Skip to main content

DENR Antibody - BSA Free

Novus Biologicals, part of Bio-Techne | Catalog # NBP2-97745

Novus Biologicals, part of Bio-Techne

Key Product Details

Species Reactivity

Human

Applications

Immunohistochemistry, Immunohistochemistry-Paraffin, Western Blot, Immunocytochemistry/ Immunofluorescence, Immunoprecipitation

Label

Unconjugated

Antibody Source

Polyclonal Rabbit IgG

Format

BSA Free

Concentration

Please see the vial label for concentration. If unlisted please contact technical services.

Product Specifications

Immunogen

Produced in rabbits immunized with E. coli-derived Human DENR fragment.

Clonality

Polyclonal

Host

Rabbit

Isotype

IgG

Description

This antibody can be stored at 2C to 8C for one month without detectable loss of activity. Antibody products are stable for twelve months from date of receipt when stored at -20C to -80C. Avoid repeated freeze-thaw cycles.

Scientific Data Images for DENR Antibody - BSA Free

Western Blot: DENR Antibody [NBP2-97745]

Western Blot: DENR Antibody [NBP2-97745]

Western Blot: DENR Antibody [NBP2-97745] - Anti-DENR rabbit polyclonal antibody at 1:500 dilution. Lane A: K562 Whole Cell Lysate Lane B: Hela Whole Cell Lysate Lane C: 293T Whole Cell Lysate Lane D: Jurkat Whole Cell Lysate Lysates/proteins at 30 ug per lane. Secondary Goat Anti-Rabbit IgG (H+L)/HRP at 1/10000 dilution. Developed using the ECL technique. Performed under reducing conditions. Predicted band size: 22 kDa. Observed band size: 28 kDa.
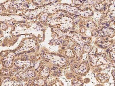
Immunohistochemistry-Paraffin: DENR Antibody [NBP2-97745]

Immunohistochemistry-Paraffin: DENR Antibody [NBP2-97745]

Immunohistochemistry-Paraffin: DENR Antibody [NBP2-97745] - Immunochemical staining of human DENR in human placenta with rabbit polyclonal antibody at 1:100 dilution, formalin-fixed paraffin embedded sections.
Immunoprecipitation: DENR Antibody [NBP2-97745]

Immunoprecipitation: DENR Antibody [NBP2-97745]

Immunoprecipitation: DENR Antibody [NBP2-97745] - DENR was immunoprecipitated using: Lane A: 0.5 mg K562 Whole Cell Lysate 4 ul anti-DENR rabbit polyclonal antibody and 60 ug of Immunomagnetic beads Protein A/G. Primary antibody: Anti-DENR rabbit polyclonal antibody, at 1:100 dilution. Secondary antibody: Goat Anti-Rabbit IgG (H+L)/HRP at 1/10000 dilution. Developed using the ECL technique. Performed under reducing conditions. Predicted band size: 22 kDa. Observed band size: 26 kDa

Applications for DENR Antibody - BSA Free

Application
Recommended Usage

Immunocytochemistry/ Immunofluorescence

1:100-1:500

Immunohistochemistry-Paraffin

1:50-1:200

Immunoprecipitation

0.5-2uL/mg of lysate

Western Blot

1:500-1:2000

Formulation, Preparation, and Storage

Purification

Antigen and protein A Affinity-purified

Formulation

PBS

Format

BSA Free

Preservative

0.03% Proclin 300

Concentration

Please see the vial label for concentration. If unlisted please contact technical services.

Shipping

The product is shipped with polar packs. Upon receipt, store it immediately at the temperature recommended below.

Stability & Storage

Store at 4C short term. Aliquot and store at -20C long term. Avoid freeze-thaw cycles.

Background: DENR

DENR encodes a protein whose expression was found to increase in cultured cells at high density but not during growth arrest. This gene was also shown to have increased expression in cells overexpressing HER-2/neu proto-oncogene. The protein contains an SUI1 domain. In budding yeast, SUI1 is a translation initiation factor that along with eIF-2 and the initiator tRNA-Met, directs the ribosome to the proper translation start site. Proteins similar to SUI have been found in mammals, insects, and plants.

Alternate Names

density-regulated protein, DRP1Protein DRP1, DRPsmooth muscle cell associated protein-3, SMAP-3, Smooth muscle cell-associated protein 3

Gene Symbol

DENR

Additional DENR Products

Product Documents for DENR Antibody - BSA Free

Certificate of Analysis

To download a Certificate of Analysis, please enter a lot number in the search box below.

Product Specific Notices for DENR Antibody - BSA Free

This product is for research use only and is not approved for use in humans or in clinical diagnosis. Primary Antibodies are guaranteed for 1 year from date of receipt.

Loading...
Loading...
Loading...
Loading...