DENND1C Antibody - BSA Free
Novus Biologicals, part of Bio-Techne | Catalog # NBP1-94052
Key Product Details
Validated by
Orthogonal Validation, Independent Antibodies
Species Reactivity
Human
Applications
Immunohistochemistry, Immunohistochemistry-Paraffin, Western Blot
Label
Unconjugated
Antibody Source
Polyclonal Rabbit IgG
Format
BSA Free
Concentration
Concentrations vary lot to lot. See vial label for concentration. If unlisted please contact technical services.
Product Specifications
Immunogen
This antibody was developed against Recombinant Protein corresponding to amino acids: PLSPEDEGCPWAEEALDSSFLGSGEELDLLSEILDSLSMGAKSAGSLRPSQSLDCCHRGDLDSCFSLPNIPRWQPDDKKL
Clonality
Polyclonal
Host
Rabbit
Isotype
IgG
Description
Novus Biologicals Rabbit DENND1C Antibody - BSA Free (NBP1-94052) is a polyclonal antibody validated for use in IHC and WB. All Novus Biologicals antibodies are covered by our 100% guarantee.
Scientific Data Images for DENND1C Antibody - BSA Free
Western Blot: DENND1C Antibody [NBP1-94052]
Western Blot: DENND1C Antibody [NBP1-94052] - Lane 1: Marker [kDa] 250, 130, 95, 72, 55, 36, 28, 17, 10. Lane 2: Human cell line RT-4Immunohistochemistry-Paraffin: DENND1C Antibody [NBP1-94052]
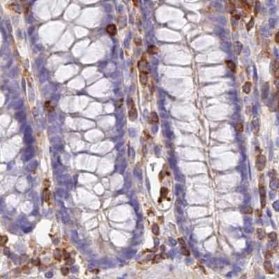
Immunohistochemistry-Paraffin: DENND1C Antibody [NBP1-94052] - Staining of human colon.Immunohistochemistry-Paraffin: DENND1C Antibody [NBP1-94052]
Immunohistochemistry-Paraffin: DENND1C Antibody [NBP1-94052] - Staining of human lymph node shows strong cytoplasmic positivity in germinal center cells and non-germinal center cells.Applications for DENND1C Antibody - BSA Free
Application
Recommended Usage
Immunohistochemistry
1:2500 - 1:5000
Immunohistochemistry-Paraffin
1:2500 - 1:5000
Western Blot
0.04-0.4 ug/ml
Application Notes
For IHC-Paraffin, HIER pH 6 retrieval is recommended.
Formulation, Preparation, and Storage
Purification
Affinity purified
Formulation
PBS (pH 7.2) and 40% Glycerol
Format
BSA Free
Preservative
0.02% Sodium Azide
Concentration
Concentrations vary lot to lot. See vial label for concentration. If unlisted please contact technical services.
Shipping
The product is shipped with polar packs. Upon receipt, store it immediately at the temperature recommended below.
Stability & Storage
Store at 4C short term. Aliquot and store at -20C long term. Avoid freeze-thaw cycles.
Background: DENND1C
Alternate Names
connecdenn 3, DENN domain-containing protein 1C, DENN/MADD domain containing 1C, FAM31C, family with sequence similarity 31, member C, FLJ22757
Gene Symbol
DENND1C
Additional DENND1C Products
Product Documents for DENND1C Antibody - BSA Free
Product Specific Notices for DENND1C Antibody - BSA Free
This product is for research use only and is not approved for use in humans or in clinical diagnosis. Primary Antibodies are guaranteed for 1 year from date of receipt.
Loading...
Loading...
Loading...
Loading...