Skip to main content

DLST Antibody - BSA Free

Novus Biologicals, part of Bio-Techne | Catalog # NBP2-32204

Novus Biologicals, part of Bio-Techne

Key Product Details

Validated by

Biological Validation

Species Reactivity

Human, Mouse

Applications

Immunohistochemistry, Immunohistochemistry-Paraffin, Western Blot, Immunoprecipitation

Label

Unconjugated

Antibody Source

Polyclonal Rabbit IgG

Format

BSA Free

Concentration

1.0 mg/ml

Product Specifications

Immunogen

The immunogen this antibody was made to, maps to a region between residue 50 to 100 of human Dihydrolipoamide S-succinyltransferase using the numbering given in entry NP_001924.2 (GeneID 1743).

Clonality

Polyclonal

Host

Rabbit

Isotype

IgG

Description

Novus Biologicals Rabbit DLST Antibody - BSA Free (NBP2-32204) is a polyclonal antibody validated for use in IHC, WB and IP. All Novus Biologicals antibodies are covered by our 100% guarantee.

Scientific Data Images for DLST Antibody - BSA Free

Western Blot: DLST Antibody [NBP2-32204]

Western Blot: DLST Antibody [NBP2-32204]

Western Blot: DLST Antibody [NBP2-32204] - Samples: Whole cell lysate (50 ug) from HeLa, 293T, Jurkat, mouse TCMK-1, and mouse NIH3T3 cells. Antibodies: Affinity purified rabbit anti-DLST antibody NBP2-32204 used for WB at 0.1 ug/ml. Detection: Chemiluminescence with an exposure time of 30 seconds.
Immunohistochemistry-Paraffin: DLST Antibody [NBP2-32204]

Immunohistochemistry-Paraffin: DLST Antibody [NBP2-32204]

Immunohistochemistry-Paraffin: DLST Antibody [NBP2-32204] - section of human lung cancer. Antibody: Affinity purified rabbit anti- DLSTused at a dilution of 1:1,000 (1ug/ml). Detection: DAB
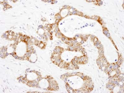
Immunohistochemistry-Paraffin: DLST Antibody [NBP2-32204]

Immunohistochemistry-Paraffin: DLST Antibody [NBP2-32204]

Immunohistochemistry-Paraffin: DLST Antibody [NBP2-32204] - section of human ovarian carcinoma. Antibody: Affinity purified rabbit anti- DLST used at a dilution of 1:1,000 (1ug/ml). Detection: DAB

Applications for DLST Antibody - BSA Free

Application
Recommended Usage

Immunohistochemistry

1:500 - 1:2000

Immunohistochemistry-Paraffin

1:500 - 1:2000

Immunoprecipitation

2 - 10 ug/mg lysate

Western Blot

1:2000 - 1:10000
Application Notes
Epitope retrieval with citrate buffer pH 6.0 is recommended for FFPE tissue sections.

Formulation, Preparation, and Storage

Purification

Immunogen affinity purified

Formulation

Tris-Citrate/Phosphate (pH 7.0 - 8.0)

Format

BSA Free

Preservative

0.09% Sodium Azide

Concentration

1.0 mg/ml

Shipping

The product is shipped with polar packs. Upon receipt, store it immediately at the temperature recommended below.

Stability & Storage

Store at 4C. Do not freeze.

Background: DLST

DLST, also known as Dihydrolipoyllysine-residue succinyltransferase component of 2-oxoglutarate dehydrogenase complex, is a 48.8 kDa, 453 amino acid protein that is involved in catalyzing the reaction of 2-oxoglutarate into succinyl-CoA and carbon dioxide. Current research is investigating the effect of the protein on malaria, neurodegeneration, pneumonia, cat-scratch disease, ataxia, prostatitis, Parkinson's disease, and Alzheimer's disease. The protein is involved in lysine degradation, citric acid cycle (TCA cycle), and metabolism pathways where it interacts with FLII, ATP6V1B2, HSPD1, UMPS, and DDOST.

Alternate Names

2-oxoglutarate dehydrogenase complex component E2, dihydrolipoamide S-succinyltransferase (E2 component of 2-oxo-glutaratecomplex), Dihydrolipoamide succinyltransferase component of 2-oxoglutarate dehydrogenasecomplex, dihydrolipoyllysine-residue succinyltransferase component of 2-oxoglutaratedehydrogenase complex, mitochondrial, DLTS, E2K, EC 2.3.1, EC 2.3.1.61, OGDC-E2

Gene Symbol

DLST

Additional DLST Products

Product Documents for DLST Antibody - BSA Free

Certificate of Analysis

To download a Certificate of Analysis, please enter a lot number in the search box below.

Product Specific Notices for DLST Antibody - BSA Free

This product is for research use only and is not approved for use in humans or in clinical diagnosis. Primary Antibodies are guaranteed for 1 year from date of receipt.

Loading...
Loading...
Loading...
Loading...