DGCR8 Antibody
Novus Biologicals, part of Bio-Techne | Catalog # NBP1-30115
Key Product Details
Validated by
Independent Antibodies, Biological Validation
Species Reactivity
Human
Applications
Immunohistochemistry, Immunohistochemistry-Paraffin, Western Blot, Immunoprecipitation
Label
Unconjugated
Antibody Source
Polyclonal Rabbit IgG
Concentration
0.2 mg/ml
Product Specifications
Immunogen
Synthetic peptide, which maps to a region between residue 1 and 50 of human DiGeorge syndrome critical region gene 8 using the numbering given in entry NP_073557.3
Clonality
Polyclonal
Host
Rabbit
Isotype
IgG
Theoretical MW
86 kDa.
Disclaimer note: The observed molecular weight of the protein may vary from the listed predicted molecular weight due to post translational modifications, post translation cleavages, relative charges, and other experimental factors.
Disclaimer note: The observed molecular weight of the protein may vary from the listed predicted molecular weight due to post translational modifications, post translation cleavages, relative charges, and other experimental factors.
Scientific Data Images for DGCR8 Antibody
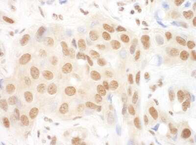
Immunohistochemistry-Paraffin: DGCR8 Antibody [NBP1-30115]
Immunohistochemistry-Paraffin: DGCR8 Antibody [NBP1-30115] - Sample: FFPE section of human breast carcinoma. Antibody: Affinity purified rabbit anti-DGCR8 used at a dilution of 1:200 ( 1ug/ml). Detection: DABApplications for DGCR8 Antibody
Application
Recommended Usage
Immunohistochemistry
1:100-1:500
Immunohistochemistry-Paraffin
1:100-1:500
Immunoprecipitation
2-5 ug/mg lysate
Western Blot
1:2000-1:10000
Application Notes
Epitope retrieval with citrate buffer pH6.0 is recommended for FFPE tissue sections.
Formulation, Preparation, and Storage
Purification
Immunogen affinity purified
Formulation
TBS and 0.1% BSA
Preservative
0.09% Sodium Azide
Concentration
0.2 mg/ml
Shipping
The product is shipped with polar packs. Upon receipt, store it immediately at the temperature recommended below.
Stability & Storage
Store at 4C. Do not freeze.
Background: DGCR8
Alternate Names
C22orf12, DGCRK6chromosome 22 open reading frame 12, DiGeorge syndrome critical region 8, DiGeorge syndrome critical region gene 8, Gy1, microprocessor complex subunit DGCR8, pasha
Gene Symbol
DGCR8
Additional DGCR8 Products
Product Documents for DGCR8 Antibody
Product Specific Notices for DGCR8 Antibody
This product is for research use only and is not approved for use in humans or in clinical diagnosis. Primary Antibodies are guaranteed for 1 year from date of receipt.
Loading...
Loading...
Loading...
Loading...