Skip to main content

DHX36 Antibody - BSA Free

Novus Biologicals, part of Bio-Techne | Catalog # NBP3-12999

Novus Biologicals, part of Bio-Techne
Catalog #
Availability
Size / Price
Qty
Loading...
NBP3-12999

Key Product Details

Species Reactivity

Human, Mouse, Rat

Applications

Immunohistochemistry, Immunohistochemistry-Paraffin, Western Blot

Label

Unconjugated

Antibody Source

Polyclonal Rabbit IgG

Format

BSA Free

Concentration

Concentrations vary lot to lot. See vial label for concentration. If unlisted please contact technical services.

Product Specifications

Immunogen

Recombinant protein encompassing a sequence within the N-terminus region of human DHX36. The exact sequence is proprietary.

Reactivity Notes

Mouse (82%), Rat (80%)

Clonality

Polyclonal

Host

Rabbit

Isotype

IgG

Description

Centrifuge briefly prior to opening.

Scientific Data Images for DHX36 Antibody - BSA Free

Western Blot: DHX36 Antibody [NBP3-12999]

Western Blot: DHX36 Antibody [NBP3-12999]

Western Blot: DHX36 Antibody [NBP3-12999] - Various whole cell extracts (30 ug) were separated by 5% SDS-PAGE, and the membrane was blotted with DHX36 antibody (NBP3-12999) diluted at 1:1000.
Immunohistochemistry-Paraffin: DHX36 Antibody [NBP3-12999]

Immunohistochemistry-Paraffin: DHX36 Antibody [NBP3-12999]

Immunohistochemistry-Paraffin: DHX36 Antibody [NBP3-12999] - DHX36 antibody detects DHX36 protein at cytoplasm in rat brain by immunohistochemical analysis. Sample: Paraffin-embedded rat brain. DHX36 antibody (NBP3-12999) diluted at 1:400. Antigen Retrieval: Citrate buffer, pH 6.0, 15 min
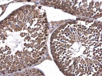
Immunohistochemistry-Paraffin: DHX36 Antibody [NBP3-12999]

Immunohistochemistry-Paraffin: DHX36 Antibody [NBP3-12999]

Immunohistochemistry-Paraffin: DHX36 Antibody [NBP3-12999] - DHX36 antibody detects DHX36 protein at cytoplasm in mouse testis by immunohistochemical analysis. Sample: Paraffin-embedded mouse testis. DHX36 antibody (NBP3-12999) diluted at 1:400. Antigen Retrieval: Citrate buffer, pH 6.0, 15 min

Applications for DHX36 Antibody - BSA Free

Application
Recommended Usage

Immunohistochemistry

Optimal dilutions of this antibody should be experimentally determined.

Immunohistochemistry-Paraffin

Optimal dilutions of this antibody should be experimentally determined.

Western Blot

Optimal dilutions of this antibody should be experimentally determined.

Formulation, Preparation, and Storage

Purification

Antigen Affinity-purified

Formulation

PBS, 20% Glycerol

Format

BSA Free

Preservative

0.025% Proclin 300

Concentration

Concentrations vary lot to lot. See vial label for concentration. If unlisted please contact technical services.

Shipping

The product is shipped with polar packs. Upon receipt, store it immediately at the temperature recommended below.

Stability & Storage

Store at 4C short term. Aliquot and store at -20C long term. Avoid freeze-thaw cycles.

Background: DHX36

DHX36, also known as Probable ATP-dependent RNA helicase DHX36, consists of three isoforms of sizes 114.7 kDa, 113.2 kDa, and 111.5 kDa and is involved in breaking down mRNA with the ARE element in their 3'-UTR strand. Current research links this protein to sex development and spermatogenesis. The protein interacts with RPS9, AGO1, UBC, AGO2, and PHB in the RNA degradation pathway.

Alternate Names

DDX36, DEAH (Asp-Glu-Ala-His) box polypeptide 36, DEAH box protein 36, EC 3.6.1, EC 3.6.4.13, G4 resolvase-1, KIAA1488G4R1, MLEL1RHAUDEAD/H (Asp-Glu-Ala-Asp/His) box polypeptide 36, MLE-like protein 1, probable ATP-dependent RNA helicase DHX36, RNA helicase associated with AU-rich element ARE

Gene Symbol

DHX36

Additional DHX36 Products

Product Documents for DHX36 Antibody - BSA Free

Certificate of Analysis

To download a Certificate of Analysis, please enter a lot number in the search box below.

Product Specific Notices for DHX36 Antibody - BSA Free

This product is for research use only and is not approved for use in humans or in clinical diagnosis. Primary Antibodies are guaranteed for 1 year from date of receipt.

Loading...
Loading...
Loading...
Loading...