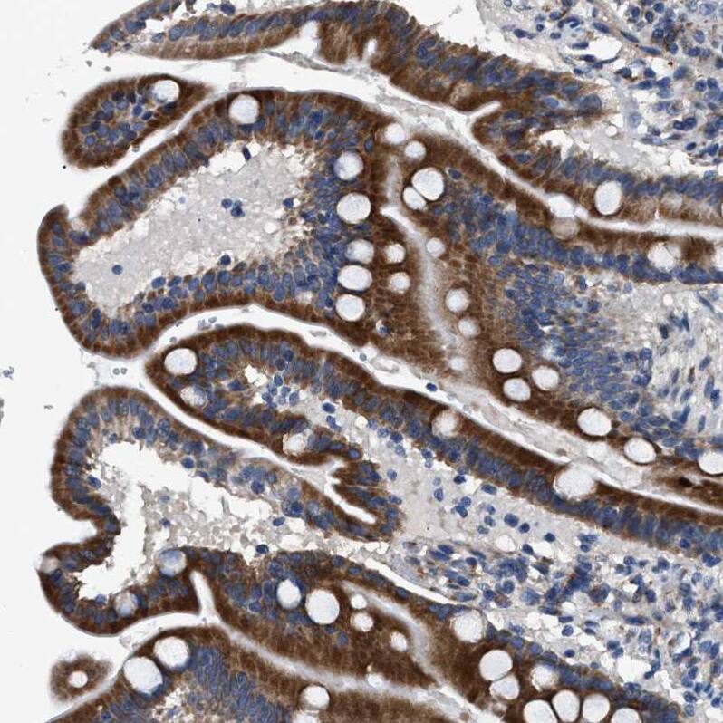
Staining of human duodenum shows strong cytoplasmic positivity in glandular cells.Immunohistochemistry-Paraffin: DPH4 Antibody - BSA Free [NBP1-87969]
Staining of human pancreas shows very weak cytoplasmic positivity in exocrine glandular cells.Applications for DPH4 Antibody - BSA Free
Application
Recommended Usage
Immunocytochemistry/ Immunofluorescence
0.25-2 ug/ml
Immunohistochemistry
1:50 - 1:200
Immunohistochemistry-Paraffin
1:50 - 1:200
Western Blot
0.04-0.4 ug/ml
Application Notes
For IHC-Paraffin, HIER pH 6 retrieval is recommended. Immunocytochemistry/Immunofluorescence Fixation Permeabilization: Use PFA/Triton X-100.
Formulation, Preparation, and Storage
Purification
Immunogen affinity purified
Formulation
PBS (pH 7.2) and 40% Glycerol
Format
BSA Free
Preservative
0.02% Sodium Azide
Concentration
Concentrations vary lot to lot. See vial label for concentration. If unlisted please contact technical services.
Shipping
The product is shipped with polar packs. Upon receipt, store it immediately at the temperature recommended below.
Stability & Storage
Store at 4C short term. Aliquot and store at -20C long term. Avoid freeze-thaw cycles.
Background: DPH4
Alternate Names
CSL-type zinc finger-containing protein 3, DnaJ (Hsp40) homolog, subfamily C, member 24, dnaJ homolog subfamily C member 24, DPH4 homolog, DPH4, JJJ3 homolog, DPH4, JJJ3 homolog (S. cerevisiae), DPH41700030A21Rik, JJJ3, S. cerevisiae), ZCSL3, zinc finger, CSL domain containing 3, zinc finger, CSL-type containing 3
Gene Symbol
DNAJC24
Additional DPH4 Products
Product Documents for DPH4 Antibody - BSA Free
Product Specific Notices for DPH4 Antibody - BSA Free
This product is for research use only and is not approved for use in humans or in clinical diagnosis. Primary Antibodies are guaranteed for 1 year from date of receipt.
Loading...
Loading...
Loading...
Loading...