DHX40 Antibody - BSA Free
Novus Biologicals, part of Bio-Techne | Catalog # NBP1-91834
Key Product Details
Species Reactivity
Validated:
Human
Cited:
Human
Applications
Validated:
Immunohistochemistry, Immunohistochemistry-Paraffin, Immunocytochemistry/ Immunofluorescence
Cited:
Western Blot, Immunoprecipitation
Label
Unconjugated
Antibody Source
Polyclonal Rabbit IgG
Format
BSA Free
Concentration
Concentrations vary lot to lot. See vial label for concentration. If unlisted please contact technical services.
Product Specifications
Immunogen
This antibody was developed against Recombinant Protein corresponding to amino acids: SVGRTFCTMDGRGSPVHIHPSSALHEQETKLEWIIFHEVLVTTKVYARIVCPIRYEWVRDLLPKLHEFNAHDLSSVARREVREDARRRWTNKENVKQLKDGISKDVLKKMQRRNDDKSISDARARF
Clonality
Polyclonal
Host
Rabbit
Isotype
IgG
Description
Novus Biologicals Rabbit DHX40 Antibody - BSA Free (NBP1-91834) is a polyclonal antibody validated for use in IHC, WB, ICC/IF and IP. Anti-DHX40 Antibody: Cited in 1 publication. All Novus Biologicals antibodies are covered by our 100% guarantee.
Scientific Data Images for DHX40 Antibody - BSA Free
Immunocytochemistry/ Immunofluorescence: DHX40 Antibody [NBP1-91834]
Immunocytochemistry/Immunofluorescence: DHX40 Antibody [NBP1-91834] - Staining of human cell line U-251 MG shows localization to nucleoplasm. Antibody staining is shown in green.Immunohistochemistry-Paraffin: DHX40 Antibody [NBP1-91834]
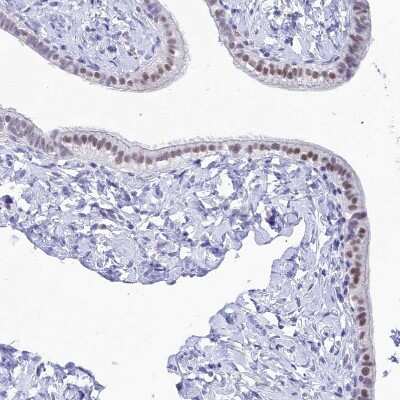
Immunohistochemistry-Paraffin: DHX40 Antibody [NBP1-91834] - Staining of human endometrium shows weak to moderate nuclear positivity in a subset of glandular cells.Immunohistochemistry-Paraffin: DHX40 Antibody [NBP1-91834]
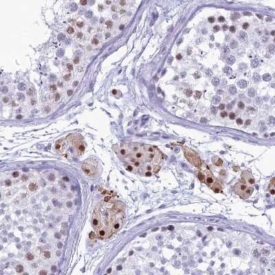
Immunohistochemistry-Paraffin: DHX40 Antibody [NBP1-91834] - Staining of human testis shows strong nuclear positivity in Leydig cells, as well as moderate positivity in cells in seminiferous tubules.Applications for DHX40 Antibody - BSA Free
Application
Recommended Usage
Immunocytochemistry/ Immunofluorescence
0.25-2 ug/ml
Immunohistochemistry
1:200 - 1:500
Immunohistochemistry-Paraffin
1:200 - 1:500
Application Notes
For IHC-Paraffin, HIER pH 6 retrieval is recommended. ICC/IF Fixation Permeabilization: Use PFA/Triton X-100.
Formulation, Preparation, and Storage
Purification
Affinity purified
Formulation
PBS (pH 7.2) and 40% Glycerol
Format
BSA Free
Preservative
0.02% Sodium Azide
Concentration
Concentrations vary lot to lot. See vial label for concentration. If unlisted please contact technical services.
Shipping
The product is shipped with polar packs. Upon receipt, store it immediately at the temperature recommended below.
Stability & Storage
Store at 4C short term. Aliquot and store at -20C long term. Avoid freeze-thaw cycles.
Background: DHX40
Alternate Names
ARG147, DDX40FLJ34015, DEAD/H (Asp-Glu-Ala-Asp/His) box polypeptide 40 (RNA helicase), DEAH (Asp-Glu-Ala-His) box polypeptide 40, DEAH box protein 40, EC 3.6.1, EC 3.6.4.13, FLJ22060, PAD, probable ATP-dependent RNA helicase DHX40, Protein PAD
Entrez Gene IDs
79665 (Human)
Gene Symbol
DHX40
UniProt
Additional DHX40 Products
Product Documents for DHX40 Antibody - BSA Free
Product Specific Notices for DHX40 Antibody - BSA Free
This product is for research use only and is not approved for use in humans or in clinical diagnosis. Primary Antibodies are guaranteed for 1 year from date of receipt.
Loading...
Loading...
Loading...
Loading...