DMPK Antibody - BSA Free
Novus Biologicals, part of Bio-Techne | Catalog # NBP1-57584
Key Product Details
Species Reactivity
Human
Applications
Immunohistochemistry, Immunohistochemistry-Paraffin, Western Blot
Label
Unconjugated
Antibody Source
Polyclonal Rabbit IgG
Format
BSA Free
Concentration
0.5 mg/ml
Product Specifications
Immunogen
Synthetic peptides corresponding to DMPK(dystrophia myotonica-protein kinase) The peptide sequence was selected from the middle region of DMPK. Peptide sequence TRLGRGGAGDFRTHPFFFGLDWDGLRDSVPPFTPDFEGATDTCNFDLVED. The peptide sequence for this immunogen was taken from within the described region.
Clonality
Polyclonal
Host
Rabbit
Isotype
IgG
Description
The addition of 50% glycerol is optional for those storing this antibody at -20C and not aliquoting smaller units. However, please note that glycerol may interrupt some downstream antibody applications and should be added with caution.
Scientific Data Images for DMPK Antibody - BSA Free
Immunohistochemistry-Paraffin: DMPK Antibody [NBP1-57584]
Immunohistochemistry-Paraffin: DMPK Antibody [NBP1-57584] - Human Heart Tissue, antibody concentration 5 ug/ml.Western Blot-DMPK Antibody-NBP1-57584-
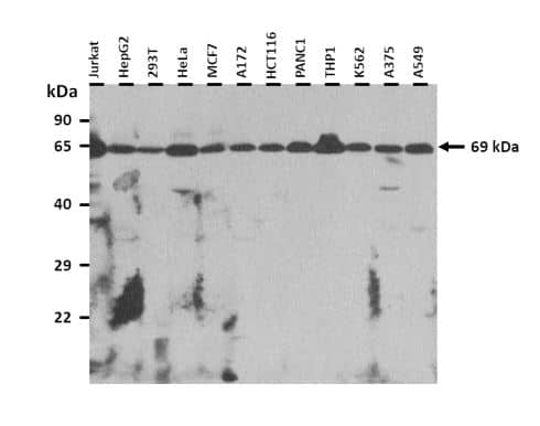
Western Blot-DMPK Antibody-NBP1-57584-258 ug of the indicated Human whole cell extracts was loaded into 12% SDS-PAGE gel. 3 ug/ml of the antibody was used in this experiment.Applications for DMPK Antibody - BSA Free
Application
Recommended Usage
Immunohistochemistry
5 ug/ml
Immunohistochemistry-Paraffin
5 ug/ml
Western Blot
1.0 ug/ml
Formulation, Preparation, and Storage
Purification
Affinity purified
Formulation
PBS, 2% Sucrose
Format
BSA Free
Preservative
0.09% Sodium Azide
Concentration
0.5 mg/ml
Shipping
The product is shipped with polar packs. Upon receipt, store it immediately at the temperature recommended below.
Stability & Storage
Store at 4C short term. Aliquot and store at -20C long term. Avoid freeze-thaw cycles.
Background: DMPK
Long Name
Dystrophia Myotonica Protein Kinase
Alternate Names
DM1PK, DMK, MDPK, MT-PK
Gene Symbol
DMPK
Additional DMPK Products
Product Documents for DMPK Antibody - BSA Free
Product Specific Notices for DMPK Antibody - BSA Free
This product is for research use only and is not approved for use in humans or in clinical diagnosis. Primary Antibodies are guaranteed for 1 year from date of receipt.
Loading...
Loading...
Loading...
Loading...