Skip to main content

DHRS4 Antibody - BSA Free

Novus Biologicals, part of Bio-Techne | Catalog # NBP2-98675

Novus Biologicals, part of Bio-Techne

Key Product Details

Species Reactivity

Human

Applications

Immunohistochemistry, Immunohistochemistry-Paraffin, Western Blot, Immunoprecipitation

Label

Unconjugated

Antibody Source

Polyclonal Rabbit IgG

Format

BSA Free

Concentration

Please see the vial label for concentration. If unlisted please contact technical services.

Product Specifications

Immunogen

Produced in rabbits immunized with E. coli-derived Human DHRS4 fragment.

Clonality

Polyclonal

Host

Rabbit

Isotype

IgG

Description

This antibody can be stored at 2C to 8C for one month without detectable loss of activity. Antibody products are stable for twelve months from date of receipt when stored at -20C to -80C. Avoid repeated freeze-thaw cycles.

Scientific Data Images for DHRS4 Antibody - BSA Free

Western Blot: DHRS4 Antibody [NBP2-98675]

Western Blot: DHRS4 Antibody [NBP2-98675]

Western Blot: DHRS4 Antibody [NBP2-98675] - DHRS4 was immunoprecipitated using: Lane A: 0.5 mg A549 Whole Cell Lysate 4 ul anti-DHRS4 rabbit polyclonal antibody and 60 ug of Immunomagnetic beads Protein A/G. Primary antibody: Anti-DHRS4 rabbit polyclonal antibody, at 1:100 dilution. Secondary antibody: Goat Anti-Rabbit IgG (H+L)/HRP at 1/10000 dilution. Developed using the ECL technique. Performed under reducing conditions. Predicted band size: 30 kDa. Observed band size: 30 kDa
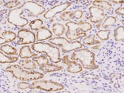
Immunohistochemistry-Paraffin: DHRS4 Antibody [NBP2-98675]

Immunohistochemistry-Paraffin: DHRS4 Antibody [NBP2-98675]

Immunohistochemistry-Paraffin: DHRS4 Antibody [NBP2-98675] - Immunochemical staining of human DHRS4 in human liver with rabbit polyclonal antibody at 1:100 dilution, formalin-fixed paraffin embedded sections.
Western Blot: DHRS4 Antibody [NBP2-98675]

Western Blot: DHRS4 Antibody [NBP2-98675]

Western Blot: DHRS4 Antibody [NBP2-98675] - Anti-DHRS4 rabbit polyclonal antibody at 1:500 dilution. Lane A: Hela Whole Cell Lysate Lane B: A549 Whole Cell Lysate Lane C: MCF7 Whole Cell Lysate Lane D: U-251 MG Whole Cell Lysate Lysates/proteins at 30 ug per lane. Secondary Goat Anti-Rabbit IgG (H+L)/HRP at 1/10000 dilution. Developed using the ECL technique. Performed under reducing conditions. Predicted band size: 30 kDa. Observed band size: 30 kDa

Applications for DHRS4 Antibody - BSA Free

Application
Recommended Usage

Immunohistochemistry-Paraffin

1:50-1:200

Immunoprecipitation

1-5uL/mg of lysate

Western Blot

1:500-1:2000

Formulation, Preparation, and Storage

Purification

Antigen and protein A Affinity-purified

Formulation

PBS

Format

BSA Free

Preservative

0.03% Proclin 300

Concentration

Please see the vial label for concentration. If unlisted please contact technical services.

Shipping

The product is shipped with polar packs. Upon receipt, store it immediately at the temperature recommended below.

Stability & Storage

Store at 4C short term. Aliquot and store at -20C long term. Avoid freeze-thaw cycles.

Background: DHRS4

Reduces all-trans-retinal and 9-cis retinal. Can also catalyze the oxidation of all-trans-retinol with NADP as co-factor, but with much lower efficiency. Reduces alkyl phenyl ketones and alpha-dicarbonyl compounds with aromatic rings, such as pyrimidine-4-aldehyde, 3-benzoylpyridine, 4-benzoylpyridine, menadione and 4-hexanoylpyridine. Has no activity towards aliphatic aldehydes and ketones

Alternate Names

CR, dehydrogenase/reductase (SDR family) member 4, dehydrogenase/reductase (SDR family) member 4 like 2A, dehydrogenase/reductase SDR family member 4, EC 1.1.1, EC 1.1.1.184, FLJ11008, humNRDR, NADP-dependent retinol dehydrogenase, NRDRNADPH-dependent retinol dehydrogenase/reductase, Peroxisomal short-chain alcohol dehydrogenase, PHCR, PSCD, SCAD-SRLNADPH-dependent carbonyl reductase/NADP-retinol dehydrogenase, SDR25C1, SDR25C2, SDR-SRL, short chain dehydrogenase/reductase family 25C, member 1, short chain dehydrogenase/reductase family 25C, member 2, Short-chain dehydrogenase/reductase family member 4

Gene Symbol

DHRS4

Additional DHRS4 Products

Product Documents for DHRS4 Antibody - BSA Free

Certificate of Analysis

To download a Certificate of Analysis, please enter a lot number in the search box below.

Product Specific Notices for DHRS4 Antibody - BSA Free

This product is for research use only and is not approved for use in humans or in clinical diagnosis. Primary Antibodies are guaranteed for 1 year from date of receipt.

Loading...
Loading...
Loading...
Loading...