Skip to main content

DHX15 Antibody - BSA Free

Novus Biologicals, part of Bio-Techne | Catalog # NBP2-13919

Novus Biologicals, part of Bio-Techne
Catalog #
Availability
Size / Price
Qty
Loading...
NBP2-13919-25ul
NBP2-13919

Key Product Details

Species Reactivity

Human, Mouse, Rat

Applications

Immunohistochemistry, Immunohistochemistry-Paraffin, Western Blot, Immunocytochemistry/ Immunofluorescence

Label

Unconjugated

Antibody Source

Polyclonal Rabbit IgG

Format

BSA Free

Concentration

Concentrations vary lot to lot. See vial label for concentration. If unlisted please contact technical services.

Product Specifications

Immunogen

This antibody was developed against a recombinant protein corresponding to the amino acids: RASTNAMLISAGLPPLKASHSAHSTHSAHSTHSTHSAHSTHAGHAGHTSLPQCINPFTNLPHTPRYYDILKKRLQLPVWEYKD

Clonality

Polyclonal

Host

Rabbit

Isotype

IgG

Scientific Data Images for DHX15 Antibody - BSA Free

Western Blot: DHX15 Antibody [NBP2-13919]

Western Blot: DHX15 Antibody [NBP2-13919]

Western Blot: DHX15 Antibody [NBP2-13919] - Analysis in mouse cell line NIH-3T3 and rat cell line NBT-II.
Immunocytochemistry/ Immunofluorescence: DHX15 Antibody [NBP2-13919]

Immunocytochemistry/ Immunofluorescence: DHX15 Antibody [NBP2-13919]

Immunocytochemistry/Immunofluorescence: DHX15 Antibody [NBP2-13919] - Staining of human cell line A-431 shows localization to nuclear speckles. Antibody staining is shown in green.
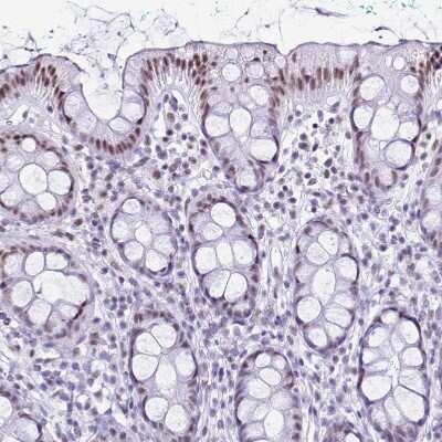
Immunohistochemistry-Paraffin: DHX15 Antibody [NBP2-13919]

Immunohistochemistry-Paraffin: DHX15 Antibody [NBP2-13919]

Immunohistochemistry-Paraffin: DHX15 Antibody [NBP2-13919] - Staining of human rectum shows moderate nuclear positivity in glandular cells.

Applications for DHX15 Antibody - BSA Free

Application
Recommended Usage

Immunocytochemistry/ Immunofluorescence

0.25-2 ug/ml

Immunohistochemistry

1:50 - 1:200

Immunohistochemistry-Paraffin

1:50 - 1:200

Western Blot

0.04 - 0.4 ug/ml
Application Notes
For IHC-Paraffin, HIER pH 6 retrieval is recommended. For ICC/IF Fixation/Permeabilization: PFA/Triton X-100.

Formulation, Preparation, and Storage

Purification

Affinity purified

Formulation

PBS (pH 7.2) and 40% Glycerol

Format

BSA Free

Preservative

0.02% Sodium Azide

Concentration

Concentrations vary lot to lot. See vial label for concentration. If unlisted please contact technical services.

Shipping

The product is shipped with polar packs. Upon receipt, store it immediately at the temperature recommended below.

Stability & Storage

Store at 4C short term. Aliquot and store at -20C long term. Avoid freeze-thaw cycles.

Background: DHX15

The protein encoded by the DHX15 gene is a putative ATP-dependent RNA helicase implicated in pre-mRNA splicing. (provided by RefSeq)

Alternate Names

ATP-dependent RNA helicase #46, DBP1DEAH box protein 15, DDX15putative pre-mRNA-splicing factor ATP-dependent RNA helicase DHX15, DEAD/H (Asp-Glu-Ala-Asp/His) box polypeptide 15, DEAH (Asp-Glu-Ala-His) box polypeptide 15, EC 3.6.1, EC 3.6.4.13, HRH2DEAD/H box-15, PRP43, PRPF43, PrPp43p, RNA helicase 2

Gene Symbol

DHX15

Additional DHX15 Products

Product Documents for DHX15 Antibody - BSA Free

Certificate of Analysis

To download a Certificate of Analysis, please enter a lot number in the search box below.

Product Specific Notices for DHX15 Antibody - BSA Free

This product is for research use only and is not approved for use in humans or in clinical diagnosis. Primary Antibodies are guaranteed for 1 year from date of receipt.

Loading...
Loading...
Loading...
Loading...