Skip to main content

Deoxycytidylate deaminase Antibody - BSA Free

Novus Biologicals, part of Bio-Techne | Catalog # NBP3-38207

Novus Biologicals, part of Bio-Techne
Catalog #
Availability
Size / Price
Qty
Loading...
NBP3-38207-20ul
NBP3-38207-100ul

Key Product Details

Species Reactivity

Human, Mouse, Rat

Applications

Immunohistochemistry, Immunohistochemistry-Paraffin, Western Blot, ELISA

Label

Unconjugated

Antibody Source

Polyclonal Rabbit IgG

Format

BSA Free

Concentration

Please see the vial label for concentration. If unlisted please contact technical services.

Product Specifications

Immunogen

Recombinant fusion protein containing a sequence corresponding to amino acids 1-178 of human Deoxycytidylate deaminase (NP_001912.2).

Sequence:
MSEVSCKKRDDYLEWPEYFMAVAFLSAQRSKDPNSQVGACIVNSENKIVGIGYNGMPNGCSDDVLPWRRTAENKLDTKYPYVCHAELNAIMNKNSTDVKGCSMYVALFPCNECAKLIIQAGIKEVIFMSDKYHDSDEATAARLLFNMAGVTFRKFIPKCSKIVIDFDSINSRPSQKLQ

Clonality

Polyclonal

Host

Rabbit

Isotype

IgG

Theoretical MW

20 kDa.
Disclaimer note: The observed molecular weight of the protein may vary from the listed predicted molecular weight due to post translational modifications, post translation cleavages, relative charges, and other experimental factors.

Description

Novus Biologicals Rabbit Deoxycytidylate deaminase Antibody - BSA Free (NBP3-38207) is a polyclonal antibody validated for use in IHC, WB and ELISA. All Novus Biologicals antibodies are covered by our 100% guarantee.

Scientific Data Images for Deoxycytidylate deaminase Antibody - BSA Free

Deoxycytidylate deaminase Antibody

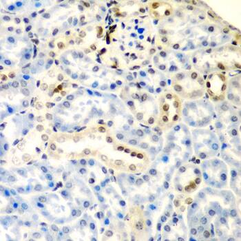
Immunohistochemistry: Deoxycytidylate deaminase Antibody [NBP3-38207] -

Immunohistochemistry: Deoxycytidylate deaminase Antibody [NBP3-38207] - Immunohistochemistry analysis of paraffin-embedded Rat kidney using Deoxycytidylate deaminase Rabbit pAb at dilution of 1:200 (40x lens). Microwave antigen retrieval performed with 0.01M PBS Buffer (pH 7.2) prior to IHC staining.
Deoxycytidylate deaminase Antibody

Western Blot: Deoxycytidylate deaminase Antibody [NBP3-38207] -

Western Blot: Deoxycytidylate deaminase Antibody [NBP3-38207] - Western blot analysis of various lysates using Deoxycytidylate deaminase Rabbit pAb at 1:1000 dilution.
Secondary antibody: HRP-conjugated Goat anti-Rabbit IgG (H+L) at 1:10000 dilution.
Lysates/proteins: 25ug per lane.
Blocking buffer: 3% nonfat dry milk in TBST.
Detection: ECL Basic Kit.
Exposure time: 30s.
Deoxycytidylate deaminase Antibody

Immunohistochemistry: Deoxycytidylate deaminase Antibody [NBP3-38207] -

Immunohistochemistry: Deoxycytidylate deaminase Antibody [NBP3-38207] - Immunohistochemistry analysis of paraffin-embedded Mouse kidney using Deoxycytidylate deaminase Rabbit pAb at dilution of 1:200 (40x lens). Microwave antigen retrieval performed with 0.01M PBS Buffer (pH 7.2) prior to IHC staining.

Applications for Deoxycytidylate deaminase Antibody - BSA Free

Application
Recommended Usage

Immunohistochemistry-Paraffin

1:50 - 1:200

Western Blot

1:500 - 1:2000

Formulation, Preparation, and Storage

Purification

Affinity purified

Formulation

PBS (pH 7.3), 50% glycerol

Format

BSA Free

Preservative

0.02% Sodium Azide

Concentration

Please see the vial label for concentration. If unlisted please contact technical services.

Shipping

The product is shipped with polar packs. Upon receipt, store it immediately at the temperature recommended below.

Stability & Storage

Store at -20C. Avoid freeze-thaw cycles.

Background: Deoxycytidylate deaminase

Deoxycytidylate deaminase is encoded by this gene catalyzes the deamination of dCMP to dUMP, the nucleotide substrate for thymidylate synthase. The encoded protein is allosterically activated by dCTP and inhibited by dTTP, and is found as a homohexamer. This protein uses zinc as a cofactor for its activity. Two transcript variants encoding different isoforms have been found for this gene.

Alternate Names

dCMP deaminaseEC 3.5.4.12, deoxycytidylate deaminase, MGC111062

Gene Symbol

DCTD

Additional Deoxycytidylate deaminase Products

Product Documents for Deoxycytidylate deaminase Antibody - BSA Free

Certificate of Analysis

To download a Certificate of Analysis, please enter a lot number in the search box below.

Product Specific Notices for Deoxycytidylate deaminase Antibody - BSA Free

This product is for research use only and is not approved for use in humans or in clinical diagnosis. Primary Antibodies are guaranteed for 1 year from date of receipt.

Loading...
Loading...
Loading...
Loading...