DHX16 Antibody - BSA Free
Novus Biologicals, part of Bio-Techne | Catalog # NBP3-48014
Key Product Details
Species Reactivity
Human, Mouse
Applications
ELISA, Immunocytochemistry/ Immunofluorescence, Immunohistochemistry, Western Blot
Label
Unconjugated
Antibody Source
Polyclonal Rabbit IgG
Format
BSA Free
Concentration
Please see the vial label for concentration. If unlisted please contact technical services.
Product Specifications
Immunogen
DEAH(Asp-Glu-Ala-His) box polypeptide 16. (Uniprot# O60231)
Clonality
Polyclonal
Host
Rabbit
Isotype
IgG
Theoretical MW
119 kDa.
Disclaimer note: The observed molecular weight of the protein may vary from the listed predicted molecular weight due to post translational modifications, post translation cleavages, relative charges, and other experimental factors.
Disclaimer note: The observed molecular weight of the protein may vary from the listed predicted molecular weight due to post translational modifications, post translation cleavages, relative charges, and other experimental factors.
Description
Novus Biologicals Rabbit DHX16 Antibody - BSA Free (NBP3-48014) is a polyclonal antibody validated for use in IHC, WB, ELISA and ICC/IF. All Novus Biologicals antibodies are covered by our 100% guarantee.
Scientific Data Images for DHX16 Antibody - BSA Free
Western Blot: DHX16 Antibody - BSA Free [NBP3-48014] -
Western Blot: DHX16 Antibody - BSA Free [NBP3-48014] - Jurkat cells were subjected to SDS PAGE followed by western blot with (DHX16 antibody) at dilution of 1:1000Immunohistochemistry: DHX16 Antibody - BSA Free [NBP3-48014] -
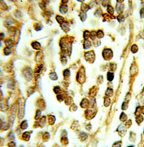
Immunohistochemistry: DHX16 Antibody - BSA Free [NBP3-48014] - Immunohistochemistry of paraffin-embedded human lymphoma using (DHX16 antibody) at dilution of 1:10Applications for DHX16 Antibody - BSA Free
Application
Recommended Usage
Immunocytochemistry/ Immunofluorescence
1:20-1:200
Immunohistochemistry
1:20-1:200
Western Blot
1:500-1:2000
Formulation, Preparation, and Storage
Purification
Immunogen affinity purified
Formulation
PBS, 50% Glycerol, pH (7.3)
Format
BSA Free
Preservative
0.02% Sodium Azide
Concentration
Please see the vial label for concentration. If unlisted please contact technical services.
Shipping
The product is shipped with polar packs. Upon receipt, store it immediately at the temperature recommended below.
Stability & Storage
Store at -20C. Avoid freeze-thaw cycles.
Background: DHX16
Alternate Names
ATP-dependent RNA helicase #3, DBP2PRO2014, DDX16DEAD/H box 16, DEAD/H (Asp-Glu-Ala-Asp/His) box polypeptide 16, DEAH (Asp-Glu-Ala-His) box polypeptide 16, DEAH-box protein 16, EC 3.6.1, EC 3.6.4.13, KIAA0577, Prp2, PRP8, PRPF2, putative pre-mRNA-splicing factor ATP-dependent RNA helicase DHX16, RNA helicase
Gene Symbol
DHX16
Additional DHX16 Products
Product Documents for DHX16 Antibody - BSA Free
Product Specific Notices for DHX16 Antibody - BSA Free
This product is for research use only and is not approved for use in humans or in clinical diagnosis. Primary Antibodies are guaranteed for 1 year from date of receipt.
Loading...
Loading...
Loading...
Loading...